ung thư vú

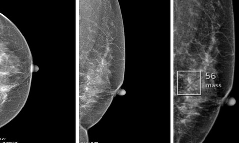
Phát hiện sớm ung thư vú nhờ công nghệ AI
Ung thư - 08/10/2025 12:02SKĐS - Ung thư vú đang ngày càng trẻ hóa. Nếu trước đây bệnh chủ yếu gặp ở phụ nữ trên 45 tuổi, thì nay nhiều ca được phát hiện ở độ tuổi 30–40, thậm chí dưới 30 tuổi. Tuy nhiên, ung thư vú có thể phát hiện sớm và điều trị hiệu quả.

Tầm soát ung thư vú có nhất thiết phải chụp nhũ ảnh hay không?
Sức khỏe sinh sản - 17/09/2025 08:15SKĐS - Việc tầm soát ung thư vú bằng phương pháp chụp nhũ ảnh được xem là một trong những yếu tố quan trọng giúp giảm tỷ lệ tử vong do ung thư vú trên toàn thế giới.

Ung thư vú không còn là 'án tử' nếu biết điều này
Y học 360 - 06/09/2025 19:31Ung thư vú hiện là loại ung thư phổ biến ở phụ nữ Việt Nam, với số ca mắc mới tăng nhanh qua từng năm. Đáng lo ngại, nhiều trường hợp được phát hiện ở giai đoạn muộn, khiến việc điều trị gặp nhiều khó khăn và tỷ lệ tử vong cao.

Ung thư ở người trẻ tuổi: Ca bệnh tăng và các mối lo ngại
Y học 360 - 05/09/2025 08:00Bài viết được chia sẻ bởi BS Tanujaa Rajasekaran - chuyên gia ung thư nội khoa thuộc Trung tâm Ung thư Parkway, Bệnh viện Mount Elizabeth Novena, Singapore

Thử nghiệm xóa sổ 'tế bào ngủ' gây tái phát ung thư vú
Quốc tế - 04/09/2025 06:37Các nhà khoa học Mỹ lần đầu tiên chứng minh có thể phát hiện và loại bỏ những tế bào ung thư vú “ngủ đông” còn sót lại sau điều trị bằng các loại thuốc sẵn có, mở ra hướng đi mới nhằm ngăn chặn bệnh tái phát.

Trí tuệ nhân tạo (AI) giúp phát hiện chính xác ung thư vú
Sức khỏe sinh sản - 02/09/2025 08:35SKĐS - Trí tuệ nhân tạo (AI) đang đóng vai trò ngày càng quan trọng trong việc phát hiện ung thư vú, đặc biệt là thông qua phân tích hình ảnh y tế. Trong tương lai AI sẽ là một công cụ hỗ trợ giúp nâng cao độ chính xác và tốc độ chẩn đoán bệnh.

Hai cách đơn giản giúp giảm nguy cơ ung thư vú
Sức khỏe sinh sản - 26/08/2025 07:30SKĐS - Có nhiều nguyên nhân dẫn đến ung thư vú và không có cách nào chắc chắn để phòng ngừa nhưng có hai cách đơn giản mọi phụ nữ có thể làm để giảm nguy cơ mắc căn bệnh này.

Ung thư vú có phải do gene không?
Sức khỏe sinh sản - 19/08/2025 08:10SKĐS - Mặc dù tỷ lệ không cao nhưng di truyền cũng là một trong những nguyên nhân gây ung thư vú. Các trường hợp ung thư vú do di truyền có liên quan đến các gene bị đột biến được truyền từ cha mẹ.

Hình ảnh - chìa khóa trong chẩn đoán và điều trị ung thư vú
Y tế - 13/08/2025 08:00Hình ảnh học đang trở thành "chìa khóa" trong phát hiện sớm và điều trị ung thư vú, đặc biệt khi kết hợp trí tuệ nhân tạo và các kỹ thuật can thiệp ít xâm lấn.

Nguy cơ ung thư vú từ lối sống và chế độ ăn uống
Sức khỏe sinh sản - 12/08/2025 07:57SKĐS - Mặc dù chưa có biện pháp nào chắc chắc để ngăn ngừa ung thư vú nhưng việc duy trì một lối sống lành mạnh có thể giúp giảm đáng kể nguy cơ mắc bệnh, đặc biệt là đối với phụ nữ sau mãn kinh.

5 triệu chứng cảnh báo ung thư vú ở nam giới không nên bỏ qua
Sức khỏe sinh sản - 01/08/2025 07:50SKĐS - Ung thư vú thường được phát hiện ở phụ nữ nhưng nam giới cũng có thể mắc bệnh. Ung thư vú ở nam giới hiếm gặp, chỉ chiếm một tỷ lệ nhỏ trong tổng số các ca bệnh.

3 phương pháp điều trị chính đối với ung thư vú
Y học 360 - 31/07/2025 14:44Những tiến bộ và phát minh mới trong điều trị y khoa cũng như công nghệ đã mang đến các bước ngoặt đáng kể trong điều trị ung thư vú.

Ngồi nhiều có làm tăng nguy cơ ung thư vú ở phụ nữ?
Sức khỏe sinh sản - 24/07/2025 08:20SKĐS - Câu trả lời là có. Nguy cơ có thể xảy ra ở những phụ nữ béo phì và ít vận động. Ngồi nhiều trong thời gian dài khiến những phụ nữ này có nguy cơ mắc ung thư vú cao hơn đáng kể.

Phối hợp thúc đẩy phát hiện sớm, nâng chất lượng điều trị 2 bệnh ung thư phổ biến ở phụ nữ Việt Nam
Y tế - 22/07/2025 17:17SKĐS - Tại Việt Nam, mỗi năm ghi nhận khoảng 24.600 ca mới mắc, hơn 10.000 ca tử vong do ung thư vú. Đồng thời, ghi nhận hơn 4.600 ca mắc mới và hơn 2.500 ca tử vong do ung thư cổ tử cung. Hai căn bệnh này là gánh nặng bệnh tật kép ảnh hưởng nặng nề đối với sức khỏe phụ nữ Việt Nam...

Tỷ lệ mang đột biến gen di truyền khá cao ở nhiều loại ung thư
Y tế - 18/07/2025 21:18SKĐS - Theo số liệu của GLOBOCAN 2022, mỗi năm tại Việt Nam ghi nhận 24.563 ca mắc mới ung thư vú với 10.008 ca tử vong; 1.534 ca mắc mới ung thư buồng trứng với 1.003 ca tử vong; 5.875 ca mắc mới ung thư tuyến tiền liệt với 2.800 ca tử vong; và 1.251 ca mắc mới ung thư tụy với 1.226 ca tử vong.

Sau ngập lụt, dịch vụ dọn nhà 'đắt khách'
Xã hội - 08/10/2025 15:23SKĐS - Sau mưa lớn, nước rút, nhiều hộ gia đình ở Hà Nội loay hoay với việc dọn nhà. Nhiều người tìm đến các công ty dọn vệ sinh chuyên nghiệp. Dịch vụ dọn nhà những ngày này trở nên "đắt khách".

Bắt quả tang 2 tàu giã cào bay hoạt động trái phép trên biển
Thời sự - 08/10/2025 15:39SKĐS - Đồn Biên phòng Thanh Hải và Hải Đội 2, Ban Chỉ huy Bộ đội Biên phòng (BĐBP) tỉnh Lâm Đồng đã phát hiện, bắt giữ tàu giã cào hoạt động trái phép.

Nobel 2025: Khi ‘thế giới lượng tử’ trở nên hữu hình
Quốc tế - 08/10/2025 13:51Từ lâu, thế giới lượng tử vẫn được xem là vùng không gian “kỳ lạ” nơi các hạt có thể xuyên qua vật cản, tồn tại ở hai trạng thái cùng lúc và thách thức mọi quy luật trực giác của con người.

Cách kiểm soát tình trạng phù bạch huyết ở bệnh nhân ung thư vú
Sức khỏe sinh sản - 15/07/2025 10:00SKĐS - Phù bạch huyết có thể là biến chứng do điều trị ung thư vú. Những người bị phù bạch huyết nên học cách kiểm soát tình trạng phù nề cũng như ngăn ngừa bệnh tiến triển nặng hơn, tránh ảnh hưởng tới các hoạt động trong cuộc sống.

Bác sĩ hướng dẫn cách giảm thiểu tác dụng phụ khi điều trị ung thư vú
Sức khỏe sinh sản - 08/07/2025 07:25SKĐS - Khi điều trị ung thư vú, bệnh nhân thường e ngại về các tác dụng phụ có thể gặp trong quá trình điều trị, đặc biệt là hoá trị và xạ trị. Vậy người bệnh nên làm gì để giảm thiểu các tác dụng phụ khi điều trị ung thư vú?

Các xét nghiệm cần làm khi có dấu hiệu nghi ngờ mắc ung thư vú
Sức khỏe sinh sản - 03/07/2025 08:15SKĐS - Khi phát hiện bất kỳ dấu hiệu bất thường nào nghi ngờ ung thư vú, cần gặp bác sĩ chuyên khoa sớm để được đánh giá, thực hiện các xét nghiệm chẩn đoán chính xác và có phác đồ điều trị kịp thời.

Những bệnh ung thư nào liên quan đến gen đột biến di truyền?
Tin nóng y tế - 23/06/2025 22:18SKĐS - Ung thư là một trong những nguyên nhân tử vong hàng đầu trên toàn cầu. Bên cạnh các yếu tố nguy cơ từ môi trường sống, một số đột biến gen có thể đã được truyền qua các thế hệ trong gia đình, làm tăng khả năng mắc ung thư.

Cách phát hiện sớm và phương pháp điều trị ung thư vú
Sức khỏe sinh sản - 19/06/2025 08:15SKĐS - Phát hiện sớm ung thư vú giúp tăng hiệu quả điều trị lên mức cao nhất đồng thời giảm mức độ can thiệp điều trị, nâng cao chất lượng sống cho người bệnh. Vậy phụ nữ có thể phát hiện sớm ung thư vú bằng cách nào?

7 yếu tố nguy cơ gây bệnh ung thư vú
Sức khỏe sinh sản - 17/06/2025 08:15SKĐS - Ung thư vú là một bệnh lý phức tạp do nhiều yếu tố gây ra. Từ những hiểu biết về nguy cơ ung thư vú, người ta có thể đề ra những chiến lược phòng bệnh để loại bỏ, hạn chế các yếu tố nguy cơ.
Phòng mạch online
Những bệnh về mắt 'thầm lặng' ở trẻ mà cha mẹ thường bỏ qua
SKĐS - Nhiều bậc phụ huynh thường chỉ đưa con đi khám khi mắt trẻ có các biểu hiện bất thường rõ rệt như lác, sụp mi. Tuy nhiên, có những bệnh lý về mắt nguy hiểm lại diễn tiến âm thầm, không có dấu hiệu bên ngoài, đặc biệt là các tật khúc xạ và bệnh lý đáy mắt.