niềng răng

5 loại thực phẩm nên kiêng khi niềng răng
Cảnh giác thực phẩm - 04/10/2025 06:08SKĐS - Niềng răng là một quá trình đòi hỏi sự kiên nhẫn và chăm sóc đặc biệt để đạt được kết quả mong muốn. Việc kiêng một số thực phẩm nhất định có thể giúp bảo vệ các thiết bị chỉnh nha, đồng thời duy trì sức khỏe răng miệng tốt.

Đi tái khám, nữ sinh sững sờ khi thấy phòng khám niềng răng đã 'biến mất'
Khỏe - Đẹp - 29/07/2025 11:16Đi tái khám, N sững sờ vì phòng nha đã "biến mất", biển hiệu cũng không còn. Gõ cửa hỏi thì chủ nhà thông báo phòng nha đã chấm dứt hợp đồng thuê nhà.

Lý do khiến trẻ bị nhiệt miệng và cách khắc phục
Bệnh trẻ em - 20/05/2025 14:14SKĐS - Nhiệt miệng là căn bệnh khá phổ biến có thể xuất hiện ở mọi lứa tuổi, đặc biệt là ở trẻ em. Mặc dù nhiệt miệng không gây nguy hiểm lớn và có thể tự khỏi sau một thời gian bị bệnh, tuy nhiên vết loét do nhiệt miệng lại gây ra cảm giác đau đớn, khó chịu khiến trẻ chán ăn.

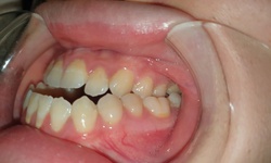
Người phụ nữ ‘sốc’ nặng vì sau 2 năm niềng răng phát hiện chân răng bật ra khỏi xương
Y tế - 19/05/2025 15:31SKĐS - Chị B.T.T. (35 tuổi, Hà Nội) từng nghĩ rằng việc niềng răng rất đơn giản, tuy nhiên sau khoảng 2 năm niềng răng, chị đã vô cùng thất vọng và bản thân chị đã phải trải qua một ca phẫu thuật lại.

Tại sao cao răng gây hôi miệng và cách phòng tránh mảng bám cao răng
Bệnh thường gặp - 17/05/2025 10:51SKĐS - Cao răng là những mảng bám ố vàng ở các kẽ chân răng hình thành từ những cặn thức ăn đọng lại, lâu ngày cao răng tích tụ quá nhiều sẽ hình thành nên vi khuẩn và bị vôi hóa, cứng lại bám chắc ở mép lợi hoặc bề mặt của răng.

Một số lưu ý khi niềng răng để hàm răng luôn trắng khoẻ
Thẩm mỹ - 05/02/2025 09:00SKĐS - Trong quá trình niềng răng, việc chăm sóc răng miệng trở nên quan trọng hơn bao giờ hết để đảm bảo răng luôn trắng khỏe. Nếu không đúng cách, người niềng răng có thể gặp phải các vấn đề như sâu răng, viêm nướu hoặc răng bị xỉn màu.

Niềng răng đúng để có nụ cười khỏe mạnh, thẩm mỹ
Khỏe - Đẹp - 27/11/2024 09:39Có một hàm răng khỏe, một nụ cười tự tin không chỉ giúp chúng ta giao tiếp tự nhiên mà còn là biểu tượng của sức khỏe. Với các sai lệch khớp cắn làm mất thẩm mỹ và ảnh hưởng chức năng ăn nhai, niềng răng đã trở thành giải pháp phổ biến và hiệu quả.

Hiếm gặp: Răng mọc lạc chỗ trong sàn mũi ở trẻ
Y tế - 07/11/2024 21:21SKĐS - Hơn 1 năm nay, cháu Dương (4 tuổi, ở huyện Yên Dũng, tỉnh Bắc Giang) hay chảy máu cam và thường xuyên bị ngạt mũi. Gia đình cho đi khám ở phòng khám gần nhà nhưng bé không khỏi.

Nội soi gây mê cứu bé gái nuốt dị vật niềng răng khi uống nước
Y tế - 25/10/2024 15:27SKĐS - Bệnh nhi 11 tuổi ở Hải Phòng trong lúc uống nước đã vô tình nuốt phải dị vật dùng để cố định hàm sau niềng răng và được các bác sĩ Bệnh viện Trẻ em Hải Phòng nội soi gây mê, gặp bỏ dị vật thành công.

Có nên sử dụng khay trong suốt để chỉnh nha cho trẻ em?
Bệnh thường gặp - 17/10/2024 11:01SKĐS - Khay trong suốt niềng răng là khay được thiết kế cho từng người bệnh. Khay trong suốt giúp di chuyển răng vào vị trí mong muốn một cách nhẹ nhàng, hạn chế sự khó chịu trong quá trình điều trị.

Niềng răng mắc cài kim loại có mấy loại? Nên chọn loại nào tốt?
Khỏe - Đẹp - 16/09/2024 17:28Niềng răng mắc cài kim loại là phương pháp chỉnh nha phổ biến, hiệu quả và được nhiều người tin dùng. Tuy nhiên, với nhiều loại hình khác nhau, bạn cần cân nhắc kỹ để lựa chọn được phương pháp tốt nhất.

Các phương pháp điều trị lệch khớp cắn
Tra cứu bệnh - 07/09/2024 15:37SKĐS - Lệch khớp cắn có thể ảnh hưởng nhiều đến sức khỏe như sang chấn khớp thái dương hàm, giảm chức năng ăn nhai, phát âm và tạo điều kiện cho một số bệnh răng miệng phát triển. Để điều trị lệch khớp cắn có nhiều phương pháp được áp dụng và đã mang lại hiệu quả.

Những dấu hiệu phải "chạy ngay" khi khám chuẩn bị niềng răng
Khỏe - Đẹp - 02/08/2024 19:00Niềng răng là một quyết định quan trọng, ảnh hưởng trực tiếp đến sức khỏe răng miệng và thẩm mỹ của nụ cười. Tuy nhiên, không phải nha sĩ hoặc phòng khám nào cũng đáng tin cậy và đủ chuyên môn để thực hiện quy trình này một cách an toàn và hiệu quả.

Niềng răng vệ sinh thế nào cho đúng cách?
Bệnh thường gặp - 25/06/2024 15:47SKĐS - Khi đang niềng răng, thức ăn rất dễ bị mắc lại dưới mắc cài, dây cung, tạo điều kiện thuận lợi để hình thành mảng bám gây viêm lợi, sâu răng, hôi miệng... Cần vệ sinh răng như thế nào cho đúng cách?

Chuyên gia chỉ điểm những lợi ích “không tưởng” của niềng răng sớm
Y học 360 - 18/05/2024 08:00Bác sĩ Vũ Đức Tùng khuyến cáo các bố mẹ nên đưa con đi khám răng sớm từ 6-7 tuổi để hạn chế những nguy cơ nhổ răng, phẫu thuật răng sau này.

Mưa lũ tại Bắc Ninh: Ghi nhận ban đầu về thiệt hại và sự cố đê điều
Xã hội - 08/10/2025 10:37Mưa to kết hợp lũ tại thượng nguồn làm ngập úng tại nhiều địa phương, xảy ra một số sự cố đê điều, công trình thủy lợi, bước đầu gây thiệt hại về người và của trên địa bàn tỉnh Bắc Ninh.

Sáng 8/10: Mức án mà kẻ sát nhân máu lạnh bắn tử vong 3 người ở Đồng Nai có thể phải đối mặt
Pháp luật - 08/10/2025 06:33SKĐS - Với hành vi man rợ, sát hại nhiều người, cướp tài sản, dùng súng nguy hiểm, hung thủ vụ thảm sát 3 người ở Đồng Nai gây rúng động dư luận có thể phải đối diện với mức án cao nhất.

Mỹ cân nhắc cung cấp loại vũ khí uy lực mà Ukraine khao khát nhất?
Quốc tế - 08/10/2025 10:37SKĐS - Mỹ đang cân nhắc khả năng cung cấp tên lửa hành trình Tomahawk cho Ukraine, một trong những loại vũ khí tấn công tầm xa uy lực nhất của Washington.

Niềng răng có gây hại gì không?
Thẩm mỹ - 30/04/2024 06:52SKĐS - Niềng răng là lựa chọn tốt nếu răng không đều nhưng nhiều người lo lắng sẽ gây tổn thương răng. Trên thực tế, chỉ cần bạn làm theo hướng dẫn của bác sĩ thì tác động của việc đeo niềng răng đến răng sẽ được giảm thiểu tối đa.

Độ tuổi nào phù hợp nhất để chỉnh nha?
Thẩm mỹ - 14/01/2024 14:08SKĐS - Chỉnh nha là phương pháp điều chỉnh răng về đúng vị trí khuôn hàm, điều chỉnh khớp cắn chuẩn, giúp răng thẳng đều, từ đó cải thiện diện mạo khuôn mặt và sức khỏe răng miệng.

Trí tuệ nhân tạo: Sức mạnh đằng sau việc biết trước kết quả niềng răng!
Y học 360 - 08/12/2023 11:13Niềng răng X-Matrix sử dụng trí tuệ nhân tạo cho phép biết trước kết quả chính xác tới 99.9% đã giúp giải quyết các vấn đề mà niềng răng truyền thống không làm được.

Nên chọn niềng răng mắc cài kim loại hay sứ?
Khỏe - Đẹp - 28/11/2023 08:16Niềng răng là một trong những phương pháp chỉnh nha hiệu quả, giúp cải thiện tình trạng răng hô, răng móm, răng khấp khểnh, răng thưa, răng sai lệch … Niềng răng mắc cài sứ và kim loại là hai loại mắc cài phổ biến hiện nay, nhưng chúng có những ưu và nhược điểm gì? Loại nào tốt hơn?

Niềng răng trong suốt và niềng răng mắc cài: nên chọn phương pháp nào?
Khỏe - Đẹp - 28/10/2023 14:26Hầu hết mọi người đều cho rằng nụ cười rất quan trọng đối với diện mạo tổng thể của một cá nhân. Vì vậy, để có được hàm răng khỏe đẹp và đều đặn, nhiều người đã tìm đến phương pháp chỉnh nha. Trong đó, hai phương pháp niềng phổ biến được nhiều người sử dụng là niềng răng mắc cài và niềng răng trong suốt.

Cách chăm sóc răng miệng cho trẻ trong thời gian niềng răng
Thẩm mỹ - 12/08/2023 06:51SKĐS – Trong quá trình niềng răng, nếu không chăm sóc đúng cách có thể khiến trẻ mắc một số bệnh lý răng miệng như hôi miệng, viêm nướu, sâu răng...
Phòng mạch online
Những bệnh về mắt 'thầm lặng' ở trẻ mà cha mẹ thường bỏ qua
SKĐS - Nhiều bậc phụ huynh thường chỉ đưa con đi khám khi mắt trẻ có các biểu hiện bất thường rõ rệt như lác, sụp mi. Tuy nhiên, có những bệnh lý về mắt nguy hiểm lại diễn tiến âm thầm, không có dấu hiệu bên ngoài, đặc biệt là các tật khúc xạ và bệnh lý đáy mắt.