mạch vành

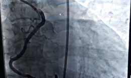
Bệnh viện ĐK TP Vinh triển khai thành công kỹ thuật can thiệp Tim – Mạch
Y học 360 - 24/05/2025 11:51SKĐS - Trong nỗ lực mang đến giải pháp y tế tiên tiến cho người dân miền Trung, Bệnh viện Đa khoa TP Vinh đã ghi dấu ấn quan trọng khi trở thành đơn vị tuyến huyện đầu tiên ở Nghệ An triển khai thành công kỹ thuật can thiệp tim mạch qua hệ thống chụp DSA 2 bình diện hiện đại.

Thuốc điều trị suy mạch vành
Thông tin dược học - 24/04/2020 12:39SKĐS - Suy mạch vành (hay thiếu máu cơ tim hoặc thiếu máu cục bộ cơ tim) được xác định khi tuần hoàn vành không đảm bảo cung cấp đầy đủ oxy theo nhu cầu chuyển hoá của cơ tim. Nếu suy động mạch vành không được điều trị sẽ dẫn tới những nguy hiểm như nhồi máu cơ tim, đột tử... Vậy có những thuốc nào dùng thuốc trong trường hợp này?

Đặc điểm đau ngực do bệnh mạch vành
Phòng mạch online - 18/02/2020 07:16SKĐS - Xin cho biết các điểm đặc trưng của triệu chứng đau ngực do bệnh mạch vành để phân biệt đau ngực do nguyên nhân khác và khi bị nhồi máu cơ tim?

Người phụ nữ ở Hà Nội nhập viện cấp cứu vì ăn thực dưỡng gạo lứt muối vừng 41 ngày
Camera bệnh viện - 12/11/2019 07:13SKĐS - Sau khi áp dụng phương pháp ăn thực dưỡng chỉ gạo lứt và muối mè theo “bác sĩ Google” trong thời gian 41 ngày, người phụ nữ 61 tuổi đã phải nhập viện cấp cứu trong tình trạng ngừng tuần hoàn, nối loạn natri, kali....

Bác sĩ cảnh báo thức khuya, ăn uống không lành mạnh dễ mắc căn bệnh nguy hiểm này
Tin nóng y tế - 13/10/2019 06:00SKĐS - Chế độ ăn uống, sinh hoạt không lành mạnh, thức quá khuya, uống quá nhiều rượu, tuổi cao cũng có thể dẫn tới bệnh động mạch vành - chuyên gia tim mạch cảnh báo. Đây là căn bệnh nguy hiểm nhưng ngày nay với sự tiến bộ của y học, bệnh động mạch vành được chẩn đoán sớm và mang lại hiệu quả cao trong phát hiện, phòng ngừa và xử trí bệnh.

Đau thắt ngực trái, khó thở là biểu hiện của bệnh gì?
Y học 360 - 18/09/2019 17:00SKĐS - Trước đây, khi bị đau ngực khó thở thì hầu hết mọi người đều nghĩ sẽ liên quan đến tim.

Bác sĩ tim mạch lưu ý cách dùng thuốc tim mạch an toàn
Tin nóng y tế - 07/03/2019 13:01SKĐS - Thuốc điều trị bệnh tim mạch là những loại thuốc tác động đến hoạt động của tim và mạch máu để điều hòa hoạt động của tim cũng như chống co thắt mạch máu.

Can thiệp thành công ca bệnh có động mạch vành nhiều bất thường hiếm gặp
Thành tựu y khoa - 13/11/2018 07:09SKĐS - Ngày 12/11/2018, BS Nguyễn Văn Tân, Phó trưởng Khoa Tim mạch can thiệp - Cấp cứu, Bệnh viện Thống Nhất TP Hồ Chí Minh cho biết: Trong đợt chuyển giao kỹ thuật cho Đơn nguyên Tim mạch can thiệp cho Bệnh viện Đa khoa Phú Yên ông và các đồng nghiệp ở đây đã can thiệp thành công cho một bệnh nhân có động mạch vành phải xuất phát bất thường.

Tầm soát bệnh mạch vành
Bệnh thường gặp - 07/06/2018 19:03SKĐS - Bệnh mạch vành là một trong những bệnh thường gặp nhất và là nguyên nhân hàng đầu gây tử vong trên thế giới. Chính vì vậy, việc nhận biết sớm và phòng ngừa là hết sức cần thiết để chống lại căn bệnh nguy hiểm này.

Bệnh động mạch vành: Điều gì xảy ra nếu bạn bị bệnh mạch vành?
Bệnh thường gặp - 10/04/2018 10:27SKĐS - Để hoạt động, trái tim cần có năng lượng và oxy máu đưa đến qua các động mạch vành. Bệnh động mạch vành xảy ra khi một hoặc nhiều động mạch vành bị tắc nghẽn một phần bởi các mảng xơ vữa động mạch. Đau thắt ngực có thể xảy ra khi động mạch vành bị hẹp hơn 50%.

Tăng cường bồi dưỡng nghiệp vụ về phòng, chống tham nhũng, lãng phí, tiêu cực tại cơ sở y tế
Xã hội - 21/10/2025 15:26SKĐS - Hà Nội là địa phương đầu tiên của khu vực miền Bắc triển khai lớp Bồi dưỡng nghiệp vụ chuyên sâu về phòng, chống tham nhũng, lãng phí, tiêu cực tại cơ sở y tế.

Nhóm 'quái xế' chặn xe, xịt hơi cay tấn công người đi đường ở Hải Phòng ra đầu thú
Pháp luật - 21/10/2025 15:31SKĐS - Nhóm thanh niên điều khiển mô tô chặn, ép xe, dùng bình xịt hơi cay tấn công người đi đường, đã tự ra đầu thú sau khi được công an phường Thủy Nguyên (Hải Phòng) vận động.

Máy bay Boeing 737 của Mỹ chở 140 người va trúng vật thể bí ẩn giữa không trung
Quốc tế - 21/10/2025 06:45Một vật thể không xác định đã làm vỡ kính chắn gió chiếc Boeing 737 MAX 8 của hãng hàng không United Airlines (Mỹ), khiến cơ trưởng bị thương.