ung thư khoang miệng

Dấu hiệu điển hình của ung thư khoang miệng ở giai đoạn sớm
Ung thư - 30/06/2025 17:02SKĐS - Ung thư khoang miệng là bệnh ung thư xuất phát từ vùng đầu và cổ. Ung thư xuất phát trong miệng được gọi là ung thư khoang miệng. Ung thư xuất phát ở phần giữa của họng được gọi là ung thư họng miệng.

Chế độ ăn uống tốt nhất cho người bị ung thư khoang miệng
Tra cứu bệnh - 18/09/2024 15:45SKĐS - Bệnh nhân ung thư khoang miệng cần duy trì chế độ ăn uống lành mạnh. Thay đổi chế độ ăn uống là một cách tăng sức đề kháng đối phó lại ung thư. Những người có chế độ ăn uống tốt có thể cải thiện sức khỏe và góp phần mang lại kết quả tích cực từ việc điều trị.

Câu hỏi thường gặp liên quan đến ung thư khoang miệng
Tra cứu bệnh - 05/07/2024 11:06SKĐS - Người mắc ung thư khoang miệng thường sẽ gặp vấn đề tâm lý, ảnh hưởng đến cuộc sống hàng ngày. Người nhà bệnh nhân cần giúp người bệnh có được tâm lý thoải mái, tích cực.

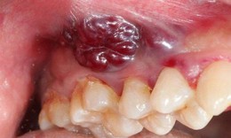
Ung thư khoang miệng: Nguyên nhân, triệu chứng, phòng ngừa và điều trị
Tra cứu bệnh - 04/07/2024 11:24SKĐS - Ở giai đoạn đầu, ung thư khoang miệng không có biểu hiện rõ ràng. Người bệnh thường phát hiện ra ung thư khoang miệng khi đã có khối u xâm lấn hoặc ở giai đoạn muộn.

Các phương pháp điều trị ung thư khoang miệng
Tra cứu bệnh - 21/06/2024 10:19SKĐS - Ung thư khoang miệng là tình trạng xuất hiện các tổn thương ác tính xuất hiện ở vùng khoang miệng bao gồm lưỡi, niêm mạc má, sàn miệng, lợi hàm trên và dưới, khẩu cái, môi...

Bài tập cho người ung thư khoang miệng
Tra cứu bệnh - 09/06/2024 08:59SKĐS - Tập thể dục có thể giúp cải thiện sức khỏe và chất lượng cuộc sống cho người bệnh ung thư nói chung và ung thư khoang miệng nói riêng...

Dấu hiệu cảnh báo ung thư khoang miệng
Ung thư - 08/06/2024 09:09SKĐS - Ung thư khoang miệng là một tổn thương ác tính xuất hiện tại vùng khoang miệng bao gồm: lưỡi, lợi hàm dưới, niêm mạc má, sàn miệng, lợi hàm trên, khẩu cái và môi.

12 câu hỏi thường gặp về bệnh ung thư lưỡi
Tra cứu bệnh - 29/05/2024 10:37SKĐS - Ung thư lưỡi thường gặp nhất trong các ung thư vùng khoang miệng và có xu hướng gia tăng trong những năm gần đây. Dưới đây là những câu hỏi nhiều độc giả quan tâm về căn bệnh này.

Chế độ dinh dưỡng cho người bệnh ung thư lưỡi
Tra cứu bệnh - 28/05/2024 05:58SKĐS - Ung thư lưỡi gây ảnh hưởng nghiêm trọng đến sức khỏe và khả năng ăn uống của người bệnh. Vì vậy, cần phải có biện pháp đảm bảo dinh dưỡng giúp người bệnh duy trì sức khỏe và tăng sức đề kháng.

Môi khô, nứt nẻ, đau rát khó lành cảnh giác với ung thư môi
Ung thư - 04/11/2023 06:41SKĐS - Nếu quanh môi hoặc những vị trí xung quanh miệng xuất hiện các vết loét đau rát, khó lành hãy đi khám vì rất có thể đó là biểu hiện của ung thư môi.

Những người có nguy cơ cao mắc ung thư khoang miệng
Bản tin sức khỏe - 29/03/2023 08:20SKĐS - Ngoài rượu bia, thuốc lá, còn có nhiều yếu tố nguy cơ liên quan đến ung thư khoang miệng như răng giả chất lượng kém, đồ ăn...

Nhiệt miệng và 6 lầm tưởng cần tránh
Y học 360 - 30/05/2022 06:29SKĐS - Nhiệt miệng được đặc trưng bởi các vết loét ở miệng, đau nhiều và dễ tái phát. Bệnh có thể khỏi tự nhiên và cho đến nay chưa có biện pháp điều trị đặc hiệu nào. Chính vì lẽ đó nhiều người hiểu sai và rất lo lắng về căn bệnh này.

Ung thư khoang miệng: Biểu hiện, điều trị và cách chăm sóc đúng
Ung thư - 09/01/2022 07:48SKĐS -Ung thư khoang miệng là căn bệnh thường gặp, gây ảnh hưởng đến nhai nuốt. Đây là bệnh phổ biển chiếm khoảng 30-40% các ung thư của vùng đầu cổ. Do giai đoạn đầu không có biểu hiện rõ ràng nhiều khi nhầm lẫn với các triệu chứng của bệnh lành tính khác như nhiệt miệng.

Các yếu tố nguy cơ gây ung thư miệng
Ung thư - 08/09/2021 07:20SKĐS- Ung thư khoang miệng là bệnh ác tính có thể xuất hiện ở bất kỳ vị trí nào trong khoang miệng như lợi, lưỡi, môi, má, vòm việng, sàn miệng.

Ngoài gan, rượu bia còn gây ra một loạt bệnh ung thư khác
Ung thư - 17/08/2021 16:18SKĐS - Thực tế đời sống hàng ngày là vẫn cần có bia rượu như những hương vị của cuộc sống. Nhưng chúng ta không nên uống quá nhiều đặc biệt là không nên thường xuyên uống bia rượu, vì dễ gây cảm giác nghiện hay phụ thuộc cũng như bệnh tật do bia rượu gây ra.

Tiền điện tử có thể 'mở cánh cửa xuống địa ngục' do thương chiến
Thị trường - 23/10/2025 07:04SKĐS - Thị trường tiền điện tử tiếp tục rơi vào cơn khủng khoảng khi lệnh bán gia tăng trên các sàn giao dịch với giá trị hàng tỷ USD.

11 giờ 'căng não' truy bắt kẻ vác mã tấu chém 2 người trọng thương, bất ngờ nơi lẩn trốn
Pháp luật - 23/10/2025 06:33SKĐS - Chiều 22/10, Công an xã Phú Túc, tỉnh Gia Lai cùng lực lượng nghiệp vụ của Phòng Cảnh sát Hình sự (Công an tỉnh Gia Lai) đã bắt giữ thành công đối tượng Rcom Toai (SN 1997, trú xã Phú Túc). Đây là đối tượng đã có hành vi dùng mã tấu chém 2 người và chống đối lực lượng thi hành công vụ.

Hướng đi mới cho y học từ ca ghép gan lợn chỉnh sửa gene đầu tiên trên người sống
Quốc tế - 23/10/2025 06:41Các bác sĩ phẫu thuật Trung Quốc đã thực hiện thành công ca ghép gan lợn chỉnh sửa gene đầu tiên trên một bệnh nhân sống, đánh dấu bước tiến lớn của y học trong nỗ lực giải quyết tình trạng thiếu hụt nguồn tạng hiến.

Chủ quan với vết loét miệng do nghiện hút thuốc lá, người đàn ông ở Hà Nội tá hoả khi bị ung thư
- 06/03/2019 07:00SKĐS - Thấy miệng có vết loét nhỏ, người đàn ông 60 tuổi ở Hà Nội cứ nghĩ là bị nhiệt nên đã không điều trị gì. Tuy nhiên, khi chỗ loét dày, to lên nhanh và hơi cứng , ông mới đi thăm khám thì bác sĩ cho biết đã bị ung thư khoang miệng giai đoạn 2
Phòng mạch online
Bác sĩ tư vấn dinh dưỡng ở trẻ 3 - 5 tuổi để phát triển toàn diện
SKĐS - Dinh dưỡng ở trẻ 3 - 5 tuổi rất quan trọng vì nó cung cấp năng lượng và các dưỡng chất thiết yếu, giúp trẻ phát triển thể chất và hệ miễn dịch khỏe mạnh, phòng ngừa bệnh tật, hình thành thói quen ăn uống lành mạnh cho tương lai.
PGS.TS. Nguyễn Trọng Hưng
