Vừa qua, Bệnh viện Đa khoa tỉnh Quảng Ngãi cho biết đã cứu chữa thành công bệnh nhân N.V.Đ (18 tuổi, trú tại huyện đảo Lý Sơn, Quảng Ngãi). Khi nhập viện ngày 8/11, bệnh nhân được ghi nhận khó thở, đau tức ngực dữ dội, da tím tái. Ngay khi tiếp nhận, ê-kíp cấp cứu đã kích hoạt quy trình "báo động đỏ" do nghi ngờ bệnh nhân bị nhồi máu cơ tim cấp.
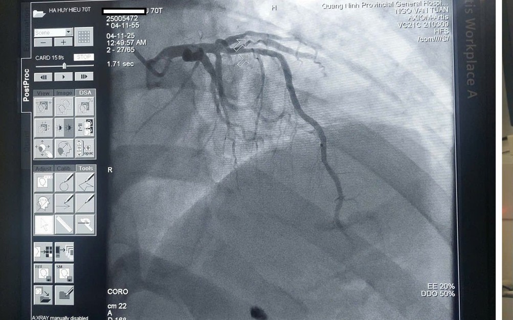
Kết quả chụp mạch vành cho thấy bệnh nhân bị tắc mạch ngay vị trí xuất phát của động mạch liên thất trước – đây là một trong hai động mạch chính cung cấp máu nuôi tim. Qua hội chẩn, các bác sĩ xác định bệnh nhân bị nhồi máu cơ tim cấp và nhanh chóng tiến hành can thiệp nong bóng, đặt stent tái thông mạch vành. Nhờ được cấp cứu kịp thời trong "thời gian vàng", bệnh nhân đã qua cơn nguy kịch và hiện sức khỏe ổn định.
Thông thường, nhồi máu cơ tim nếu không được can thiệp kịp thời có thể dẫn đến loạn nhịp tim, suy tim, thậm chí tử vong. Trường hợp của bệnh nhân Đ. là một ví dụ điển hình cho việc phát hiện sớm và xử trí nhanh có thể cứu sống người bệnh và ngăn ngừa biến chứng nguy hiểm.

Đau ngực là triệu chứng đặc trưng nhất
Nguyên nhân đáng lo ngại gây nhồi máu cơ tim ở người trẻ tuổi
Nhồi máu cơ tim là tình trạng dòng máu đến một phần cơ tim bị giảm hoặc ngừng hoàn toàn do cục máu đông gây tắc nghẽn động mạch vành. Đây là biến cố tim mạch nghiêm trọng, khiến một phần cơ tim bị hoại tử do thiếu máu nuôi.
Ở người trẻ, bệnh thường bắt nguồn từ lối sống thiếu lành mạnh và áp lực tâm lý kéo dài. Một số nguyên nhân phổ biến gồm:
- Hút thuốc lá, lạm dụng rượu bia.
- Chế độ ăn uống không khoa học, nhiều chất béo xấu.
- Thừa cân – béo phì, ít vận động.
- Căng thẳng, stress kéo dài.
Hiện nay, nhiều người trẻ phải đối mặt với áp lực công việc, học tập, tài chính và các mối quan hệ, dẫn đến tình trạng stress mạn tính. Khi cơ thể căng thẳng, hormone cortisol và adrenaline tăng cao, gây co mạch, tăng huyết áp, từ đó làm tăng nguy cơ thiếu máu cơ tim và nhồi máu cơ tim.
Ngoài ra, rối loạn giấc ngủ cũng là yếu tố nguy cơ đáng kể. Ngủ không đủ giấc, giấc ngủ kém chất lượng, thường xuyên tỉnh giấc giữa đêm khiến cơ thể mệt mỏi, làm rối loạn hoạt động thần kinh tim mạch, từ đó làm tăng khả năng xảy ra các biến cố tim.
Bên cạnh các yếu tố từ lối sống, nguyên nhân sinh học và di truyền cũng góp phần quan trọng:
- Tiền sử gia đình: Nếu cha mẹ hoặc anh chị em ruột bị nhồi máu cơ tim trước 50 tuổi, nguy cơ mắc bệnh ở thế hệ sau rất cao.
- Rối loạn lipid máu: Mức cholesterol "xấu" (LDL) cao và cholesterol "tốt" (HDL) thấp làm tăng hình thành mảng xơ vữa trong động mạch, cản trở lưu thông máu.
- Bệnh tiểu đường type 2: Người trẻ bị tiểu đường dễ bị xơ vữa và tổn thương mạch vành, ngay cả khi chưa có triệu chứng tim mạch rõ ràng.
- Tăng huyết áp: Làm tăng áp lực lên thành động mạch, khiến chúng dễ tổn thương, hình thành cục máu đông – nguyên nhân trực tiếp gây tắc mạch vành.
Dấu hiệu nhận biết nhồi máu cơ tim ở người trẻ
Ở người trẻ tuổi, dấu hiệu nhồi máu cơ tim đôi khi không điển hình, dễ bị nhầm với các bệnh lý khác như rối loạn tiêu hóa, đau cơ, hay lo âu. Việc nhận biết sớm các triệu chứng là yếu tố sống còn giúp tăng cơ hội cứu chữa.
Các triệu chứng phổ biến gồm:
- Đau ngực: Là triệu chứng đặc trưng nhất. Cơn đau thường ở giữa ngực, cảm giác bị đè nặng hoặc bóp nghẹt, có thể lan ra vai, cổ, hàm, lưng hoặc tay trái. Cơn đau kéo dài vài phút hoặc xuất hiện từng đợt.
- Khó thở: Cảm giác hụt hơi, thở gấp ngay cả khi nghỉ ngơi. Nguyên nhân là do tim không bơm đủ máu, khiến cơ thể thiếu oxy.
- Buồn nôn, nôn, chán ăn – thường gặp ở nữ giới.
- Chóng mặt, choáng váng hoặc ngất xỉu – do máu lên não giảm.
- Đổ mồ hôi lạnh – mồ hôi ra nhiều, dù không vận động hay thời tiết mát mẻ, là dấu hiệu tim đang bị thiếu oxy nghiêm trọng.
Lưu ý: Nếu bạn hoặc người thân xuất hiện các dấu hiệu trên, đặc biệt là đau ngực kéo dài trên 15 phút, hãy gọi cấp cứu ngay lập tức để được can thiệp kịp thời, tránh biến chứng nguy hiểm.
Người trẻ cần làm gì để phòng tránh nhồi máu cơ tim?
Để phòng ngừa hiệu quả, điều quan trọng nhất là duy trì lối sống lành mạnh và kiểm tra sức khỏe định kỳ, cụ thể:
- Không hút thuốc lá, thuốc lào.
- Giữ cân nặng hợp lý, tránh béo phì.
- Ăn uống lành mạnh: Giảm chất béo bão hòa, tăng rau xanh, trái cây, ngũ cốc nguyên hạt.
- Tập thể dục thường xuyên: Ít nhất 30 phút mỗi ngày, 5 ngày/tuần.
- Hạn chế rượu bia, chất kích thích.
- Giữ tinh thần thoải mái, tránh căng thẳng kéo dài.
- Khám sức khỏe định kỳ 1–2 lần/năm, đặc biệt nếu có yếu tố nguy cơ như tăng huyết áp, mỡ máu, tiểu đường hoặc tiền sử gia đình mắc bệnh tim mạch.
- Kiểm tra sức khỏe định kỳ là việc làm cần thiết để phát hiện sớm các yếu tố nguy cơ, từ đó có hướng điều chỉnh và điều trị kịp thời, giúp phòng ngừa nhồi máu cơ tim cũng như nhiều bệnh lý khác.
Tóm lại: Nhồi máu cơ tim là bệnh lý nguy hiểm và có thể xảy ra với bất kỳ ai, kể cả người trẻ. Vì vậy, giới trẻ cần chủ động chăm sóc sức khỏe tim mạch, nhận biết sớm dấu hiệu bất thường và thay đổi lối sống tích cực để bảo vệ trái tim của mình.