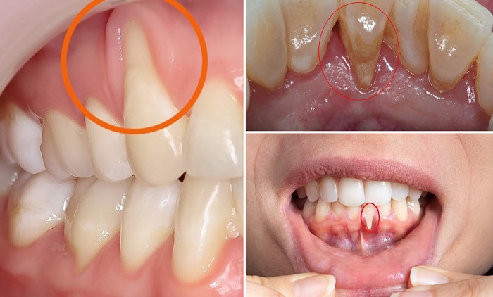
Tụt lợi hay còn gọi là tụt nướu là tình trạng phần nướu bao quanh và bảo vệ chân răng có xu hướng di chuyển xuống cuống răng, khiến cho thân răng bị lộ ra bên ngoài.
Bệnh có thể chỉ xảy ra ở một vài răng nhưng cũng có thể nguyên hàm cả trên và dưới. Hiện tượng này xảy ra sẽ kèm với một số triệu chứng như sưng nướu, chảy máu chân răng, hôi miệng.
Bệnh có thể được chia làm 2 loại khác nhau. Trong đó một là tụt lợi nhìn thấy được, đây là khi phần lợi bị tụt có thể quan sát bằng mắt thường. Còn lại là không nhìn thấy được do lúc này phần tụt được che phủ, chỉ có thể phát hiện bằng máy dò quanh thân răng xem các vị trí bám dính của mô.
Nhiều người cho rằng tụt lợi chỉ gây mất thẩm mỹ, nhưng trên thực tế, đây là dấu hiệu cảnh báo nhiều vấn đề nghiêm trọng liên quan đến răng và mô nha chu.
Nếu không được điều trị kịp thời, tụt lợi có thể dẫn đến hàng loạt biến chứng trong đó thường gặp nhất là:
Ê buốt răng kéo dài
Khi phần chân răng bị lộ ra ngoài, lớp bảo vệ tự nhiên (men răng) không còn che phủ, khiến răng trở nên nhạy cảm hơn với nhiệt độ và thức ăn. Người bệnh thường cảm thấy ê buốt khi ăn đồ nóng, lạnh hoặc chua.
Sâu chân răng
Chân răng mềm hơn men răng nên dễ bị vi khuẩn tấn công. Việc vệ sinh không đúng cách càng làm tăng nguy cơ sâu răng ở vị trí này.
Viêm nha chu
Tụt lợi thường đi kèm với viêm nha chu – một bệnh lý nguy hiểm gây phá hủy cấu trúc nâng đỡ răng. Nếu không kiểm soát, viêm nha chu có thể lan rộng và gây mất răng.
Lung lay răng, mất răng
Khi mô nâng đỡ răng bị tổn thương, răng sẽ dần mất độ chắc chắn, dẫn đến lung lay răng. Ở giai đoạn nặng, tụt lợi có thể khiến răng rụng tự nhiên hoặc buộc phải nhổ bỏ do không còn khả năng phục hồi.

tụt lợi có thể được kiểm soát hoặc cải thiện bằng nhiều phương pháp
Dấu hiệu nhận biết tụt lợi
Tụt lợi thường tiến triển chậm nên dễ bị bỏ qua. Tuy nhiên, người bệnh có thể nhận biết qua một số dấu hiệu điển hình:
- Răng trông dài hơn bình thường
- Nướu bị co rút, lộ chân răng
- Ê buốt khi ăn uống, đặc biệt với đồ nóng, lạnh
- Dễ chảy máu khi đánh răng hoặc dùng chỉ nha khoa
- Hơi thở có mùi hôi dai dẳng
- Cảm giác răng không còn chắc chắn như trước
Việc nhận biết sớm các dấu hiệu này đóng vai trò quan trọng trong việc điều trị hiệu quả và ngăn ngừa biến chứng.
Tụt lợi có thể điều trị được không?
Tùy vào mức độ, tụt lợi có thể được kiểm soát hoặc cải thiện bằng nhiều phương pháp: Điều trị không phẫu thuật; Lấy cao răng, làm sạch mảng bám; Sử dụng thuốc kháng viêm, kháng khuẩn; Hướng dẫn vệ sinh răng miệng đúng cách.
Trong trường hợp nặng, bác sĩ có thể chỉ định ghép nướu hoặc tái tạo mô nha chu để phục hồi phần nướu bị mất. Điều quan trọng là người bệnh cần thăm khám sớm để được tư vấn phương pháp phù hợp, tránh để bệnh tiến triển nặng.
Để bảo vệ nướu và răng, bạn nên duy trì những thói quen sau:
- Vệ sinh răng miệng đúng cách
- Đánh răng ít nhất 2 lần/ngày
- Sử dụng bàn chải lông mềm
- Chải nhẹ nhàng theo chiều dọc, tránh chà xát mạnh
- Dùng chỉ nha khoa và nước súc miệng
- Giúp loại bỏ mảng bám ở những vị trí bàn chải không tới được.
- Khám răng định kỳ Nên kiểm tra răng miệng 6 tháng/lần để phát hiện sớm các vấn đề.
- Hút thuốc không chỉ gây hại cho phổi mà còn làm tăng nguy cơ viêm nha chu và tụt lợi.
- Chế độ ăn uống hợp lý bằng cách bổ sung đủ vitamin C, canxi và các dưỡng chất cần thiết giúp nướu khỏe mạnh.
Tóm lại: Tụt lợi không phải là bệnh nguy hiểm tức thời, nhưng hậu quả lâu dài có thể ảnh hưởng nghiêm trọng đến sức khỏe răng miệng và chất lượng cuộc sống. Nhiều trường hợp mất răng sớm chỉ vì chủ quan với những dấu hiệu ban đầu.
Việc chăm sóc răng miệng đúng cách và thăm khám định kỳ là chìa khóa quan trọng để phòng ngừa tụt lợi cũng như các bệnh lý nha khoa khác. Đừng đợi đến khi răng yếu, lung lay hay đau nhức mới đi khám, bởi lúc đó việc điều trị sẽ trở nên khó khăn và tốn kém hơn rất nhiều.