người lớn tuổi

5 mẹo thay đổi trong dinh dưỡng giúp người cao tuổi lão hóa khỏe mạnh
Dinh dưỡng người cao tuổi - 30/09/2025 15:00SKĐS - Với người cao tuổi, cơ thể có những thay đổi đáng kể: quá trình trao đổi chất chậm lại, khối cơ giảm (teo cơ do tuổi tác), cảm giác thèm ăn giảm và khả năng hấp thụ một số chất dinh dưỡng cũng kém đi. Do đó, việc điều chỉnh chế độ ăn có thể giúp người cao tuổi duy trì sức khỏe và kéo dài tuổi thọ.

Nâng cao nhận thức về bệnh zona ở người lớn tuổi
Y học 360 - 28/02/2025 07:44Bệnh zona có thể gây đau, khó chịu do cơn đau dây thần kinh dữ dội. Tuổi càng lớn, nguy cơ nhiễm bệnh zona càng cao do hệ miễn dịch suy giảm. Hiểu được điều này giúp người lớn tuổi cần phòng tránh phù hợp.

Cơ tim phì đại: Nguyên nhân, biểu hiện, cách điều trị và phòng bệnh
Tra cứu bệnh - 13/02/2025 16:05SKĐS - Bệnh cơ tim phì đại là một tình trạng cơ tim bất thường. Nó dẫn đến việc tim không thể co bóp hiệu quả để đẩy máu lưu thông hiệu quả, làm ảnh hưởng đến nhịp tim và có thể gây ra rối loạn nhịp tim.

Gia tăng bệnh nhân mắc viêm mũi xoang, đến 70% là viêm mũi dị ứng
Y tế - 14/12/2024 17:24SKĐS - Theo các bác sĩ, số lượng bệnh nhân mũi xoang hiện nay có xu hướng gia tăng do liên quan nhiều đến yếu tố khí hậu, môi trường.

Lắng nghe cơ thể để sớm nhận biết vấn đề cơ xương khớp
Y học 360 - 03/10/2024 19:04Xương tạo nên hình dạng cho cơ thể mỗi người, bảo vệ các cơ quan và lưu trữ các khoáng chất như canxi. Cơ gắn kết với xương thông qua các gân, giúp tạo ra chuyển động khi cơ co bóp hoặc giãn nở.

Giải mã 5 lầm tưởng về dinh dưỡng cho người cao tuổi
Dinh dưỡng - 01/10/2024 06:06SKĐS - Có một số lầm tưởng thường gặp về chăm sóc dinh dưỡng cho người cao tuổi mà nhiều người tin theo. Các chuyên gia cho biết, chế độ dinh dưỡng dành cho người cao tuổi có nhiều khác biệt so với các đối tượng khác do người lớn tuổi thường ít vận động so với thời trẻ.

Chế độ ăn cho người suy tĩnh mạch chân
Tra cứu bệnh - 17/09/2024 09:55SKĐS – Đối với người suy tĩnh mạch chân (hay còn gọi là suy tĩnh mạch nông chi dưới), chế độ ăn uống đóng vai trò rất quan trọng bên cạnh các phương pháp điều trị. Do đó, người bệnh cần chú ý lựa chọn thực phẩm phù hợp để cải thiện sức khỏe.

Thuốc điều trị bệnh suy tĩnh mạch chân
Tra cứu bệnh - 15/09/2024 07:22SKĐS - Suy tĩnh mạch chân (hay còn gọi là suy tĩnh mạch nông chi dưới) là bệnh thường gặp của hệ thống tĩnh mạch, đặc biệt ở người lớn tuổi, nhưng cũng có thể gặp ở người trẻ tuổi. Vậy thuốc nào được dùng để điều trị và khi nào cần dùng thuốc?

Chế độ ăn cho người bệnh teo dây thần kinh thị giác
Tra cứu bệnh - 23/08/2024 15:11SKĐS - Thị giác là giác quan quan trọng nhất trong năm giác quan của cơ thể. Sức khoẻ mắt đi song song với sức khoẻ nói chung, vì thế cần có một chế độ dinh dưỡng đặc biệt dành cho mắt.

Bệnh teo dây thần kinh thị giác: Nguyên nhân, triệu chứng, điều trị và cách phòng bệnh
Tra cứu bệnh - 21/08/2024 17:34SKĐS - Teo dây thần kinh thị giác là bệnh lý tổn thương mắt, suy giảm thị lực và khả năng phân biệt màu sắc kém. Bệnh có thể xảy ra ở bất kỳ ai và gây biến chứng mù lòa vĩnh viễn nếu không điều trị kịp thời, đúng cách.

Gợi ý món quà sức khỏe gửi tặng ba mẹ dịp Vu Lan báo hiếu
Khỏe - Đẹp - 10/08/2024 14:00Mùa Vu Lan cận kề, bạn đang tìm một món quà tặng với ý nghĩa mong muốn ba mẹ luôn vui vẻ, khỏe mạnh đồng thời gắn kết tình cảm giữa các thành viên trong gia đình? Vậy thì đừng bỏ qua gợi ý dưới đây nhé!

Gìn giữ sức khỏe cha mẹ để có thêm nhiều Vu Lan
Khỏe - Đẹp - 09/08/2024 18:16Khi đã trưởng thành, không gì may mắn hơn việc cha mẹ luôn khỏe mạnh bởi cha mẹ là "gia tài" vô giá của mỗi người con. Tuy vậy, chức năng hệ miễn dịch ngày càng suy giảm theo quá trình lão hóa, khiến cha mẹ lớn tuổi có nguy cơ nhiễm bệnh cao hơn.

Trân trọng sức khỏe để tận hưởng cuộc sống chất lượng
Khỏe - Đẹp - 05/08/2024 16:00Lão hoá là một quá trình tự nhiên, nhưng việc chủ động chăm sóc bản thân sẽ giúp mỗi người duy trì sức khoẻ tốt để có cuộc sống chất lượng.

6 dấu hiệu ở khớp gối cần đi khám ngay
Bệnh thường gặp - 25/07/2024 11:41SKĐS - Đau khớp gối là triệu chứng cảnh báo khớp gối của bạn đang gặp vấn đề, có thể do chấn thương hay bệnh lý xương khớp. Bệnh nếu không được phát hiện và chữa trị kịp thời sẽ ảnh hưởng đến sinh hoạt của người bệnh.

5 lầm tưởng về sỏi thận nhiều người mắc
Bệnh thường gặp - 20/06/2024 16:54SKĐS - Sỏi thận "thầm lặng", không gây triệu chứng, thường được phát hiện khi chụp X-quang hoặc siêu âm trong quá trình khám sức khỏe.

Xe Mercedes cháy rụi trên phố Nguyễn Hoàng, Hà Nội
Xã hội - 11/10/2025 22:51SKĐS - Tối 11/10, xảy ra vụ cháy xe ô tô nhãn hiệu Mercedestrên phố Nguyễn Hoàng, Hà Nội.

Hai nam thanh niên táo tợn gây ra hàng loạt vụ cướp tài sản trong đêm ở Hải Phòng
Pháp luật - 11/10/2025 19:31SKĐS - Theo lời khai, từ 28/9 đến 5/10, các đối tượng đã gây ra 5 vụ cướp giật khác cùng trên địa bàn TP Hải Phòng. Đáng chú ý, 2 đối tượng liều lĩnh, manh động và gây nguy hiểm cho nạn nhân cũng như những người tham gia giao thông.

Nhóm nghiên cứu gốc Việt giải mã thực vật tạo ra chất chống ung thư
Quốc tế - 11/10/2025 07:05Các nhà nghiên cứu gốc Việt đã giải mã cơ chế thực vật tạo ra mitraphylline, một hợp chất tự nhiên hiếm có khả năng chống ung thư và kháng viêm mạnh mẽ.

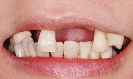
Rụng răng ở người già có phòng ngừa được không?
Bệnh thường gặp - 17/06/2024 14:29SKĐS - Rụng răng ở người già có nhiều nguyên nhân. Càng lớn tuổi, răng càng gặp phải tình trạng lung lay, rụng răng, mất răng vĩnh viễn. Có thể ngăn ngừa tình trạng này được không?

Lão hóa lành mạnh ở người lớn tuổi: Hãy bắt đầu từ việc chăm sóc tiêu hóa
Dinh dưỡng - 20/05/2024 12:23Lão hóa có thể khiến nhiều bộ phận trong cơ thể của con người suy giảm, đồng thời tăng tình trạng suy dinh dưỡng. Để có hệ tiêu hóa khỏe mạnh, bạn cần chú ý bổ sung những dưỡng chất cần thiết và xây dựng chế độ ăn uống khoa học mỗi ngày.

VTV và Vinamilk đưa người lớn tuổi đến những buổi hẹn cùng thanh xuân
Văn hóa – Giải trí - 18/10/2023 12:54Với thông điệp "Tuổi tác chỉ ở con số, thanh xuân mãi trong tim mỗi người", chương trình "Có Hẹn Cùng Thanh Xuân" hứa hẹn sẽ là show truyền hình thực tế "ăn khách" ngay khi ra mắt vào 22/10 tới.

Trao món quà sức khoẻ, gửi yêu thương đong đầy mùa Vu Lan
Khỏe - Đẹp - 29/08/2023 15:47Mùa Vu Lan đến là dịp để những người con bày tỏ tình cảm đến đấng sinh thành. Dù cuộc sống hiện đại mang đến nhiều lựa chọn quà tặng khác nhau, nhưng sự quan tâm và chăm sóc sức khỏe cha mẹ chính là món quà ý nghĩa để giúp người lớn tuổi tận hưởng thời gian viên mãn cùng con cháu.

Gần 600 y bác sĩ dự hội thảo nâng cao kiến thức dinh dưỡng miễn dịch người lớn tại Nghệ An
Xã hội - 01/07/2023 12:07SKĐS - Hội thảo với sự tham gia của gần 600 y, bác sĩ đầu ngành cùng cán bộ y tế khối cơ sở mang đến nhiều kiến thức cập nhật và hữu ích nhất về các vấn đề sức khỏe của người lớn tuổi.

Hãy chủ động phòng ngừa đột quỵ ngay hôm nay!
Y học 360 - 27/06/2023 10:00Đột quỵ xảy ra không chọn thời gian, không chọn không gian. Cách duy nhất để tránh khỏi những mất mát về con người hay biến chứng nặng nề mà đột quỵ để lại đó là phòng ngừa đột quỵ ngay hôm nay!
Phòng mạch online
6 nhóm chất nên bổ sung để tránh rụng tóc
SKĐS - Tóc rụng nhiều, yếu và dễ gãy không chỉ do yếu tố bên ngoài mà còn bởi cơ thể thiếu hụt dinh dưỡng. Bổ sung đúng 6 nhóm chất dưới đây sẽ giúp nuôi dưỡng tóc chắc khỏe, giảm gãy rụng và kích thích mọc tóc tự nhiên.