Viêm màng não do phế cầu

30-07-2009 11:05 | Tin nóng y tế
google news

Phế cầu là vi khuẩn gây viêm màng não phổ biến nhất ở người lớn và đứng hàng thứ hai ở trẻ em trên 6 tuổi.

Phế cầu là vi khuẩn gây viêm màng não phổ biến nhất ở người lớn và đứng hàng thứ hai ở trẻ em trên 6 tuổi. Bệnh gây suy hô hấp, phù não nặng, sốc không hồi phục, áp-xe não, viêm phổi, viêm thận, loét rộng và suy kiệt, trạng thái mất não kéo dài, tử vong cao. Theo một nghiên cứu, những năm gần đây, tỷ lệ tử vong trong viêm màng não do phế cầu khoảng 30%. 

Phế cầu là loại vi khuẩn gây viêm màng não mủ, bệnh thường gặp trong các đối tượng sau: người nghiện rượu, bệnh nhân đái tháo đường, viêm tai giữa, viêm xoang, sau chấn thương hoặc vết thương sọ não.

Biểu hiện lâm sàng

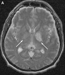
 Tổn thương viêm màng não do phế cầu.
Bệnh nhân bị viêm màng não thường khởi phát cấp tính, có khi dữ dội với các triệu chứng: sốt cao liên tục, nhức đầu, đau mỏi cơ khớp... Nếu có nhiễm khuẩn huyết thì sốt cao dao động, có những cơn rét run, gan và lách to. Nặng hơn có sốc, trụy tim mạch, tụt huyết áp, nước tiểu ít. Khi xuất hiện hội chứng màng não thường biểu hiện triệu chứng rầm rộ: nhức đầu dữ dội, dễ nôn, trẻ nhỏ thường nôn, bỏ bú, ngủ gà, quấy khóc, thở không đều, da tím tái, co giật... Khám thấy các dấu hiệu cứng gáy, Kernig, Brudzinski dương tính. Trẻ em có “tư thế cò súng", sợ ánh sáng và tiếng động, thóp phồng. Bệnh nhân có các biểu hiện tăng áp lực nội sọ. So với viêm màng não do màng não cầu thì viêm màng não do phế cầu ít nổi ban trên da hơn, nhưng lại nổi trội dấu hiệu thần kinh khu trú, liệt mặt, rối loạn tri giác nặng nề hơn.

Xét nghiệm dịch não tủy thấy bạch cầu tăng, tăng bạch cầu đa nhân trung tính, trường hợp điển hình dịch não tủy có trên 1.000 bạch cầu /mm3 và trên 60% là bạch cầu đa nhân trung tính, glucoza thấp dưới 40 mg/dl, tức là dưới 50% nồng độ đường máu cùng thời điểm. Protein thường trên 150mg/dl. Trường hợp không điển hình, dịch não tủy có thể trong, có máu hoặc màu vàng chanh. Nhuộm soi dịch não tủy có thể thấy vi khuẩn trong 80 - 90% các trường hợp. Nếu chưa điều trị, thường là cấy máu và cấy dịch não tủy đều thấy vi khuẩn. Tìm kháng nguyên phế cầu bằng các phản ứng latex hoặc điện di miễn dịch ngược dòng dịch não tủy cho kết quả rất hữu ích trong trường hợp đã được điều trị kháng sinh.      

Biến chứng và di chứng

Viêm màng não do vi khuẩn nói chung và phế cầu nói riêng có thể gây ra các biến chứng: tổn thương các dây thần kinh sọ não như dây II, III, IV, VI, VII, VIII... Áp-xe não, áp-xe dưới màng cứng, ổ tụ mủ dọc huyết quản, viêm tắc tĩnh mạch, viêm quanh mạch máu não... Gây tắc nghẽn dịch não tủy, dày dính màng não, dẫn đến cản trở lưu thông dịch não tủy, chứng não nước, viêm khớp viêm màng trong tim, viêm màng ngoài tim, viêm phổi, viêm thận.

Di chứng sau khi viêm màng não mủ do phế cầu, nhất là trường hợp chẩn đoán và điều trị muộn có thể dẫn đến: lác mắt, mù mắt, điếc, câm, hội chứng não nước, liệt một chi, liệt nửa người, liệt hai chi dưới, tổn thương dây thần kinh sọ não, giảm trí nhớ, sa sút trí tuệ, rối loạn tâm thần, động kinh.

 Phế cầu trên kính hiển vi.
Điều trị

Cần điều trị kháng sinh ngay khi có nghi ngờ viêm màng não mủ. Khi nghi ngờ viêm màng não mủ do phế cầu, phải nhanh chóng soi đáy mắt, chọc lấy dịch não tủy nhuộm soi và nuôi cấy vi khuẩn ngay. Sau đó phải dùng kháng sinh sớm mà không cần đợi có kết quả  vi khuẩn mới dùng kháng sinh. Thuốc nên lựa chọn là ceftriaxon hơn là dùng penicillin vì hiện nay có xu hướng phế cầu kháng penicillin ngày một tăng. Thời gian  điều trị thường là từ 10 - 14 ngày.  Các chủng kháng penicillin lại thường có kháng chéo cả với cephalosporin thế hệ 3. Vì vậy việc điều trị theo kháng sinh đồ là hết sức cần thiết để mau chóng tiêu diệt vi khuẩn. Tốt nhất nên dùng kháng sinh theo đường truyền tĩnh mạch mà không nên đưa thuốc trực tiếp vào ống sống.

Nếu không có sự cải thiện về lâm sàng mặc dù đang được điều trị bằng cephalosporin thế hệ 3 và rifampin hoặc vancomycin thì cần chọc dò dịch não tuỷ lại để xét nghiệm vi khuẩn học và làm kháng sinh đồ. Có thể sử dụng corticoid trong điều trị viêm màng não nếu có biểu hiện tăng áp lực nội sọ, hôn mê, liệt khu trú như dexamethason. Nhưng cần lưu ý rằng ở người lớn, dexamethason có thể ngăn cản việc xâm nhập của vancomycin và ceftriaxon vào khoang não tủy, làm giảm hiệu quả các kháng sinh này trong trường hợp vi khuẩn kháng penicillin.

Điều trị triệu chứng: Chống phù não bằng dung dịch manitol 15-20% truyền tĩnh mạch nhanh, hay dùng magiê sulfat. An thần chống co giật bằng diazepam. Chống sốc và trụy tim mạch bằng truyền dịch ouabain. Chống suy hô hấp bằng cách đặt bệnh nhân nằm tư thế dẫn lưu, hút đờm dãi, thở ôxy. Đối với trẻ em phải đề phòng sốt cao co giật nên hạ nhiệt bằng các phương pháp đắp khăn mát, nằm nghỉ nơi thoáng gió, dùng thuốc hạ nhiệt như paracetamol. Bệnh nhân cần được nuôi dưỡng tốt đề phòng và chống loét. Cần thiết phải phẫu thuật điều trị áp - xe não. 

ThS. Nguyễn Thế Minh


Ý kiến của bạn