Bệnh nhân là nữ, 44 tuổi, trú tại Hà Nội, đến khám tại Khoa Mắt vì tình trạng nhìn mờ, giảm thị lực kéo dài nhiều tháng. Đáng chú ý, người bệnh không có biểu hiện đau nhức mắt hay triệu chứng cấp tính, nên chủ quan và chậm đi khám.

Bệnh nhân thăm khám tại Khoa Mắt - Bệnh viện Bạch Mai
Qua thăm khám ban đầu bằng bảng thị lực nhìn xa, các bác sĩ nhận thấy người bệnh chỉ đọc được các chữ phía mũi, trong khi hoàn toàn không nhìn thấy phần bảng chữ phía thái dương. Đây là dấu hiệu gợi ý tình trạng khuyết thị trường do tổn thương thần kinh thị giác.
Kết quả đo thị trường cho thấy bệnh nhân bị khuyết hoàn toàn nửa thị trường phía thái dương ở cả hai mắt (khuyết thị trường hai bên). Hình ảnh chụp đáy mắt ghi nhận đĩa thị bạc màu, biểu hiện của tổn thương thần kinh thị giác kéo dài, cho thấy các tế bào thần kinh đã bị ảnh hưởng trong thời gian dài.

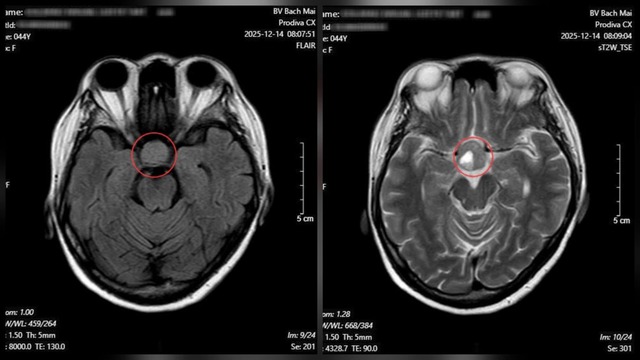
Kết quả chụp cộng hưởng từ (MRI) sọ não cho thấy một khối u tuyến yên kích thước lớn.
Theo các bác sĩ, đây là triệu chứng điển hình của các bệnh lý chèn ép giao thoa thị giác, vùng bắt chéo của dây thần kinh thị giác tại nền sọ. Trong số các nguyên nhân, u tuyến yên là bệnh lý thường gặp nhất.
Từ những dấu hiệu nghi ngờ, bệnh nhân được chỉ định chụp cộng hưởng từ (MRI) sọ não. Kết quả cho thấy một khối u tuyến yên kích thước lớn (macroadenoma), đo được 26 × 21 mm. Ngay sau đó, người bệnh được chuyển sang chuyên khoa Phẫu thuật Thần kinh để tư vấn điều trị và lên kế hoạch phẫu thuật nhằm tránh các biến chứng nặng nề hơn.
Các bác sĩ cũng lưu ý, một số bệnh lý nguy hiểm có thể biểu hiện sớm qua các dấu hiệu ở mắt như: nhìn mờ, giảm thị lực không rõ nguyên nhân; thu hẹp tầm nhìn (khuyết thị trường); thay đổi cảm nhận màu sắc; nhìn mờ, nhìn tối tăng dần theo thời gian.
Đặc biệt, khuyết thị trường thường tiến triển âm thầm, người bệnh rất khó tự nhận biết, chỉ phát hiện khi tình trạng đã ở giai đoạn muộn. Trường hợp trên là ví dụ điển hình khi bệnh nhân chỉ đi khám lúc thị trường hai mắt đã khuyết hoàn toàn, ảnh hưởng nghiêm trọng đến sinh hoạt và chất lượng cuộc sống.
Các bác sĩ khuyến cáo, người dân không nên chủ quan với tình trạng nhìn mờ kéo dài, dù không kèm đau nhức. Việc khám mắt định kỳ, nhất là khi có cảm giác "nhìn vẫn rõ nhưng như thiếu một phần tầm nhìn", là rất cần thiết. Trong những trường hợp nghi ngờ, các thăm dò chuyên sâu như đo thị trường có vai trò quan trọng trong phát hiện sớm bất thường.
