Răng chen chúc, sai khớp cắn nặng – nguyên nhân âm thầm gây đau đầu mãn tính
Từng bị đau đầu mãn tính, ăn uống khó khăn, giao tiếp thiếu tự tin chỉ vì răng chen chúc nặng, sai khớp cắn, TikToker Nhật Hào đã trải qua hành trình niềng răng khoảng hơn một năm. Kết quả không chỉ là nụ cười đều đẹp mà còn là sự "giải thoát" khỏi những cơn đau âm ỉ đeo đẳng.
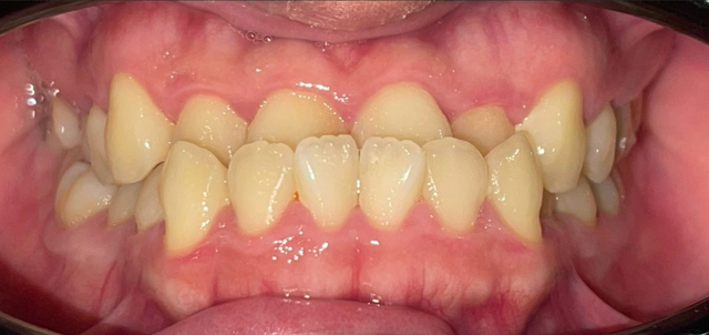
Trước khi tiến hành niềng răng, Nhật Hào gặp phải tình trạng răng chen chúc nghiêm trọng ở cả hai hàm kèm khớp cắn ngược hạng 3 (móm). Hàm dưới của Hào đưa ra quá nhiều khiến khuôn mặt lệch, việc ăn nhai rất khó khăn. Mỗi khi nhai đồ cứng, Hào thường cảm thấy rất đau vùng thái dương. Điều đáng sợ hơn là những cơn đau đầu âm ỉ kéo dài.

Nhật Hào kể, ban đầu cậu nghĩ do thiếu ngủ hoặc stress, nhưng những cơn đau ngày càng xuất hiện nhiều hơn, nhất là sau mỗi sáng thức dậy. Đi khám nhiều chuyên khoa từ thần kinh, tai mũi họng đến nội tổng quát nhưng đều không phát hiện ra nguyên nhân.
Khi đi khám răng, bác sĩ mới xác định Hào bị rối loạn khớp thái dương hàm do sai khớp cắn nặng và đây cũng là nguyên nhân khiến cho cậu bị đau đầu thời gian dài. Nhật Hào đã quyết định niềng răng. Gần một năm chỉnh nha, hàm răng của Hào đã được đưa về đúng vị trí. Từ khuôn mặt bị móm và lệch, nay đường nét đã hài hòa, nụ cười tự nhiên và rạng rỡ hơn. Điều quan trọng nhất là Hào đã cải thiện đáng kể triệu chứng đau đầu.

"Niềng răng không chỉ giúp tôi có nụ cười đẹp mà tôi tự tin hơn. Sau vài tháng niềng, kỳ lạ là những cơn đau đầu của tôi giảm hẳn. Việc ăn uống, nhai nuốt cũng dễ dàng hơn, không còn thấy đau thái dương" Hào nói.
Bác sĩ Nguyễn Khương Minh - Hệ thống Nha khoa Tấm Dentist cho biết, tình trạng răng chen chúc, khớp cắn ngược (móm) hoặc khớp cắn hở như trường hợp của Nhật Hào không chỉ ảnh hưởng đến thẩm mỹ mà còn tiềm ẩn nhiều nguy cơ sức khỏe nghiêm trọng nếu không được can thiệp kịp thời. Răng chen chúc lộn xộn tạo ra nhiều kẽ hở khiến việc vệ sinh răng miệng khó khăn. Đây là môi trường lý tưởng cho vi khuẩn phát triển, gây sâu răng và các bệnh về nướu (viêm nha chu).

Bác sĩ Nguyễn Khương Minh - Hệ thống Nha khoa Tấm Dentist.
Sai khớp cắn còn khiến lực nhai phân bố không đều, ảnh hưởng việc ăn nhai. Lâu dài, khớp cắn ngược gây áp lực lên thái dương hàm, dẫn tới đau đầu, mỏi hàm. Nhiều trường hợp răng chen chúc, sai khớp cắn bị đau đầu đều nghĩ là do các bệnh lý khác mà không phải từ vấn đề về răng. Sau khi khám nội, khám thần kinh, khám não… loại trừ hết mới nghĩ tới khám răng. Khi đi khám mới phát hiện những dấu hiệu sai lệch của khớp cắn và điều trị chỉnh nha đã giảm đau đầu.
"Khớp không đúng vị trí gây mòn khớp, dính khớp, hoại tử khớp, thậm chí khiến khả năng há miệng hạn chế và cần phải phẫu thuật. Ngoài ra, khi không được cải thiện sớm còn ảnh hưởng đến sức khỏe toàn thân. Ví dụ về tiêu hóa, chức năng ăn nhai kém hiệu quả do răng không đều khiến thức ăn không được nghiền nát, gây áp lực lên hệ tiêu hóa. Bởi răng miệng là cửa ngõ đầu tiên của hệ tiêu hóa" – BS Minh nói.
BS Minh chia sẻ thêm, việc vệ sinh răng miệng khó từ răng chen chúc, sai khớp cắn dễ tạo vôi răng (còn gọi cao răng). Đã có nghiên cứu chỉ ra, vôi răng còn liên quan đến nguy cơ đột quỵ vì vôi răng chứa nhiều vi khuẩn. Khi nướu bị viêm, vi khuẩn có thể xâm nhập vào máu, tạo ra các cục máu đông nhỏ. Những cục máu đông này có thể di chuyển bám vào thành mạch, tích tụ lâu ngày gây tắc nghẽn mạch máu, làm tăng nguy cơ đột quỵ lên đến 60% so với người có sức khỏe răng miệng tốt.
Niềng răng – giải pháp toàn diện cho sức khỏe
Bác sĩ cho biết, niềng răng không chỉ sắp xếp lại các răng cho đều đẹp và khớp cắn chuẩn mà còn phòng ngừa bệnh lý. Việc đưa khớp cắn về đúng vị trí chuẩn, răng đều giúp cho việc vệ sinh trở nên dễ dàng hơn, giảm nguy cơ mắc các bệnh lý về răng miệng như sâu răng, hôi miệng, viêm nha chu… Đặc biệt, khi khớp cắn đúng vị trí giúp lực nhai được phân bổ đều, giảm đáng kể nguy cơ đau đầu, mỏi hàm, ăn uống ngon miệng và dễ dàng hơn.

Theo bác sĩ Nguyễn Khương Minh - Hệ thống Nha khoa Tấm Dentist: niềng răng trước tiên là để điều chỉnh các sai lệch trong cấu trúc răng và khớp cắn rồi sau đó mới nói tới vấn đề về thẩm mỹ.
"Độ tuổi lý tưởng để chỉnh nha là từ 8–16 tuổi, khi xương hàm còn đang phát triển. Tuy nhiên, người trưởng thành vẫn hoàn toàn có thể niềng và đạt hiệu quả tốt, chỉ cần kiên trì và tuân thủ hướng dẫn của bác sĩ" - bác sĩ Minh khuyên.
Việc niềng răng nên được xem là một khoản đầu tư cho sức khỏe toàn diện chứ không đơn thuần là thẩm mỹ. Một hàm răng khỏe mạnh, đều đặn là nền tảng cho một hệ tiêu hóa tốt và góp phần giảm thiểu các nguy cơ bệnh tật toàn thân. Theo bác sĩ, mọi người cần thực hiện thăm khám nha khoa định kỳ để được tư vấn và can thiệp sớm nhất có thể.
Để chăm sóc răng miệng đúng cách khi niềng răng, mọi người cần lưu ý chải răng đúng cách: Chải răng ít nhất 3 lần/ngày, mỗi lần tối thiểu 3 phút với bàn chải mềm, xoay tròn nhẹ để làm sạch cả răng và các kẽ mắc cài. Đồng thời, kết hợp dùng các công cụ hỗ trợ như bàn chải kẽ, máy tăm nước, và chỉ nha khoa để loại bỏ hoàn toàn mảng bám ở những nơi bàn chải thường không tới được.
Một điều quan trọng cần lưu ý là tái khám và lấy cao răng định kỳ 3-6 tháng/lần là rất cần thiết để đảm bảo sức khỏe răng miệng trong suốt quá trình niềng.
Với một số trường hợp hệ nước bọt nhiều quá sẽ gây tích tụ vôi răng rất nhanh. Mà như đã nói, vôi răng là một trong những yếu tố gây bệnh viêm nha chu. Những trường hợp này nên dành thời gian tái khám dày hơn để loại bỏ sạch cao răng.
Cùng với đó, trong chế độ ăn uống cũng cần phải lưu ý phải thay đổi. Với những người có cơ địa dễ hình thành vôi răng (do tuyến nước bọt nhiều khoáng) nên tăng cường ăn chất xơ và cân đối lại các thực phẩm quá giàu canxi, giàu đạm, nước khoáng…, hạn chế đồ ngọt, thực phẩm quá cứng.
Tấm Dentist