
Vì sao người cao tuổi dễ mắc bệnh phổi kẽ tiến triển?
Bệnh người cao tuổi - 07/10/2025 06:46SKĐS - Xơ hóa phổi không rõ nguyên nhân (IPF) là bệnh phổi kẽ tiến triển, âm thầm hủy hoại mô phổi, khó chẩn đoán và có thể gây tử vong nếu phát hiện muộn.

Hạ đường huyết ở người cao tuổi: Hiểm hoạ âm thầm dễ bị bỏ qua
Bệnh người cao tuổi - 27/09/2025 11:00SKĐS - Hạ đường huyết xảy ra khi lượng đường trong máu (glucose) giảm xuống dưới mức 3,9 mmol/L. Ở người cao tuổi, tình trạng này đặc biệt nguy hiểm, thậm chí có thể dẫn đến tử vong - nhất là với những người có tiền sử đái tháo đường.

Nhiễm nấm nội tạng đe dọa sức khỏe người già
Bệnh người cao tuổi - 16/09/2025 18:00SKĐS - Nhiễm nấm nội tạng là bệnh lý nguy hiểm, thường gặp ở người cao tuổi do hệ miễn dịch suy yếu. Phát hiện sớm và phòng ngừa đúng cách giúp giảm biến chứng.

Người cao tuổi cần cảnh giác với bệnh thoái hóa phổi
Bệnh người cao tuổi - 11/09/2025 17:15SKĐS - Thoái hóa phổi không rõ nguyên nhân (Idiopathic Pulmonary Fibrosis – IPF) là căn bệnh hiếm gặp nhưng tiến triển nhanh, dễ gây suy hô hấp và tử vong, đặc biệt nguy hiểm ở người cao tuổi.

4 biểu hiện của phì đại tuyến tiền liệt nam giới cần biết
Bệnh người cao tuổi - 08/09/2025 13:02SKĐS -Theo thống kê có trên 50% nam giới trong độ tuổi từ 60 – 70 bị phì đại tiền liệt tuyến, tỷ lệ này còn lên đến 88% ở những người 80 tuổi. Ghi nhận cho thấy độ tuổi càng cao thì tỷ lệ mắc bệnh phì đại tuyến tiền liệt càng tăng.

Thoái hóa khớp gối ở người cao tuổi: Cách chăm sóc và phòng ngừa hiệu quả
Bệnh người cao tuổi - 07/09/2025 17:14SKĐS - Thoái hóa khớp gối ở người cao tuổi là tình trạng sụn khớp bị bào mòn và hư hỏng do quá trình lão hóa. Bệnh gây ra các triệu chứng như đau, cứng khớp, sưng tấy và hạn chế vận động, có thể tiến triển nặng dần, ảnh hưởng đến sinh hoạt hàng ngày.

Giải pháp sống khỏe cho người cao tuổi mắc bệnh COPD
Bệnh người cao tuổi - 07/09/2025 06:00SKĐS - Bệnh phổi tắc nghẽn mạn tính (COPD) là bệnh hô hấp mạn tính thường gặp ở người cao tuổi, gây khó thở và biến chứng nặng. Phòng ngừa, phát hiện sớm và điều trị đúng giúp cải thiện cuộc sống.

Vì sao thức khuya khiến người già dễ đổ bệnh?
Bệnh người cao tuổi - 06/09/2025 21:23SKĐS - Thức khuya ở người cao tuổi không chỉ làm cơ thể mệt mỏi mà còn tăng nguy cơ mắc bệnh tim mạch, tiểu đường, suy giảm trí nhớ và nhiều biến chứng nguy hiểm.

Người cao tuổi cần tiêm ngay 3 loại vaccine bảo vệ sức khỏe
Bệnh người cao tuổi - 21/08/2025 18:27SKĐS - Người cao tuổi có hệ miễn dịch suy giảm, dễ mắc cúm, viêm phổi hay zona. Tiêm chủng đúng loại vaccine giúp tăng đề kháng và phòng ngừa biến chứng nguy hiểm.

Người cao tuổi và những bệnh da thường gặp
Bệnh người cao tuổi - 15/08/2025 19:51SKĐS - Ở người cao tuổi, làn da mỏng manh và dễ tổn thương hơn, làm tăng nguy cơ mắc các bệnh da liễu. Hiểu rõ nguyên nhân và chăm sóc đúng giúp phòng ngừa hiệu quả.

5 biểu hiện cho thấy bạn bị thoát vị đĩa đệm
Bệnh người cao tuổi - 15/08/2025 19:45SKĐS -Thoát vị đĩa đệm là một trong những bệnh lý cột sống thường gặp. Đáng lo ngại là trước đây, các bệnh về xương khớp như thoát vị đĩa đệm thường chỉ gặp ở người lớn tuổi, nhưng hiện nay bệnh lý này đang có xu hướng phổ biến ở độ tuổi từ 20 – 30 tuổi.

Ngứa da ở người cao tuổi: Nguyên nhân và cách điều trị hiệu quả
Bệnh người cao tuổi - 13/08/2025 15:13SKĐS - Ngứa da ở người cao tuổi là một biểu hiện rất phổ biến và đáng lo ngại vì ảnh hưởng đến sức khỏe cũng như chất lượng cuộc sống của người bệnh.

Xơ vữa động mạch: Bệnh lý nguy hiểm nhưng dễ bị bỏ qua
Bệnh người cao tuổi - 07/08/2025 10:00SKĐS - Xơ vữa động mạch là sự tích tụ chất béo, cholesterol và các chất khác trong và trên thành động mạch. Sự tích tụ này được gọi là mảng bám – tình trạng khiến thành động mạch dày lên, hẹp lại và làm giảm lưu lượng máu đến các cơ quan quan trọng trong cơ thể.

Vì sao người cao tuổi dễ mắc bệnh phổi kẽ tiến triển?
Bệnh người cao tuổi - 07/10/2025 06:46SKĐS - Xơ hóa phổi không rõ nguyên nhân (IPF) là bệnh phổi kẽ tiến triển, âm thầm hủy hoại mô phổi, khó chẩn đoán và có thể gây tử vong nếu phát hiện muộn.

Thoát vị bẹn cần phát hiện sớm để tránh biến chứng nguy hiểm
Bệnh thường gặp - 10/10/2025 11:34SKĐS - Thoát vị bẹn là căn bệnh phổ biến, đặc biệt ở trẻ nhỏ và người cao tuổi. Tuy không phải lúc nào cũng gây nguy hiểm ngay lập tức, nhưng nếu không được phát hiện và điều trị kịp thời, thoát vị bẹn có thể dẫn đến biến chứng nặng nề như nghẹt ruột, hoại tử, thậm chí đe dọa tính mạng.

U xơ vú ở phụ nữ trẻ: Khi nào cần mổ, khi nào chỉ theo dõi?
Bệnh phụ nữ - 08/10/2025 05:51SKĐS - U xơ vú lành tính thường gặp ở phụ nữ trẻ, đa phần không nguy hiểm. Tuy nhiên, khi khối u lớn nhanh hoặc gây biến dạng, cần cân nhắc can thiệp sớm.

Nguyên nhân di truyền thầm lặng gây vô tinh nam
Bệnh nam giới - 06/10/2025 13:41SKĐS - Mất đoạn AZF trên nhiễm sắc thể Y là một trong những nguyên nhân di truyền phổ biến gây vô tinh. Việc phát hiện sớm giúp định hướng điều trị và tư vấn sinh sản chính xác.

Hội chứng Rett: Rối loạn thần kinh hiếm gặp ở trẻ em gái
Bệnh trẻ em - 02/10/2025 15:59SKĐS - Hội chứng Rett là bệnh thần kinh hiếm gặp, chủ yếu ở bé gái, gây thoái lui khả năng ngôn ngữ và vận động, đòi hỏi can thiệp y tế và hỗ trợ lâu dài.

Sống vui, khoẻ nhờ detox cảm xúc
Sức khỏe tâm hồn - 06/10/2025 08:30SKĐS - Những cảm xúc tiêu cực như buồn bã, ganh tị, oán trách nếu tích tụ sẽ làm nặng tâm hồn. Detox cảm xúc giúp ta giải tỏa, tìm lại sự cân bằng và niềm vui sống.

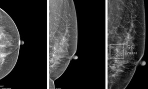
Phát hiện sớm ung thư vú nhờ công nghệ AI
Ung thư - 08/10/2025 12:02SKĐS - Ung thư vú đang ngày càng trẻ hóa. Nếu trước đây bệnh chủ yếu gặp ở phụ nữ trên 45 tuổi, thì nay nhiều ca được phát hiện ở độ tuổi 30–40, thậm chí dưới 30 tuổi. Tuy nhiên, ung thư vú có thể phát hiện sớm và điều trị hiệu quả.

Vì sao tăng huyết áp là “sát thủ thầm lặng” của người già?
Bệnh người cao tuổi - 04/08/2025 05:21SKĐS - Tăng huyết áp ở người cao tuổi đang gia tăng mạnh, gây nhiều biến chứng nguy hiểm. Việc phát hiện sớm và kiểm soát tốt huyết áp là chìa khóa bảo vệ sức khỏe.

Vì sao rối loạn nội tiết lại gây tăng cân, béo phì?
Bệnh người cao tuổi - 27/07/2025 14:02SKĐS - Sự mất cân bằng nội tiết tố nữ có thể tác động đến quá trình trao đổi chất và dẫn đến tăng cân ở phụ nữ, nhất là trong giai đoạn tiền mãn kinh – mãn kinh. Sự xáo trộn nội tiết tố khiến việc tăng cân và béo phì trở nên phổ biến hơn.

Người cao tuổi bị mù lòa chủ yếu ở nguyên nhân này
Bệnh người cao tuổi - 24/07/2025 17:06SKĐS - Đục thủy tinh thể là nguyên nhân hàng đầu gây mù lòa ở người cao tuổi. Bệnh tiến triển âm thầm nhưng hoàn toàn có thể chữa khỏi nếu được phát hiện kịp thời.

Vì sao khi về già lại có tính cách giống trẻ con?
Bệnh người cao tuổi - 15/06/2025 11:00SKĐS - Người già thường có tính cách giống trẻ nhỏ: hay quên, dễ giận, thích được chiều. Đó không chỉ là quan sát dân gian mà còn là biểu hiện của vòng đời và não bộ lão hóa.

Cách bảo vệ phổi cho người cao tuổi
Bệnh người cao tuổi - 03/06/2025 15:21SKĐS - Chủ động bảo vệ lá phổi là vô cùng cần thiết để người cao tuổi duy trì chất lượng sống và phòng tránh các biến chứng nguy hiểm.

Thời tiết nắng nóng người cao tuổi dễ gặp bệnh gì, nên ăn gì?
Bệnh người cao tuổi - 03/06/2025 10:46SKĐS - Nắng nóng đang bước vào giai đoạn cao điểm nhiệt độ tăng cao nên người cao tuổi dễ bị ảnh hưởng đến sức khỏe, đặc biệt người đang mắc các bệnh mạn tính.

Câu hỏi thường gặp về bệnh xơ vữa động mạch não
Tra cứu bệnh - 24/05/2025 15:47SKĐS - Xơ vữa động mạch não là một trong những nguyên nhân hàng đầu dẫn đến thiếu máu não, tai biến mạch máu não (đột quỵ) và tử vong. Tuy nhiên, nhiều người bệnh và gia đình vẫn còn thiếu thông tin đầy đủ, dẫn đến hiểu lầm và điều trị chưa đúng cách.

Người cao tuổi giữ sức khoẻ như thế nào trước làn sóng Covid-19 mới?
Bệnh người cao tuổi - 24/05/2025 05:37SKĐS - Dịch Covid-19 đang âm thầm quay trở lại với số ca tăng nhẹ. Người cao tuổi - nhóm dễ tổn thương nhất, cần đặc biệt cảnh giác để bảo vệ sức khỏe và tính mạng.

Người cao tuổi lạm dụng điện thoại nguy hại đến sức khỏe ra sao?
Bệnh người cao tuổi - 20/05/2025 10:34SKĐS - Dùng điện thoại giúp người cao tuổi kết nối và giải trí, nhưng nếu lạm dụng có thể gây hại mắt, xương khớp, trí nhớ và sức khỏe tinh thần một cách âm thầm, nguy hiểm.
Phòng mạch online
Bị viêm khớp nên ăn gì, kiêng gì?
SKĐS - Viêm khớp là một bệnh lý thường gặp, có thể xuất hiện ở mọi lứa tuổi nhưng phổ biến hơn ở người lớn tuổi. Căn bệnh này có thể làm cho sụn bị tổn thương hoặc vỡ gây đau, sưng, khiến người bệnh gặp khó khăn trong việc di chuyển và cử động khớp.