răng hàm mặt

Hai bệnh viện đầu ngành ở TPHCM phối hợp mở Trung tâm Răng Hàm Mặt kỹ thuật cao
Tin nóng y tế - 17/10/2025 17:35SKĐS - Thứ trưởng Bộ Y tế Nguyễn Tri Thức nhận định, Trung tâm Răng Hàm Mặt kỹ thuật cao của BV Thống Nhất phối hợp với Bệnh viện Răng Hàm Mặt TW TPHCM là minh chứng cho sự hợp tác hiệu quả giữa các bệnh viện đầu ngành.

Bệnh nhân đau đầu suốt 30 năm vì răng mọc lạc chỗ trong xoang trán
Bệnh thường gặp - 03/09/2025 06:55SKĐS - Một bệnh nhân nữ 47 tuổi, ở Thanh Hóa được phát hiện có một chiếc răng mọc lạc chỗ trong xoang trán - nguyên nhân gây đau đầu kéo dài suốt hơn 30 năm.

Trưng bày nhiều công nghệ hiện đại chuyên ngành răng hàm mặt tại Triển lãm thành tựu Y tế Việt Nam
Y tế - 26/08/2025 15:57SKĐS - PGS.TS Nguyễn Thị Liên Hương, Thứ trưởng Bộ Y tế đã đến kiểm tra, đôn đốc tiến độ chuẩn bị gian Triển lãm thành tựu Y tế Việt Nam nhân dịp Kỷ niệm 80 năm Ngày Quốc khánh (02/9/1945-02/9/2025).

Muốn cười đẹp đừng bỏ quên nướu: Chăm đúng cách, nướu sẽ hồng!
Khỏe - Đẹp - 10/08/2025 11:00Một nụ cười đẹp không chỉ nhờ vào hàm răng trắng sáng, đều đặn mà còn đến từ vùng nướu (lợi) hồng hào, khỏe mạnh. Thế nhưng, nhiều người lại không để ý đến chi tiết nhỏ nhưng cực kỳ quan trọng này.

Viêm nha chu ở người cao tuổi: 'Rào cản' chất lượng cuộc sống
Khỏe - Đẹp - 06/08/2025 14:00Khi tuổi tác ngày càng cao, sức khỏe răng miệng phải đối mặt với nhiều nguy cơ, không chỉ là viêm nha chu mà còn chịu tác động từ các yếu tố toàn thân như bệnh tiểu đường, việc sử dụng thuốc kháng sinh, thuốc điều trị huyết áp hoặc các bệnh mạn tính khác.

Katana Zirconia - Vật liệu phục hình nha khoa từ Nhật Bản chính thức được phân phối bởi Katana Dental
Y tế - 24/07/2025 10:00Ngày 23/4/2025, Công ty TNHH Phát triển Katana Dental Việt Nam đã chính thức ra mắt với vai trò là đơn vị phân phối chính thức phôi răng sứ Katana Zirconia tại thị trường miền Bắc Việt Nam, được ủy quyền bởi Tập đoàn Kuraray Noritake.

Đại học Y Hà Nội công bố điểm sàn 2025: Y khoa, Răng Hàm Mặt giữ ngưỡng cao
Xã hội - 23/07/2025 18:58SKĐS - Trường Đại học Y Hà Nội vừa chính thức công bố ngưỡng đảm bảo chất lượng đầu vào (điểm sàn) tuyển sinh đại học hệ chính quy năm 2025, dựa trên kết quả thi tốt nghiệp THPT, áp dụng cho 19 ngành đào tạo.

Bệnh viện Răng Hàm Mặt Nghệ An – Nơi gửi gắm niềm tin chăm sóc nụ cười của nhiều gia đình xứ Nghệ
Thời sự - 18/07/2025 07:58Với định hướng phát triển thành địa chỉ chăm sóc răng hàm mặt hàng đầu khu vực, Bệnh viện Răng Hàm Mặt Nghệ An cung cấp đầy đủ các dịch vụ từ cơ bản đến nâng cao, đáp ứng đa dạng nhu cầu điều trị và thẩm mỹ răng miệng cho mọi đối tượng khách hàng.

Hơn 270 thí sinh đầu tiên trúng tuyển Trường Đại học Y Hà Nội năm 2025
Thời sự - 16/07/2025 07:14SKĐS - Trường Đại học Y Hà Nội vừa công bố danh sách 272 thí sinh đầu tiên trúng tuyển có điều kiện diện tuyển thẳng đại học hệ chính quy năm 2025.

Phòng khám đa khoa Quốc tế Ivy Health nhận Giải thưởng 'Thương Hiệu Xuất Sắc Châu Á – Thái Bình Dương 2025'
Y học 360 - 01/07/2025 16:26Ngày 28/6/2025, Phòng khám Đa khoa Quốc tế Ivy Health chính thức được vinh danh tại Lễ trao giải "Thương hiệu Xuất Sắc Châu Á – Thái Bình Dương 2025", đánh dấu năm thứ hai liên tiếp thương hiệu được công nhận tại một trong những giải thưởng uy tín hàng đầu khu vực.

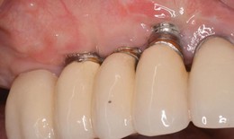
Số hoá trồng răng Implant: Giải pháp hay gánh nặng chi phí?
Khỏe - Đẹp - 01/07/2025 15:49Ứng dụng kỹ thuật số giúp tăng tỷ lệ trồng Implant chính xác tối đa, đặt đúng vị trí từ đầu giúp trụ tích hợp chắc chắn với xương, đạt sự ổn định bền vững, hạn chế nguy cơ làm tổn thương vùng xương trồng răng.

Quảng Bình: Nhiều cơ sở nha khoa không phép đóng cửa đối phó, lén lút hoạt động trở lại
Y tế - 28/06/2025 11:25SKĐS - Nhiều cơ sở nha khoa ở Quảng Bình dù chưa được cấp phép hoạt động vẫn ngang nhiên mở cửa đón khách, tư vấn và thực hiện các dịch vụ điều trị răng miệng. Khi có thông tin kiểm tra, các cơ sở liền tạm thời đóng cửa rồi sau đó lại âm thầm hoạt động trở lại.

Dr. Care - Nha khoa chuyên sâu đạt chuẩn quốc tế về chẩn đoán và điều trị
Khỏe - Đẹp - 25/06/2025 16:07Người Việt ngày càng chú trọng đến sức khỏe răng miệng và thẩm mỹ nụ cười, do đó nhu cầu tìm kiếm những địa chỉ nha khoa chuyên sâu, đảm bảo an toàn, hiệu quả và bền vững cũng không ngừng gia tăng.

Kiến tạo nụ cười phù hợp cho mọi lứa tuổi
Khỏe - Đẹp - 27/05/2025 17:22BS.CK1 Hoàng Văn Đạt không chỉ là một bác sĩ chuyên môn vững vàng, mà còn là người tận tâm đồng hành cùng nụ cười và sức khỏe của biết bao thế hệ, bằng sự thấu hiểu, tinh tế và lòng yêu nghề sâu sắc.

Bệnh viện Răng Hàm Mặt TW TPHCM: Điểm sáng của ngành Răng Hàm Mặt Việt Nam
Tin nóng y tế - 24/05/2025 14:27SKĐS - SKĐS - Qua 45 năm hình thành và phát triển, Bệnh viện Răng Hàm Mặt TW TPHCM đã thực hiện thành công nhiều kỹ thuật tiên tiến, điều trị thành công nhiều ca bệnh phức tạp…Bệnh viện được đánh giá là đơn vị tiên phong ngành Răng Hàm Mặt Việt Nam.

Huế kiểm tra các điểm sạt lở, di dời dân vùng xung yếu đến nơi an toàn
Xã hội - 22/10/2025 21:37SKĐS - Trước diễn biến của mưa bão, lãnh đạo TP Huế trực tiếp kiểm tra các điểm sạt lở, yêu cầu rà soát phương án di dời dân và tăng cường lực lượng ứng trực để đảm bảo an toàn cho nhân dân.

Cảnh báo lừa đảo giả mạo cơ quan thuế
Pháp luật - 22/10/2025 21:19Thời gian gần đây, trên địa bàn tỉnh Gia Lai liên tiếp xảy ra nhiều vụ việc người dân bị kẻ gian lừa đảo chiếm đoạt tài sản thông qua hình thức giả mạo cơ quan thuế, ngân hàng hoặc các tổ chức tài chính.

Ấn Độ chi hơn 1 tỷ USD tăng hỏa lực cho 'lá chắn thép' S-400
Quốc tế - 22/10/2025 16:44SKĐS - Ấn Độ đang lên kế hoạch chi khoảng 100 tỷ rupee (khoảng 1,1 tỷ USD) để mua thêm các loại tên lửa đất đối không, trang bị cho hệ thống phòng không tầm xa S-400 Triumf do Nga sản xuất.

Bệnh viện tuyến tỉnh đầu tiên ứng dụng công nghệ cao trong phẫu thuật tạo hình ổ mắt
Y tế - 10/05/2025 08:25SKĐS - Mới đây, Bệnh viện Đa khoa tỉnh Quảng Ninh đã thực hiện thành công ca phẫu thuật tạo hình thành ổ mắt bằng vật liệu titan ứng dụng công nghệ in mẫu 3D, kết hợp sử dụng hệ thống nội soi và máy chụp C-arm trong mổ.

Implant bị đào thải do đâu? Cách khắc phục?
Khỏe - Đẹp - 08/05/2025 12:00Implant bị đào thải là hiện tượng trụ implant không tích hợp với xương hàm, gây viêm nhiễm, đây là dấu hiệu cho thấy ca cấy ghép thất bại. Vậy, Implant bị đào thải là do đâu?

Ứng dụng trí tuệ nhân tạo trong nha khoa: Đưa công nghệ chăm sóc răng miệng đến gần hơn với cộng đồng
Khỏe - Đẹp - 07/05/2025 09:00Trí tuệ nhân tạo (AI) đã tác động mạnh mẽ và ngày càng có nhiều ứng dụng trong cuộc sống. Không ngoại lệ, những năm gần đây, sự tiến bộ của trí tuệ nhân tạo đã được ứng dụng trong lĩnh vực nha khoa giúp bác sĩ chẩn đoán, xử lý nhanh, chính xác hơn các vấn đề liên quan đến sức khỏe răng miệng.

Nước bọt: 'Siêu anh hùng' thầm lặng bảo vệ sức khỏe răng miệng
Khỏe - Đẹp - 05/05/2025 18:09Nước bọt là thành phần không thể thiếu trong khoang miệng, chứa các chất quan trọng mà cơ thể cần để tiêu hóa thức ăn cũng như bảo vệ sức khỏe răng miệng. Các bác sĩ khuyến cáo, cần vệ sinh chăm sóc răng miệng mỗi ngày để bảo vệ tuyến nước bọt khỏe mạnh cũng là cách bảo vệ cơ thể trước các nguy cơ bệnh tật.

Răng sữa: Tạm thời hay 'nền tảng quan trọng' mà mẹ chưa biết?
Y học 360 - 14/04/2025 15:08Nhiều cha mẹ vẫn cho rằng răng sữa chỉ là "tạm thời", chỉ vệ sinh qua loa cho trẻ hoặc để trẻ tự làm sạch. Thực tế, theo bác sĩ Răng Hàm Mặt, răng sữa đóng vai trò quan trọng không kém gì răng vĩnh viễn, tác động trực tiếp đến sự phát triển thể chất, khả năng giao tiếp, và sức khỏe răng miệng suốt đời của trẻ.

Dr.Hải Lê 17 năm Sứ mệnh từ tâm - Mang đến vẻ đẹp hoàn mỹ
Khỏe - Đẹp - 10/04/2025 14:47Trong suốt 17 năm hình thành và phát triển, từ một cơ sở nhỏ nay đã trở thành hệ sinh thái y tế thẩm mỹ "Dr.Hải Lê Med Group" với sứ mệnh từ tâm, mang đến vẻ đẹp hoàn mỹ cho hàng triệu tín đồ làm đẹp trong và ngoài nước.
Phòng mạch online
Bác sĩ tư vấn dinh dưỡng ở trẻ 3 - 5 tuổi để phát triển toàn diện
SKĐS - Dinh dưỡng ở trẻ 3 - 5 tuổi rất quan trọng vì nó cung cấp năng lượng và các dưỡng chất thiết yếu, giúp trẻ phát triển thể chất và hệ miễn dịch khỏe mạnh, phòng ngừa bệnh tật, hình thành thói quen ăn uống lành mạnh cho tương lai.
PGS.TS. Nguyễn Trọng Hưng
