
HIV và bệnh tim mạch: Nguy cơ và dấu hiệu cảnh báo sớm
Y học 360 - 08/10/2025 20:57SKĐS - Người nhiễm HIV có nguy cơ mắc bệnh tim mạch cao hơn so với dân số chung do nhiều yếu tố cộng hưởng. Nhận biết sớm các dấu hiệu cảnh báo có thể giúp phát hiện kịp thời và giảm thiểu biến chứng nguy hiểm...

Dự phòng tái phát rối loạn lo âu - Làm sao để giữ vững kết quả điều trị?
Y học 360 - 09/10/2025 08:19Lo âu là một nhóm rối loạn tâm thần phổ biến, bao gồm cảm giác lo lắng, sợ hãi và các triệu chứng cơ thể như tim đập nhanh, vã mồ hôi, khó thở, mất ngủ. Sau khi điều trị, nhiều người lo lắng: liệu bệnh có tái phát không?

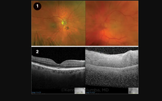
1,1 tỷ người có thể mất thị lực vì chủ quan: Hãy yêu đôi mắt của bạn trước khi quá muộn
Bệnh thường gặp - 09/10/2025 20:00SKĐS - 1,1 tỷ người trên thế giới đang nhìn cuộc sống qua đôi mắt mờ dần – dù phần lớn trong số đó hoàn toàn có thể tránh được. Đằng sau con số ấy là lời cảnh báo mạnh mẽ về sự chủ quan trong việc chăm sóc thị giác.

Hướng đi mới trong điều trị cơ xương khớp bằng y học tái tạo và trí tuệ nhân tạo tại Hội nghị Khoa học thường niên TRA 2025
Y học 360 - 09/10/2025 14:43Hội nghị Khoa học thường niên TRA 2025 với sự góp mặt của các chuyên gia trong và ngoài nước đã mang đến bức tranh toàn diện về các tiến bộ trong chẩn đoán, điều trị cơ xương khớp bằng y học tái tạo và trí tuệ nhân tạo, mở ra triển vọng mới trong chăm sóc và quản lý bệnh lý cơ xương khớp tại Việt Nam.

Mescells tham gia xây dựng tiêu chuẩn Quốc gia về tế bào và sản phẩm từ tế bào
Y học 360 - 09/10/2025 14:25Ngày 6/10/2025, tại Viện Pasteur TP. Hồ Chí Minh, Cục Khoa học Công nghệ và Đào tạo (Bộ Y tế) tổ chức hội thảo "Xây dựng Tiêu chuẩn Quốc gia đối với tế bào và sản phẩm từ tế bào sử dụng trong nghiên cứu". TS.BSCKII Nguyễn Tri Thức - Thứ trưởng Bộ Y tế chủ trì.

4 khuyến cáo giúp phòng bệnh tả mùa mưa lũ
Bệnh thường gặp - 09/10/2025 10:22SKĐS - Vào mùa mưa lũ, điều kiện thời tiết và môi trường ẩm ướt là yếu tố thuận lợi cho sự phát sinh và lây lan của các loại dịch bệnh. Đặc biệt, các bệnh truyền nhiễm nguy hiểm có nguy cơ bùng phát thành dịch lớn, ảnh hưởng nghiêm trọng đến sức khỏe cộng đồng như bệnh tả.

U xơ tử cung dưới thanh mạc có nguy hiểm không?
Y học 360 - 09/10/2025 10:00Trong các loại u xơ, u xơ tử cung dưới thanh mạc ít gây rối loạn kinh nguyệt nhưng vẫn tiềm ẩn nhiều nguy cơ nếu không được phát hiện và theo dõi kịp thời.

Phòng bệnh chốc lở ngoài da mùa mưa
Bệnh thường gặp - 09/10/2025 09:10SKĐS - Mùa mưa lũ là thời điểm dễ bùng phát các bệnh ngoài da, trong đó có chốc lở – một dạng nhiễm trùng do vi khuẩn gây ra. Nếu không phát hiện và điều trị kịp thời, bệnh có thể dẫn đến viêm loét, lan rộng và để lại biến chứng.

Những bệnh lý tại phổi nào thường gặp ở người nhiễm HIV?
Y học 360 - 08/10/2025 10:33SKĐS - Nhiễm HIV không chỉ ảnh hưởng đến hệ miễn dịch mà còn tác động trực tiếp đến sức khỏe hô hấp. Khi khả năng phòng vệ của cơ thể suy giảm, phổi trở thành 'đích tấn công' của nhiều tác nhân gây bệnh, dẫn đến tỷ lệ viêm phổi, lao phổi và bệnh phổi tắc nghẽn mạn tính gia tăng rõ rệt.

Rối loạn mất ngủ và cách điều trị không dùng thuốc: Hướng đi an toàn cho giấc ngủ khỏe mạnh
Y học 360 - 08/10/2025 08:00Mất ngủ không chỉ là chuyện "khó chợp mắt" vài đêm, mà là vấn đề sức khỏe nghiêm trọng có thể ảnh hưởng sâu sắc đến thể chất và tinh thần.

U xơ vú ở phụ nữ trẻ: Khi nào cần mổ, khi nào chỉ theo dõi?
Bệnh phụ nữ - 08/10/2025 05:51SKĐS - U xơ vú lành tính thường gặp ở phụ nữ trẻ, đa phần không nguy hiểm. Tuy nhiên, khi khối u lớn nhanh hoặc gây biến dạng, cần cân nhắc can thiệp sớm.

Người bị tim mạch, huyết áp tắm biển thế nào cho an toàn?
Y học 360 - 07/10/2025 16:47SKĐS - Tắm biển mang lại nhiều lợi ích cho sức khỏe. Tuy nhiên, với những người bị bệnh tim mạch hay huyết áp cao, khi tắm biển cần tuân thủ một số chỉ dẫn để đảm bảo an toàn.

Các dạng viêm mũi thường gặp và cách điều trị
Bệnh thường gặp - 07/10/2025 13:50SKĐS - Viêm mũi là một bệnh lý phổ biến với nhiều triệu chứng bao gồm hắt hơi, sổ mũi, nghẹt mũi, khó chịu, ho, ngủ ngáy, viêm họng. Viêm mũi thường do viêm sưng lớp niêm mạc trong khoang mũi và có thể đi kèm các bệnh lý khác như viêm xoang – họng làm ảnh hưởng đến cuộc sống của người bệnh.

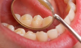
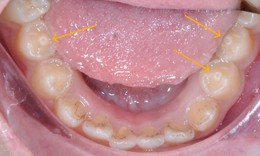
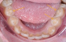
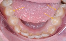
Biến chứng nguy hiểm của viêm tuỷ răng
Bệnh thường gặp - 07/10/2025 11:00SKĐS -Viêm tủy răng không những khiến người bệnh bị đau nhức, khó chịu mà còn có thể gây nhiều biến chứng nguy hiểm nếu không được khám và điều trị kịp thời.

Vì sao người cao tuổi dễ mắc bệnh phổi kẽ tiến triển?
Bệnh người cao tuổi - 07/10/2025 06:46SKĐS - Xơ hóa phổi không rõ nguyên nhân (IPF) là bệnh phổi kẽ tiến triển, âm thầm hủy hoại mô phổi, khó chẩn đoán và có thể gây tử vong nếu phát hiện muộn.

1,1 tỷ người có thể mất thị lực vì chủ quan: Hãy yêu đôi mắt của bạn trước khi quá muộn
Bệnh thường gặp - 09/10/2025 20:00SKĐS - 1,1 tỷ người trên thế giới đang nhìn cuộc sống qua đôi mắt mờ dần – dù phần lớn trong số đó hoàn toàn có thể tránh được. Đằng sau con số ấy là lời cảnh báo mạnh mẽ về sự chủ quan trong việc chăm sóc thị giác.

U xơ vú ở phụ nữ trẻ: Khi nào cần mổ, khi nào chỉ theo dõi?
Bệnh phụ nữ - 08/10/2025 05:51SKĐS - U xơ vú lành tính thường gặp ở phụ nữ trẻ, đa phần không nguy hiểm. Tuy nhiên, khi khối u lớn nhanh hoặc gây biến dạng, cần cân nhắc can thiệp sớm.

Nguyên nhân di truyền thầm lặng gây vô tinh nam
Bệnh nam giới - 06/10/2025 13:41SKĐS - Mất đoạn AZF trên nhiễm sắc thể Y là một trong những nguyên nhân di truyền phổ biến gây vô tinh. Việc phát hiện sớm giúp định hướng điều trị và tư vấn sinh sản chính xác.

Vì sao người cao tuổi dễ mắc bệnh phổi kẽ tiến triển?
Bệnh người cao tuổi - 07/10/2025 06:46SKĐS - Xơ hóa phổi không rõ nguyên nhân (IPF) là bệnh phổi kẽ tiến triển, âm thầm hủy hoại mô phổi, khó chẩn đoán và có thể gây tử vong nếu phát hiện muộn.

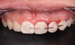
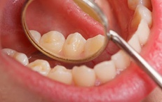
Xử trí chấn thương răng cửa như thế nào?
Bệnh thường gặp - 06/10/2025 18:00SKĐS - Chấn thương răng cửa là một trong những dạng chấn thương răng miệng phổ biến nhất, thường gặp ở trẻ em và thanh thiếu niên. Việc phòng ngừa và xử trí đúng cách khi xảy ra chấn thương răng là rất cần thiết, nhằm giảm thiểu các biến chứng lâu dài và bảo tồn chức năng, thẩm mỹ của răng.

Nguyên nhân di truyền thầm lặng gây vô tinh nam
Bệnh nam giới - 06/10/2025 13:41SKĐS - Mất đoạn AZF trên nhiễm sắc thể Y là một trong những nguyên nhân di truyền phổ biến gây vô tinh. Việc phát hiện sớm giúp định hướng điều trị và tư vấn sinh sản chính xác.

Polyp túi mật có thể tiến triển thành ung thư không?
Y học 360 - 06/10/2025 09:24Sau khi siêu âm, bạn được thông báo có polyp túi mật. Nghe có vẻ đáng sợ, nhưng nó thực sự có ý nghĩa gì? Và quan trọng hơn, bạn có nên lo lắng về ung thư không?

Sống vui, khoẻ nhờ detox cảm xúc
Sức khỏe tâm hồn - 06/10/2025 08:30SKĐS - Những cảm xúc tiêu cực như buồn bã, ganh tị, oán trách nếu tích tụ sẽ làm nặng tâm hồn. Detox cảm xúc giúp ta giải tỏa, tìm lại sự cân bằng và niềm vui sống.

Hội chứng chuyển hóa ở người nhiễm HIV: Thách thức mới trong kiểm soát sức khỏe
Y học 360 - 05/10/2025 15:12SKĐS - Người nhiễm HIV đang phải đối mặt thêm một thách thức mới,đó là hội chứng chuyển hóa – yếu tố làm gia tăng nguy cơ tim mạch và đột quỵ. Điều này đòi hỏi sự phối hợp chặt chẽ giữa người bệnh và đội ngũ y tế trong quá trình điều trị.

Hội chứng Rett: Rối loạn thần kinh hiếm gặp ở trẻ em gái
Bệnh trẻ em - 02/10/2025 15:59SKĐS - Hội chứng Rett là bệnh thần kinh hiếm gặp, chủ yếu ở bé gái, gây thoái lui khả năng ngôn ngữ và vận động, đòi hỏi can thiệp y tế và hỗ trợ lâu dài.

Sống vui, khoẻ nhờ detox cảm xúc
Sức khỏe tâm hồn - 06/10/2025 08:30SKĐS - Những cảm xúc tiêu cực như buồn bã, ganh tị, oán trách nếu tích tụ sẽ làm nặng tâm hồn. Detox cảm xúc giúp ta giải tỏa, tìm lại sự cân bằng và niềm vui sống.

Ung thư “câm lặng”: chỉ lộ diện ở giai đoạn muộn
Ung thư - 30/09/2025 15:25SKĐS - Ung thư “câm lặng” âm thầm phát triển mà không gây triệu chứng rõ rệt. Phát hiện muộn làm giảm cơ hội điều trị, vì vậy vai trò tầm soát định kỳ là rất quan trọng.
Phòng mạch online
Ăn uống trong mùa mưa lũ cần lưu ý gì?
SKĐS - Ngập lụt kéo dài khiến thực phẩm dễ hư hỏng, nhiễm khuẩn, tiềm ẩn nguy cơ ngộ độc và bùng phát dịch bệnh. Đảm bảo an toàn vệ sinh thực phẩm là giải pháp cấp thiết để bảo vệ sức khỏe người dân vùng lũ.