u tuyến yên

Phẫu thuật đồng thời hai đường mổ 'bóc' khối u tuyến yên đặc biệt hiếm gặp
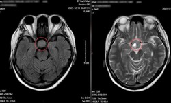
Y tế - 08/04/2025 11:15SKĐS - Bệnh viện Hữu nghị Việt Đức cho biết các bác sĩ của bệnh viện vừa thực hiện thành công ca phẫu thuật phối hợp hai đường tiếp cận hiếm gặp cho trường hợp u tuyến yên kích thước lớn đã xâm lấn sâu, gây chèn ép nhiều cấu trúc quan trọng trong não...