
Phát hiện sớm ung thư vú nhờ công nghệ AI
Ung thư - 08/10/2025 12:02SKĐS - Ung thư vú đang ngày càng trẻ hóa. Nếu trước đây bệnh chủ yếu gặp ở phụ nữ trên 45 tuổi, thì nay nhiều ca được phát hiện ở độ tuổi 30–40, thậm chí dưới 30 tuổi. Tuy nhiên, ung thư vú có thể phát hiện sớm và điều trị hiệu quả.

Cứu bệnh nhân ung thư thực quản bị xuất huyết dạ dày ồ ạt
Ung thư - 21/09/2025 17:19SKĐS - Các bác sĩ Bệnh viện Đa khoa tỉnh Lạng Sơn vừa cứu sống bệnh nhân 66 tuổi, bị chảy máu dạ dày nguy kịch do ung thư thực quản. Làm sao để phát hiện sớm ung thư thực quản?

Giảm cân không rõ nguyên nhân: Cảnh giác với bệnh ung thư
Ung thư - 20/09/2025 17:20SKĐS - Nguyên nhân giảm cân do sự thay đổi môi trường sống hoặc căng thẳng quá mức thường không nghiêm trọng và có thể cải thiện trong thời gian ngắn. Tuy nhiên, giảm cân đột ngột không rõ nguyên nhân có thể là dấu hiệu của một số bệnh lý, trong đó có ung thư, và cần được thăm khám sớm.

Phát hiện sớm ung thư nguyên bào võng mạc cứu thị lực cho trẻ
Ung thư - 14/09/2025 06:00SKĐS - Ung thư nguyên bào võng mạc là khối u ác tính hiếm gặp ở trẻ nhỏ. Nhận biết sớm dấu hiệu như đốm trắng trong mắt giúp tăng cơ hội giữ lại thị lực và tính mạng cho trẻ.

Triệu chứng cảnh báo ung thư tụy
Ung thư - 13/09/2025 08:23SKĐS - Ung thư tụy là một loại ung thư hình thành từ một số tế bào của tuyến tụy. Hầu hết bệnh nhân bị ung thư tuyến tụy (khoảng 95%) bắt đầu từ tuyến tụy ngoại tiết.

Ung thư tuyến ức hiếm gặp nhưng nguy hiểm
Ung thư - 09/09/2025 05:00SKĐS - Ung thư tuyến ức là bệnh hiếm, triệu chứng thường âm thầm, dễ bị bỏ sót. Phát hiện sớm và điều trị đa mô thức giúp cải thiện đáng kể tiên lượng sống.

Khàn tiếng do u xơ dây thanh quản
Ung thư - 05/09/2025 08:34SKĐS - Bệnh nhân nữ, 43 tuổi, thường xuyên khàn tiếng, đau họng. Kết quả nội soi tai mũi họng cho thấy mũi khe giữa xuất tiết dịch, vòm đọng dịch, họng sung huyết, hai dây thanh phù nề, sụn phễu sung huyết; theo dõi hạt dây thanh hai bên.

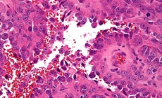
Ung thư biểu mô tuyến vú dạng nhầy hiếm gặp nhưng nguy hiểm, cần phát hiện sớm
Ung thư - 27/08/2025 18:00SKĐS - Ung thư biểu mô tuyến vú dạng nhầy là thể hiếm gặp nhưng tiên lượng khả quan, phát hiện sớm và điều trị đúng giúp người bệnh duy trì chất lượng sống.

Polyp tử cung có ảnh hưởng gì, nguy hiểm như thế nào?
Ung thư - 20/08/2025 19:18SKĐS - Polyp tử cung hay còn gọi là polyp nội mạc tử cung, là một bệnh lý khá phổ biến. Đa số polyp tử cung lành tính, gây xuất huyết tử cung bất thường ở phụ nữ, có thể ảnh hưởng đến khả năng mang thai, sinh hoạt hàng ngày và gián tiếp làm giảm chất lượng cuộc sống.

Phòng ngừa ung thư đại trực tràng
Ung thư - 19/08/2025 09:26SKĐS - Vi khuẩn đường ruột ảnh hưởng trực tiếp đến nguy cơ ung thư đại trực tràng. Duy trì cân bằng microbiota qua chế độ ăn và lối sống là chìa khóa phòng ngừa ung thư đại trực tràng.

Ung thư phổi đau ở đâu, dấu hiệu cảnh báo căn bệnh này
Ung thư - 18/08/2025 05:30SKĐS - Ung thư phổi là một trong những bệnh lý ác tính có số ca mắc và tỷ lệ tử vong hàng đầu. Tại Việt Nam, tỷ lệ mắc ung thư phổi và ung thư gan chiếm gần 15%. Nhiều người băn khoăn: Ung thư phổi gây đau ở đâu? Dấu hiệu nào cảnh báo căn bệnh này?

Polyp đại tràng có nguy hiểm không?
Ung thư - 16/08/2025 08:37SKĐS - Polyp đại tràng là bệnh lý đường tiêu hóa mà không ít người gặp phải. Đây là những khối tế bào nhỏ hình thành trên niêm mạc đại – trực tràng, đa phần lành tính và hầu hết vô hại.

Các loại u vú thường gặp, cách nhận biết sớm nhất
Ung thư - 31/07/2025 13:38SKĐS - U vú là hiện tượng xuất hiện một hoặc nhiều khối bất thường ở tuyến vú. Khối u vú có thể xuất hiện do nhiều nguyên nhân nếu không được điều trị kịp thời, khối u vú ác tính có thể lan sang các bộ phận khác của cơ thể.

Vì sao người cao tuổi dễ mắc bệnh phổi kẽ tiến triển?
Bệnh người cao tuổi - 07/10/2025 06:46SKĐS - Xơ hóa phổi không rõ nguyên nhân (IPF) là bệnh phổi kẽ tiến triển, âm thầm hủy hoại mô phổi, khó chẩn đoán và có thể gây tử vong nếu phát hiện muộn.

Thoát vị bẹn cần phát hiện sớm để tránh biến chứng nguy hiểm
Bệnh thường gặp - 10/10/2025 11:34SKĐS - Thoát vị bẹn là căn bệnh phổ biến, đặc biệt ở trẻ nhỏ và người cao tuổi. Tuy không phải lúc nào cũng gây nguy hiểm ngay lập tức, nhưng nếu không được phát hiện và điều trị kịp thời, thoát vị bẹn có thể dẫn đến biến chứng nặng nề như nghẹt ruột, hoại tử, thậm chí đe dọa tính mạng.

U xơ vú ở phụ nữ trẻ: Khi nào cần mổ, khi nào chỉ theo dõi?
Bệnh phụ nữ - 08/10/2025 05:51SKĐS - U xơ vú lành tính thường gặp ở phụ nữ trẻ, đa phần không nguy hiểm. Tuy nhiên, khi khối u lớn nhanh hoặc gây biến dạng, cần cân nhắc can thiệp sớm.

Nguyên nhân di truyền thầm lặng gây vô tinh nam
Bệnh nam giới - 06/10/2025 13:41SKĐS - Mất đoạn AZF trên nhiễm sắc thể Y là một trong những nguyên nhân di truyền phổ biến gây vô tinh. Việc phát hiện sớm giúp định hướng điều trị và tư vấn sinh sản chính xác.

Hội chứng Rett: Rối loạn thần kinh hiếm gặp ở trẻ em gái
Bệnh trẻ em - 02/10/2025 15:59SKĐS - Hội chứng Rett là bệnh thần kinh hiếm gặp, chủ yếu ở bé gái, gây thoái lui khả năng ngôn ngữ và vận động, đòi hỏi can thiệp y tế và hỗ trợ lâu dài.

Sống vui, khoẻ nhờ detox cảm xúc
Sức khỏe tâm hồn - 06/10/2025 08:30SKĐS - Những cảm xúc tiêu cực như buồn bã, ganh tị, oán trách nếu tích tụ sẽ làm nặng tâm hồn. Detox cảm xúc giúp ta giải tỏa, tìm lại sự cân bằng và niềm vui sống.

Phát hiện sớm ung thư vú nhờ công nghệ AI
Ung thư - 08/10/2025 12:02SKĐS - Ung thư vú đang ngày càng trẻ hóa. Nếu trước đây bệnh chủ yếu gặp ở phụ nữ trên 45 tuổi, thì nay nhiều ca được phát hiện ở độ tuổi 30–40, thậm chí dưới 30 tuổi. Tuy nhiên, ung thư vú có thể phát hiện sớm và điều trị hiệu quả.

Mỗi năm có khoảng 2.000 người mắc ung thư thận, dấu hiệu sớm của căn bệnh này
Ung thư - 31/07/2025 10:34SKĐS - Ung thư thận thường diễn biến thầm lặng vì ở giai đoạn đầu, bệnh ít có triệu chứng rõ ràng. Phần lớn các trường hợp được phát hiện tình cờ qua siêu âm hoặc CT scan bụng khi khám vì những lý do khác.

Phát hiện mắc ung thư sau 3 tháng rối loạn tiêu hóa
Ung thư - 28/07/2025 18:50SKĐS - Bệnh nhân nam 66 tuổi mắc cùng lúc hai loại ung thư đại tràng và trực tràng. Đây là một trường hợp ít gặp và phức tạp trong chuyên ngành tiêu hóa. Vậy làm thế nào để phát hiện sớm căn bệnh này?

Những dấu hiệu âm thầm cảnh báo ung thư đầu cổ
Ung thư - 22/07/2025 19:32SKĐS - Ho kéo dài, khàn tiếng, nuốt vướng hay đau tai không rõ nguyên nhân có thể là dấu hiệu sớm của ung thư đầu cổ – một nhóm bệnh đang ngày càng phổ biến nhưng thường bị bỏ qua.

Nguy hại khi tự ý áp dụng thụt tháo thải độc đại tràng
Ung thư - 19/07/2025 21:15SKĐS - Nữ bệnh nhân phải nhập viện cấp cứu do bị hoại tử đại tràng sigma, được nghi ngờ liên quan đến thói quen thụt tháo, "detox" đại tràng bằng chanh muối kéo dài tại nhà. Nguy hại là thói quen này đang được nhiều người áp dụng.

Sarcoma cơ vân ở trẻ em tiến triển nhanh, khó phát hiện sớm
Ung thư - 15/07/2025 11:00SKĐS - Sarcoma cơ vân là ung thư mô mềm hiếm gặp ở trẻ em, tiến triển nhanh và khó phát hiện sớm. Điều trị sớm, đúng phác đồ giúp cải thiện đáng kể tiên lượng sống.

Tiêm vaccine HPV – Lá chắn vàng ngăn ngừa ung thư cổ tử cung
Ung thư - 13/07/2025 09:00SKĐS - Ung thư cổ tử cung là căn bệnh gây tử vong hàng đầu ở nữ giới, nhưng lại có thể phòng ngừa hiệu quả nhờ tiêm vaccine HPV. Đây là bước bảo vệ chủ động, an toàn và cần thiết mà mọi phụ nữ nên thực hiện càng sớm càng tốt.

Ung thư móng dễ bị bỏ qua
Ung thư - 07/07/2025 14:34SKĐS - Một vệt đen dưới móng tay tưởng chừng vô hại có thể là dấu hiệu của ung thư hắc tố nguy hiểm. Phát hiện sớm có thể cứu sống, bỏ qua có thể trả giá bằng cả ngón tay.

Ung thư túi mật có chữa khỏi không?
Ung thư - 05/07/2025 12:24SKĐS - Túi mật nằm dưới gan phải, lưu trữ lượng mật cần thiết để tiêu hóa chất béo. Ung thư túi mật hiếm gặp hơn các loại ung thư khác và thường không có các triệu chứng trong giai đoạn đầu. Vậy, khi mắc bệnh có chữa khỏi không?

Ung thư vòm họng giai đoạn 4: Đừng bỏ cuộc quá sớm
Ung thư - 02/07/2025 11:01SKĐS - Ung thư vòm họng giai đoạn 4 là giai đoạn tiến triển nặng, nhưng nhờ các phương pháp điều trị hiện đại, người bệnh vẫn có cơ hội kéo dài sự sống và cải thiện chất lượng sống.
Phòng mạch online
Bị viêm khớp nên ăn gì, kiêng gì?
SKĐS - Viêm khớp là một bệnh lý thường gặp, có thể xuất hiện ở mọi lứa tuổi nhưng phổ biến hơn ở người lớn tuổi. Căn bệnh này có thể làm cho sụn bị tổn thương hoặc vỡ gây đau, sưng, khiến người bệnh gặp khó khăn trong việc di chuyển và cử động khớp.