
Đảm bảo nguồn lực bền vững cho y tế, giảm gánh nặng tài chính cho người dân
Y tế - 10/10/2025 18:08Ủy viên Bộ Chính trị, Thường trực Ban Bí thư Trần Cẩm Tú chủ trì cuộc làm việc với Đảng ủy Bộ Y tế và đại diện các cơ quan liên quan về triển khai Nghị quyết số 72-NQ/TW ngày 9/9/2025 của Bộ Chính trị.

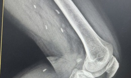
Cứu sống ngoạn mục cô gái 18 tuổi bị đa chấn thương do tai nạn giao thông
Y tế - 10/10/2025 16:23SKĐS - Sau tai nạn giao thông kinh hoàng, nữ sinh 18 tuổi được đưa vào Bệnh viện Đà Nẵng trong tình trạng nguy kịch, đa chấn thương, mất máu nhiều. Cuộc “chạy đua với tử thần” bắt đầu, các bác sĩ kích hoạt báo động đỏ, giành giật từng phút để giữ lại sự sống mong manh cho em.

Hướng tới Đại hội đại biểu Đảng bộ TPHCM lần thứ I: Niềm tin và kỳ vọng từ Bệnh viện Lê Văn Thịnh
Y tế - 10/10/2025 15:42
Việt kiều Mỹ 73 tuổi lựa chọn về Việt Nam phẫu thuật khối u đại tràng ác tính
Camera bệnh viện - 10/10/2025 14:55SKĐS - Việt kiều Mỹ 73 tuổi quyết định đến Bệnh viện Đa khoa Thủ Đức để thăm khám sau khi xuất hiện các dấu hiệu bất thường về đường tiêu hóa. Kết quả phát hiện khối u đại tràng ác nên nhanh chóng được phẫu thuật cắt bỏ.

Cứu sống bệnh nhân vỡ động mạch chủ bụng bằng Stent graft
Y tế - 10/10/2025 14:54SKĐS - Vừa qua, các bác sĩ Bệnh viện Hữu Nghị đã cứu sống một bệnh nhân 76 tuổi bị vỡ túi phình kích thước gần 8cm (động mạch chủ) bằng kỹ thuật can thiệp nội mạch hiện đại, đây là một tình trạng cấp cứu y khoa có tỷ lệ tử vong cao.

35 năm phòng chống HIV/AIDS ở Việt Nam: Hành trình để HIV không còn là bản án tử
Y tế - 10/10/2025 14:04SKĐS - Kể từ ca nhiễm HIV đầu tiên được phát hiện vào năm 1990, chương trình phòng chống HIV/AIDS của Việt Nam đã trải qua nhiều bước phát triển, đưa ra hàng loạt chính sách và chiến dịch mạnh mẽ.

Thông tin vụ nghi ngộ độc thực phẩm sau khi ăn cỗ cưới ở Quảng Ninh
Y tế - 10/10/2025 14:02SKĐS - Sau khi ăn cỗ cưới tại một gia đình ở phường Yên Tử (Quảng Ninh), nhiều người có hiện tượng nôn, đau bụng, đi đại tiện phân lỏng phải nhập viện, nghi ngộ độc thực phẩm. Đến thời điểm hiện tại, sức khỏe người bệnh cơ bản ổn định.

Nhiều người mắc sốt xuất huyết nguy kịch trong mùa mưa bão
Camera bệnh viện - 10/10/2025 13:33SKĐS - Bệnh viện Bệnh Nhiệt đới Trung ương đã tiếp nhận nhiều bệnh nhân sốt xuất huyết Dengue nặng, có trường hợp nhập viện trong tình trạng sốc và xuất huyết nghiêm trọng.

Bé gái chào đời không hậu môn
Camera bệnh viện - 10/10/2025 11:15SKĐS - Trẻ mắc dị tật bẩm sinh không hậu môn kèm rò trực tràng âm hộ, phân của bé đi qua một lỗ dò nhỏ ở chân hai môi lớn. Nếu không được can thiệp kịp thời, trẻ dễ bị tắc ruột, nhiễm trùng nặng, suy kiệt và có thể tử vong.

Hệ thống nhà thuốc & tiêm chủng Long Châu chia sẻ chiến lược cá nhân hóa hành trình chăm sóc sức khỏe người Việt bằng AI tại AI360
Y tế - 10/10/2025 10:09Sáng 9/10/2025, tại Diễn đàn Trí tuệ nhân tạo Việt Nam 2025 – AI360 do VINASA tổ chức dưới sự bảo trợ của Bộ Khoa học và Công nghệ, các đại diện FPT đã chia sẻ tầm nhìn và hành động cụ thể trong sứ mệnh "Công tư đồng kiến quốc" – chung tay xây dựng Việt Nam số hùng cường bằng trí tuệ nhân tạo.

Sở Y tế Thanh Hóa ‘mạnh tay’ xử phạt nặng cơ sở hành nghề y, dược tư nhân quảng cáo trái phép
Y tế - 10/10/2025 10:03SKĐS - Thời gian qua, công tác quản lý hành nghề y, dược tư nhân tại Thanh Hóa có nhiều chuyển biến tích cực, góp phần nâng cao chất lượng dịch vụ chăm sóc sức khỏe. Tuy nhiên, Sở Y tế tỉnh đang tiếp tục tăng cường kiểm tra, xử lý nghiêm các cơ sở vi phạm.

Hàng trăm nhà khoa học quốc tế và Việt Nam 'hội tụ' bàn giải pháp nâng chất lượng chẩn đoán, điều trị ung thư phổi
Y tế - 10/10/2025 08:50SKĐS - Thứ trưởng Trần Văn Thuấn cho rằng, hội nghị Ung thư phổi Châu Á 2025 được tổ chức tại Việt Nam không chỉ là một sự kiện khoa học, mà còn là minh chứng cho niềm tin và sự công nhận của cộng đồng quốc tế đối với năng lực và cam kết của Việt Nam trong lĩnh vực y học và chăm sóc sức khỏe toàn dân.

Con trai 28 tuổi được mẹ đẻ tự nguyện hiến thận cứu đã xuất viện
Y tế - 10/10/2025 05:51SKĐS - Đại diện Bệnh viện Việt Nam – Thụy Điển Uông Bí (Quảng Ninh), sau hơn 2 tuần được ghép thận thành công, người bệnh trong ca ghép thận thứ tư tại đơn vị đã hồi phục tốt và được xuất viện trong niềm vui, xúc động của gia đình cùng các y bác sĩ.

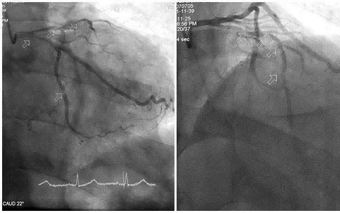
Lão nông ngã giữa đồng, suýt chết vì nhồi máu cơ tim
Y tế - 09/10/2025 22:18SKĐS - Từ ruộng về nhà chỉ chừng 400 mét, nhưng ông H. đi chưa được trăm mét thì choáng váng, ngã quỵ giữa ruộng. Nghỉ một lúc, ông cố gượng dậy đi tiếp rồi té thêm lần nữa. Theo bác sĩ, ông H. suýt chết vì 2 cú ngã ấy đều do nhồi máu cơ tim.

Cứu người bị áp xe ổ bụng hiếm gặp do mắc xương cá
Tin nóng y tế - 09/10/2025 20:05SKĐS - Chiều 9/10, Bệnh viện Lê Văn Việt (TPHCM) cho hay, các bác sĩ khoa Ngoại Tổng hợp vừa phẫu thuật thành công một ca áp xe ổ bụng do dị vật xương cá có thể nguy hiểm đến tính mạng nếu chậm trễ xử trí.

Cứu người bị áp xe ổ bụng hiếm gặp do mắc xương cá
Tin nóng y tế - 09/10/2025 20:05SKĐS - Chiều 9/10, Bệnh viện Lê Văn Việt (TPHCM) cho hay, các bác sĩ khoa Ngoại Tổng hợp vừa phẫu thuật thành công một ca áp xe ổ bụng do dị vật xương cá có thể nguy hiểm đến tính mạng nếu chậm trễ xử trí.

Lần đầu tiên Việt Nam xác lập kỷ lục châu Á trong thụ tinh ống nghiệm
Thành tựu y khoa - 23/09/2025 08:00Bệnh viện Đa khoa Tâm Anh TPHCM vừa xác lập kỷ lục "Bệnh viện đầu tiên tại châu Á có Hệ thống Lab phôi học đạt chuẩn ISO 5 theo mô hình "lab trong lab", ứng dụng trong thao tác trên giao tử và nuôi cấy phôi", đánh dấu bước tiến vượt trội ở tầm quốc tế trong lĩnh vực Hỗ trợ sinh sản của Việt Nam.

Yêu cầu cấp bách trang bị kỹ năng ứng phó cho trẻ sau sự cố xe công nghệ giả danh
Thời sự - 03/10/2025 14:18SKĐS - Vụ việc học sinh Hà Nội bị thương vì nhảy khỏi xe công nghệ giả danh đã gióng lên hồi chuông cảnh báo khẩn cấp. Chuyên gia cho rằng, sự cố này phơi bày lỗ hổng trong việc trang bị kỹ năng an toàn và ứng phó tình huống khẩn cấp cho trẻ em.

Lũ cuốn nhà đi, không cuốn được trái tim người thầy thuốc
Sự hi sinh thầm lặng - 29/07/2025 19:20SKĐS - Lũ cuốn trôi nhà, phá tan cơ sở y tế, đẩy bao gia đình vào cảnh trắng tay. Nhưng giữa tâm lũ Mỹ Lý, những y bác sĩ dù bản thân mất mát vẫn lựa chọn ở lại, gắng gượng từng bước để lo cho dân.

BV Phạm Ngọc Thạch và BV Tâm thần TPHCM sắp có cơ sở tại Bình Dương
Tin nóng y tế - 09/10/2025 18:42SKĐS - Sở Y tế TPHCM đề nghị giao Bệnh viện chuyên khoa Lao và Bệnh phổi Bình Dương làm cơ sở 2 của Bệnh viện Phạm Ngọc Thạch, giao Bệnh viện chuyên khoa Tâm thần Bình Dương làm cơ sở 4 của Bệnh viện Tâm thần TPHCM để đáp ứng nhu cầu chăm sóc sức khỏe của người dân sau hợp nhất.

Việt Nam có khoảng 2 triệu người mù, thị lực kém, 1/3 số này không có khả năng điều trị
Y tế - 09/10/2025 18:38SKĐS - Việt Nam hiện có khoảng 2 triệu người mù và thị lực kém. 1/3 trong số đó là những người nghèo không có tiền điều trị mang lại ánh sáng. Trên 80% tỷ lệ người mù ở Việt Nam có thể phòng, chữa được. Riêng trẻ em ước tính 3 triệu em mắc tật khúc xạ cần chỉnh kính...

Chủ tịch Hội Thầy thuốc trẻ TPHCM: Góp sức xây dựng nền Y tế thành phố vươn tầm quốc tế
Y tế - 09/10/2025 18:34SKĐS - Trước thềm Đại hội Đảng bộ TPHCM lần thứ I, PV Báo Sức khỏe & Đời sống có cuộc trò chuyện với TS.BS.CKII Phan Minh Hoàng - Chủ tịch Hội Thầy thuốc trẻ TPHCM, Giám đốc Bệnh viện Phục hồi chức năng và Điều trị bệnh nghề nghiệp về những kỳ vọng của đội ngũ bác sĩ trẻ thành phố đối với giai đoạn phát triển mới.

Nội soi gắp dị vật là vòng bạc trong dạ dày bé gái 5 tuổi
Y tế - 09/10/2025 18:30SKĐS - Mới đây, Bệnh viện Việt Nam – Thụy Điển Uông Bí tiếp nhận và xử trí thành công trường hợp trẻ 5 tuổi nuốt phải dị vật là chiếc vòng tay bằng bạc, dài khoảng 7 cm.

Kiến ba khoang 'tấn công' khiến người đàn ông bị sốc phản vệ
Y tế - 09/10/2025 18:28SKĐS - Ông Phạm Lực, 58 tuổi, (trú xã Tam Anh, TP. Đà Nẵng) nhập Khoa Cấp cứu, Bệnh viện Đa khoa Trung ương Quảng Nam trong tình trạng tụt huyết áp, khó thở sau khi bị kiến ba khoang cắn khắp người.

Y tế Thái Nguyên thiệt hại nặng sau bão, nhân viên y tế ‘xắn tay’ dọn dẹp
Y tế - 09/10/2025 18:02SKĐS - Những ngày đầu tháng 10, Thái Nguyên chìm trong biển nước. Dòng lũ đỏ ngầu cuồn cuộn tràn qua làng xóm, nhấn chìm nhiều cơ sở y tế.

Việt kiều Mỹ 73 tuổi lựa chọn về Việt Nam phẫu thuật khối u đại tràng ác tính
Camera bệnh viện - 10/10/2025 14:55SKĐS - Việt kiều Mỹ 73 tuổi quyết định đến Bệnh viện Đa khoa Thủ Đức để thăm khám sau khi xuất hiện các dấu hiệu bất thường về đường tiêu hóa. Kết quả phát hiện khối u đại tràng ác nên nhanh chóng được phẫu thuật cắt bỏ.
Phòng mạch online
Bị viêm khớp nên ăn gì, kiêng gì?
SKĐS - Viêm khớp là một bệnh lý thường gặp, có thể xuất hiện ở mọi lứa tuổi nhưng phổ biến hơn ở người lớn tuổi. Căn bệnh này có thể làm cho sụn bị tổn thương hoặc vỡ gây đau, sưng, khiến người bệnh gặp khó khăn trong việc di chuyển và cử động khớp.