vệ sinh răng miệng

7 loại thực phẩm làm tăng nguy cơ sâu răng bạn nên biết để tránh

7 loại thực phẩm làm tăng nguy cơ sâu răng bạn nên biết để tránh

Cảnh giác thực phẩm - 09/10/2025 06:09

SKĐS - Sức khỏe răng miệng không chỉ là vấn đề thẩm mỹ mà còn ảnh hưởng đến sức khỏe tổng thể. Các thực phẩm chứa nhiều đường tinh luyện như kẹo và nước ngọt có gas chính là 'kẻ thù' số 1 gây sâu răng, viêm nướu.

Chảy máu chân răng do đâu?

Chảy máu chân răng do đâu?

Bệnh thường gặp - 01/07/2025 14:46

SKĐS - Chảy máu chân răng hay còn gọi là chảy máu nướu là tình trạng dễ gặp khi đánh răng. Vậy nguyên nhân chảy máu chân răng do đâu, cách điều trị như thế nào?

Viêm tủy răng ở trẻ có biểu hiện gì, hệ lụy ra sao?

Viêm tủy răng ở trẻ có biểu hiện gì, hệ lụy ra sao?

Phòng mạch online - 15/06/2025 07:11

SKĐS - Viêm tủy răng là bệnh lý xảy ra khi có phản ứng viêm của mô tủy răng sữa, làm tăng tưới máu dẫn đến tăng áp lực nội tủy chèn ép thần kinh và gây đau. Nếu không được chẩn đoán và điều trị sớm sẽ gây ra những biến chứng vô cùng nguy hiểm cho trẻ như là viêm tủy cấp, hoại tử tuỷ, chết tuỷ...

Làm trắng răng bằng baking soda, lợi hay hại?

Làm trắng răng bằng baking soda, lợi hay hại?

Khỏe - Đẹp - 08/06/2025 11:00

SKĐS - Baking soda là nguyên liệu quen thuộc, được nhiều người tin dùng như một giải pháp làm trắng răng tự nhiên, tiết kiệm. Tuy nhiên, sử dụng baking soda sai cách có thể gây hại cho men răng và sức khỏe răng miệng. Vậy sử dụng baking soda làm trắng răng như thế nào để đảm bảo an toàn?

Có nên lấy cao răng tại nhà?

Có nên lấy cao răng tại nhà?

Khỏe - Đẹp - 07/06/2025 06:00

SKĐS - Cao răng không chỉ gây mất thẩm mỹ mà còn là nguyên nhân tiềm ẩn của nhiều bệnh lý răng miệng như viêm nướu, hôi miệng... Nhiều người lựa chọn tự lấy cao răng tại nhà vì sự tiện lợi, nhưng liệu cách làm này có thực sự hiệu quả và an toàn?

5 thói quen gây cao răng

5 thói quen gây cao răng

Khỏe - Đẹp - 06/06/2025 06:00

SKĐS - Cao răng không hình thành ngay lập tức mà là kết quả của những thói quen tưởng chừng vô hại trong sinh hoạt hàng ngày. Nhận biết và điều chỉnh kịp thời những thói quen này sẽ giúp ngăn ngừa sự tích tụ cao răng hiệu quả hơn...

Cách nhận biết cao răng đang tích tụ

Cách nhận biết cao răng đang tích tụ

Khỏe - Đẹp - 05/06/2025 06:00

SKĐS - Cao răng không chỉ ảnh hưởng đến thẩm mỹ mà còn là nguyên nhân tiềm ẩn của nhiều vấn đề răng miệng nghiêm trọng. Nhận biết sớm dấu hiệu cao răng tích tụ sẽ giúp bạn chủ động chăm sóc, bảo vệ sức khỏe răng miệng hiệu quả hơn...

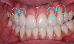
Viêm nha chu – 'Sát thủ thầm lặng': Cách nhận diện và điều trị sớm để bảo vệ nụ cười

Viêm nha chu – 'Sát thủ thầm lặng': Cách nhận diện và điều trị sớm để bảo vệ nụ cười

Khỏe - Đẹp - 14/05/2025 09:00

Viêm nha chu, một trong những bệnh lý răng miệng phổ biến, ảnh hưởng đến gần 50% dân số thế giới theo Tổ chức Y tế Thế giới (WHO), thường bị xem nhẹ do diễn tiến âm thầm, khó phát hiện sớm.

Biện pháp khắc phục giảm ê buốt răng tại nhà

Biện pháp khắc phục giảm ê buốt răng tại nhà

Chữa bệnh không dùng thuốc - 06/05/2025 10:00

SKĐS - Răng nhạy cảm (ê buốt răng) là một trải nghiệm khó chịu. Người bị răng ê buốt rất nhạy cảm với thức ăn nóng, lạnh hay thậm chí là đồ ăn ngọt, cơn đau nhói có thể khiến việc ăn uống trở nên khó khăn.

6 loại thực phẩm giúp răng trắng đẹp

6 loại thực phẩm giúp răng trắng đẹp

Dinh dưỡng - 12/04/2025 06:10

SKĐS - Một số thực phẩm có khả năng làm răng trắng hơn nhờ tác động cơ học giúp loại bỏ mảng bám, kích thích tiết nước bọt làm sạch khoang miệng, hoặc chứa các hợp chất tự nhiên có thể giúp làm sáng răng nhẹ nhàng.

Hướng dẫn cách vệ sinh răng sau khi bọc răng sứ

Hướng dẫn cách vệ sinh răng sau khi bọc răng sứ

Khỏe - Đẹp - 20/03/2025 14:06

Để răng sứ luôn bền đẹp và sử dụng lâu dài, bạn cần có chế độ chăm sóc và vệ sinh đúng cách. Dưới đây là những hướng dẫn cách vệ sinh răng sau khi bọc răng sứ giúp bảo vệ răng sứ hiệu quả.

Hôi miệng: Nguyên nhân, biểu hiện, cách điều trị và phòng bệnh

Hôi miệng: Nguyên nhân, biểu hiện, cách điều trị và phòng bệnh

Tra cứu bệnh - 17/03/2025 17:54

SKĐS - Hôi miệng được hiểu là hơi thở có mùi hôi và khó chịu. Theo các nghiên cứu thì hôi miệng có tỷ lệ phổ biến trên toàn thế giới, từ 22 - 50%, ảnh hưởng không ít đến đời sống hàng ngày.

Giảm nguy cơ đột quỵ nhờ thói quen dùng chỉ nha khoa vệ sinh răng miệng

Giảm nguy cơ đột quỵ nhờ thói quen dùng chỉ nha khoa vệ sinh răng miệng

Chữa bệnh không dùng thuốc - 05/02/2025 11:00

SKĐS - Ít ai nghĩ rằng thói quen dùng chỉ nha khoa lại có thể làm giảm nguy cơ đột quỵ. Vệ sinh răng miệng tốt không chỉ có lợi cho răng mà còn tốt cho sức khỏe tim mạch.

Một số lưu ý khi niềng răng để hàm răng luôn trắng khoẻ

Một số lưu ý khi niềng răng để hàm răng luôn trắng khoẻ

Thẩm mỹ - 05/02/2025 09:00

SKĐS - Trong quá trình niềng răng, việc chăm sóc răng miệng trở nên quan trọng hơn bao giờ hết để đảm bảo răng luôn trắng khỏe. Nếu không đúng cách, người niềng răng có thể gặp phải các vấn đề như sâu răng, viêm nướu hoặc răng bị xỉn màu.

Viêm lợi nên kiêng ăn gì?

Viêm lợi nên kiêng ăn gì?

Phòng mạch online - 25/12/2024 07:08

SKĐS - Viêm lợi là bệnh lý nha khoa phổ biến gây đau nhức, ảnh hưởng đến chất lượng cuộc sống của bệnh nhân. Vậy khi bị viêm lợi cần kiêng ăn gì, cách chữa trị ra sao?

La Nina suy yếu nhưng mưa còn nhiều, cao điểm rét đậm tập trung thời gian tới

La Nina suy yếu nhưng mưa còn nhiều, cao điểm rét đậm tập trung thời gian tới

Xã hội - 15/12/2025 20:19

SKĐS - Theo Trung tâm Dự báo Khí tượng Thủy văn Quốc gia, trong 6 tháng đầu năm 2026, thời tiết trên phạm vi cả nước tiếp tục diễn biến phức tạp dưới tác động của hiện tượng La Nina suy yếu dần và có khả năng chuyển sang trạng thái trung tính.

Khởi tố Hiệu trưởng Trường Cao đẳng Du lịch Hà Nội cùng đồng phạm liên quan sai phạm trong chi trả tiền cho sinh viên

Khởi tố Hiệu trưởng Trường Cao đẳng Du lịch Hà Nội cùng đồng phạm liên quan sai phạm trong chi trả tiền cho sinh viên

Pháp luật - 15/12/2025 22:10

SKĐS – Liên quan sai phạm trong việc chi trả tiền bồi dưỡng cho sinh viên tham gia sự kiện A80, Cơ quan An ninh điều tra Công an TP Hà Nội đã khởi tố Hiệu trưởng Trường Cao đẳng Du lịch Hà Nội cùng 2 đồng phạm.

Lệnh cấm gây tranh cãi ở Trung Quốc khiến người dân đổ xô mua tích trữ nhiệt kế thuỷ ngân

Lệnh cấm gây tranh cãi ở Trung Quốc khiến người dân đổ xô mua tích trữ nhiệt kế thuỷ ngân

Quốc tế - 15/12/2025 19:25

Việc Trung Quốc chuẩn bị cấm sản xuất nhiệt kế thủy ngân từ năm 2026 đang làm dấy lên làn sóng tranh luận mạnh mẽ trong dư luận, xoay quanh các vấn đề an toàn sức khỏe, độ chính xác cũng như sự gắn bó với một vật dụng quen thuộc trong nhiều gia đình suốt hàng chục năm qua.

6 cách đơn giản để có hàm răng trắng khỏe

6 cách đơn giản để có hàm răng trắng khỏe

Chữa bệnh không dùng thuốc - 22/12/2024 11:00

SKĐS - Răng trắng khỏe không chỉ hấp dẫn về thẩm mỹ, khiến chúng ta tự tin hơn, mà còn phản ánh tình trạng sức khỏe tốt.

4 biến chứng khi bị viêm lợi trùm

4 biến chứng khi bị viêm lợi trùm

Bệnh thường gặp - 25/11/2024 17:52

SKĐS - Viêm lợi trùm là tình trạng hay gặp với biểu hiện khác nhau như đau nhức, sưng tấy và khó chịu trong vùng lợi. Nếu không được phát hiện và điều trị kịp thời từ giai đoạn sớm, viêm lợi trùm có thể kéo dài quá trình điều trị, làm cho tình trạng răng miệng trở nên phức tạp hơn.

Trẻ bị viêm lợi sưng đỏ nên ăn gì để nhanh khỏi?

Trẻ bị viêm lợi sưng đỏ nên ăn gì để nhanh khỏi?

Bệnh trẻ em - 25/11/2024 11:02

SKĐS - Viêm lợi ở trẻ em rất phổ biến, nếu không điều trị kịp thời có thể ảnh hưởng đến sinh hoạt hàng ngày và gây biến chứng tổn thương răng vĩnh viễn.

4 thói quen ảnh hưởng đến bệnh lý răng miệng ở trẻ

4 thói quen ảnh hưởng đến bệnh lý răng miệng ở trẻ

Bệnh trẻ em - 30/10/2024 18:59

SKĐS - Chăm sóc răng miệng cho trẻ rất quan trọng, tuy nhiên một số thói quen xấu của trẻ có thể ảnh hưởng đến quá trình phát triển răng miệng.

9 câu hỏi thường gặp liên quan đến bệnh bạch sản

9 câu hỏi thường gặp liên quan đến bệnh bạch sản

Tra cứu bệnh - 18/08/2024 08:43

SKĐS - Bạch sản thường gặp nhất ở lưỡi nhưng cũng có thể bị tổn thương ở má và lợi. Điều khó khăn trong điều trị chính là nhiều người vẫn chưa hiểu biết về căn bệnh này, thậm chí thường hay lầm tưởng sang các chứng bệnh khác ở vùng miệng.

Sau sinh kiêng đánh răng có đúng không?

Sau sinh kiêng đánh răng có đúng không?

Bệnh phụ nữ - 12/08/2024 09:40

SKĐS - Do lo sợ răng bị ê buốt, yếu đi, thậm chí sẽ dễ bị rụng khi về già nên nhiều người sau sinh thường kiêng không đánh răng. Vậy điều này có đúng không?

Cam kết chính trị mạnh mẽ của Việt Nam trong ưu tiên phòng, chống bệnh không lây nhiễm ĐƯA NGHỊ QUYẾT SỐ 72-NQ/TW CỦA BỘ CHÍNH TRỊ VÀO CUỘC SỐNG

Cam kết chính trị mạnh mẽ của Việt Nam trong ưu tiên phòng, chống bệnh không lây nhiễm

SKĐS - Nhóm bệnh không lây nhiễm gây gánh nặng bệnh tật và tử vong hàng đầu tại Việt Nam, tác động trực tiếp tới chất lượng dân số, năng suất lao động và chi phí chăm sóc sức khỏe. Công tác phòng, chống bệnh không lây nhiễm vì vậy được xem là nhiệm vụ mang tính chiến lược, đòi hỏi cách tiếp cận toàn diện...

Bộ Y tế họp chuẩn bị công tác Y tế phục vụ Đại hội Đại biểu toàn quốc lần thứ XIV của Đảng CHỈ ĐẠO, ĐIỀU HÀNH CỦA LÃNH ĐẠO BỘ Y TẾ

Bộ Y tế họp chuẩn bị công tác Y tế phục vụ Đại hội Đại biểu toàn quốc lần thứ XIV của Đảng

SKĐS - Chiều 15/12, tại trụ sở Bộ Y tế, GS.TS Trần Văn Thuấn - Thứ trưởng Bộ Y tế, Chủ tịch Hội đồng Y khoa Quốc gia đã chủ trì cuộc họp lần thứ 2 về việc chuẩn bị công tác y tế phục vụ Đại hội Đại biểu toàn quốc lần thứ XIV của Đảng.

Giải Báo chí về HIV/AIDS: Tôn vinh những 'người giữ lửa' thầm lặng Giải báo chí toàn quốc về phòng, chống HIV/AIDS

Giải Báo chí về HIV/AIDS: Tôn vinh những 'người giữ lửa' thầm lặng

SKĐS - Loạt bài "Những người giữ lửa cho công tác phòng, chống HIV/AIDS ở Việt Nam" của tác giả Bích Ngọc khắc họa những "chiến binh thầm lặng" bám địa bàn, góp phần thu hẹp khoảng trống dịch vụ và lan tỏa nỗ lực cộng đồng trong hành trình chấm dứt AIDS.

Lan tỏa giá trị nhân văn và xây dựng môi trường không khói thuốc trong đoàn viên, người lao động PHÒNG, CHỐNG TÁC HẠI CỦA THUỐC LÁ

Lan tỏa giá trị nhân văn và xây dựng môi trường không khói thuốc trong đoàn viên, người lao động

SKĐS - Sáng 21/11, Tổng Liên đoàn Lao động Việt Nam, Tạp chí Lao động Đoàn thể phối hợp Quỹ Phòng, chống tác hại của thuốc lá (Bộ Y tế) tổ chức Lễ tổng kết và trao giải Cuộc thi trực tuyến về phòng, chống tác hại của thuốc lá trong đoàn viên, người lao động năm 2025.

Phòng mạch online

Nước hầm xương có thực sự giàu collagen và tốt như lời đồn?

SKĐS - Nhiều bà nội trợ vẫn ninh xương cả tiếng đồng hồ vì tin rằng đây là bát nước cốt đại bổ, giàu collagen và canxi. Thế nhưng, thực tế nước hầm xương không thần thánh như chúng ta tưởng. Nếu dùng sai cách, món ăn quen thuộc này còn tiềm ẩn nguy cơ gây tăng axit uric, rối loạn chuyển hóa và gánh nặng cho hệ tim mạch.