Thông tin từ Bệnh viện Nhi Trung ương, mỗi năm Bệnh viện đón nhận hàng trăm trường hợp trẻ em các độ tuổi khác nhau mắc viêm mủ màng phổi. Đa phần trẻ đến viện ở giai đoạn muộn do biểu hiện ban đầu của viêm mủ màng phổi là ho và sốt cũng giống như biểu hiện trong các bệnh nhiễm khuẩn hô hấp thông thường.
Viêm mủ màng phổi là gì?
Viêm mủ màng phổi là tình trạng tích mủ trong khoang màng phổi, có thể là mủ thực sự hoặc dịch đục, nâu nhạt.
Viêm mủ màng phổi tiến triển theo 3 giai đoạn:
- Xuất tiết: dịch vô khuẩn có số lượng tế bào ít bắt đầu tích tụ trong khoang màng phổi.
- Tạo mủ và lắng đọng fibrin: xuất hiện mủ với số lượng bạch cầu tăng.
- Tổ chức hóa: tổ chức sợi tăng sinh tạo thành vỏ dày, khoang màng phổi dày đặc dịch xuất tiết và lắng đọng fibrin.

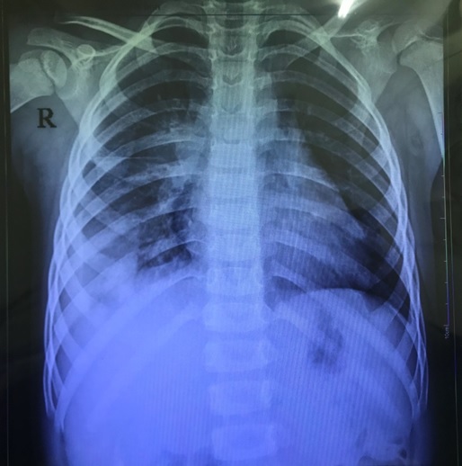
Hình ảnh Xquang phổi của bệnh nhân mắc viêm mủ màng phổi
Chẩn đoán viêm mủ màng phổi
Bệnh nhi được chẩn đoán viêm mủ màng phổi khi có biểu hiện sốt và khó thở, kèm hội chứng ba giảm ở vùng phổi bị tràn dịch: rung thanh giảm, rì rào phế nang giảm và gõ đục. Trẻ nhỏ chỉ có 2 dấu hiệu gõ đục và rì rào phế nang giảm.
Chọc dò màng phổi thấy có mủ. Xét nghiệm máu ngoại biên phát hiện sự gia tăng số lượng bạch cầu nói chung và tỷ lệ bạch cầu đa nhân trung tính nói riêng, tốc độ máu lắng cũng tăng.
Chụp X quang phổi thẳng và nghiêng thấy hình ảnh góc sườn hoành bị tù (mờ nhiều hay ít tuỳ mức độ tràn dịch) hoặc hình ảnh vách hoá khoang màng phổi. Siêu âm khoang màng phổi thấy hình ảnh tràn dịch toàn bộ hay vách hoá tạo thành ổ cặn.
Trong 90% trường hợp, viêm mủ màng phổi khởi đầu bằng biểu hiện ho và sốt, giống như trong các bệnh nhiễm khuẩn hô hấp thông thường. Những triệu chứng không điển hình này khiến việc chẩn đoán bệnh ở giai đoạn đầu trở nên khó khăn. Nhiều gia đình chỉ đưa con đến khám bác sĩ khi khi khoang màng phổi đã có rất nhiều mủ, gây khó khăn cho quá trình điều trị. Để đề phòng tình trạng này, khi trẻ có biểu hiện sốt, ho và khó thở, gia đình nên đưa bé đi khám bác sĩ để có chẩn đoán chính xác và kịp thời.
Biến chứng của viêm mủ màng phổi
- Rò khí quản- màng phổi.
- Áp xe phổi
- Viêm mủ màng ngoài tim
- Viêm xương sườn
- Vẹo cột sống tạm thời
- Nhiễm khuẩn huyết
Viêm mủ màng phổi có chữa khỏi không?
Viêm mủ màng phổi là bệnh lý hoàn toàn có thể điều trị khỏi. Nếu trẻ đến viện sớm, việc điều trị có thể bao gồm dùng kháng sinh hoặc kết hợp kháng sinh với chọc hút dịch mủ bằng kim hoặc dẫn lưu mủ khoang màng phổi.
