Ðứt gân bánh chè là tổn thương gặp phải trong lao động và sinh hoạt hàng ngày. Tuy nhiên, do người bệnh chủ quan, đến khám muộn hoặc do cơ sở y tế chưa đủ điều kiện phẫu thuật, chỉ đến khi không duỗi gối được mới đến bệnh viện (BV) gây khó khăn cho việc điều trị. Các bác sĩ Khoa Chấn thương chỉnh hình II, BV Việt Ðức đã áp dụng kỹ thuật tái tạo gân bánh chè bị đứt đến muộn bằng mảnh ghép gân Hamstrings (gân thon và gân cơ bán gân) tự thân đem lại hiệu quả rất tốt cho bệnh nhân.
Suýt hỏng chân vì chữa không đúng cách
Năm 2006, anh Đoàn Văn T. (40 tuổi, thợ mộc ở Kiến Xương, Thái Bình) trong lần ngã xe, đầu gối đập xuống thềm đá sưng tấy và đau. Anh đi chữa rất nhiều nơi ở Thái Bình, từ đắp thuốc lá, uống thuốc bắc, thuốc nam và cả thuốc tây nhưng cũng chẳng hết sưng đau, thậm chí còn nhức nhối hơn. Có bệnh thì vái tứ phương, anh lại tiếp tục tìm đến các phòng khám ở Thái Bình để tiêm thuốc, hút mủ nhưng dường như chỉ làm mọi việc xấu đi. Trước, khi đau anh còn chống nạng đi được 1 chân, sau cả 2 chân đều không duỗi, không đi được, phải dựa hoàn toàn vào nạng. Những sinh hoạt cá nhân đơn giản giờ phải có người trợ giúp. Nhờ có người chị họ giới thiệu, anh lên khám ở BV Việt Đức, Hà Nội và được các bác sĩ Khoa Chấn thương chỉnh hình (CTCH) II tái tạo gân bánh chè bị đứt bằng gân Hamstrings tự thân. Gần 3 tháng sau khi phẫu thuật kết hợp với các bài tập luyện phục hồi chức năng, anh T. đã duỗi thẳng gối, tự đi lại được không cần nạng. Và đến nay thì hoàn toàn bình thường.
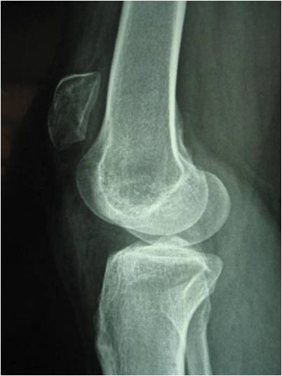
![]() Hình ảnh Xquang xương bánh chè di lệch lên cao. |
Kỹ thuật tái tạo gân với những ưu điểm vượt trội
Theo TS.BS. Nguyễn Mạnh Khánh, Phó trưởng khoa CTCH II, trong đứt gân bánh chè đến muộn, tái tạo gân là chỉ định tuyệt đối. Đây là một tổn thương khó và ít gặp trong chấn thương vùng gối. Từ năm 2005 đến nay, Viện CTCH BV Việt Đức mới chỉ gặp 4 trường hợp. Có nhiều loại vật liệu để dùng tái tạo gân và mỗi loại có những ưu - nhược điểm riêng. Sử dụng gân đồng loại (gân Achilles, gân bánh chè) có ưu điểm là tái tạos được gân bánh chè mới có kích thước đủ lớn, không bị ảnh hưởng sau mổ của việc lấy gân tự thân. Nhược điểm là chi phí phẫu thuật cao, có nguy cơ nhiễm khuẩn, phải dùng thêm các phương tiện để cố định đầu gân vào xương chày. Phương pháp sử dụng gân bánh chè lấy từ bên lành (bao gồm một phần gân tứ đầu, mặt trước xương bánh chè, gân bánh chè cùng với chốt xương ở đầu trên xương chày), sau đó cố định bằng chỉ thép, vít hoặc agrafe đảm bảo được tính cơ sinh học của gân bánh chè nhưng có độ tàn phá lớn và ít nhiều ảnh hưởng đến chân bên lành. Dùng gân Hamstrings (gân thon và gân cơ bán gân) tự thân có duy trì điểm bám khắc phục được hết những nhược điểm này. Mặt khác, ảnh hưởng sau mổ của việc lấy gân không đáng kể, kích thước gân Hamstrings khi chập đôi cũng đủ chịu lực vận động khi duỗi gối.
4 trường hợp bị đứt gân bánh chè đến muộn đã được tái tạo gân bánh chè bằng gân Hamstrings tự thân. Các bác sĩ tiến hành bộc lộ xương bánh chè và vùng tổn thương dưới bánh chè, làm sạch tổ chức xơ dính; sau đó lấy gân Hamstrings (có duy trì điểm bám), đo đường kính của gân và chập đôi. Tiếp đến khoan tạo đường hầm gân trong xương bánh chè (đường kính đường hầm xương phụ thuộc vào kích thước gân Hamstrings đo được); luồn gân mới qua đường hầm xương bánh chè và cố định tại vị trí bám của gân; bất động khớp gối tạm thời bằng chỉ thép. Sau phẫu thuật, bệnh nhân được bột bất động gối ở tư thế duỗi gối 3-4 tuần, sau đó sẽ được tháo bột và chỉ thép. TS. Khánh cũng nhấn mạnh, việc tập luyện, phục hồi chức năng sau mổ rất quan trọng, đóng góp 25 - 30% trong việc lấy lại chức năng gấp, duỗi gối sau phẫu thuật.
Cả 4 bệnh nhân sức khỏe hiện nay đều rất tốt, đi lại, làm việc và sinh hoạt bình thường.
![]() Luồn gân qua đường hầm xương bánh chè và cố định. |
Làm sao để phát hiện sớm?
Lý giải về tình trạng bệnh nhân đến khám khi quá muộn, TS.BS. Nguyễn Mạnh Khánh cho biết: Nguyên nhân gây đứt gân bánh chè là sau chấn thương vùng khớp gối (trực tiếp do đập khớp gối vào vật cứng hoặc gián tiếp do đột ngột gấp duỗi khớp gối quá mức...). Nếu khớp gối không sưng nề nhiều thì người bệnh thường chủ quan, không để ý tới động tác duỗi gối chủ động không thể thực hiện được mà nghĩ là do chấn thương đơn thuần nên người bệnh không đến các cơ sở y tế khám. Do vậy, khi có chấn thương vùng gối mà người bệnh thấy mất động tác duỗi gối chủ động hoặc sau khi điều trị tích cực bằng các thuốc giảm đau, chống viêm, chống phù nề... vẫn không duỗi được chân thì đến các cơ sở chuyên khoa khám để được điều trị sớm.
Một số trường hợp khác có các yếu tố thuận lợi là có tiền sử viêm khớp, viêm khớp dạng thấp, viêm gân bánh chè, bệnh gút hoặc sau tiêm corticoid vào khớp gối (để điều trị thoái hóa khớp...). Do vậy, để đề phòng biến chứng đứt gân bánh chè, nên tránh những động tác gấp duỗi khớp gối đột ngột quá mức ở người bệnh có những yếu tố nguy cơ này.
Mai Linh

