Bao lâu nên lấy cao răng một lần?
Cao răng (hay còn gọi là vôi răng) thực chất là các mảng bám, mảnh vụn thức ăn còn sót lại trong khoang miệng, thường tích tụ ở kẽ răng và chân răng.
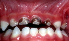
Theo thời gian, dưới tác động của vi khuẩn, những mảnh vụn này bị vôi hóa, lắng đọng thành lớp cặn cứng bám chặt ở thân răng và nướu. Cao răng có thể có màu trắng đục, vàng nâu hoặc đen, không chỉ gây mất thẩm mỹ mà còn ảnh hưởng nghiêm trọng đến sức khỏe răng miệng.
Thời gian tích tụ càng lâu thì cao răng càng dày và sậm màu, là nguyên nhân dẫn đến nhiều bệnh lý như: chảy máu chân răng, tụt nướu, hôi miệng, mòn men răng, viêm nha chu, viêm tủy răng, sâu răng, viêm niêm mạc miệng, viêm amidan...
Cao răng bám rất chắc vào bề mặt răng, không thể làm sạch bằng bàn chải thông thường mà cần được loại bỏ bằng dụng cụ chuyên dụng. Các chuyên gia nha khoa khuyến cáo nên lấy cao răng định kỳ 3 – 6 tháng/lần để tránh các biến chứng nêu trên.
Tuy nhiên, khoảng thời gian này chỉ mang tính khuyến nghị chung. Tùy vào cấu trúc răng, thói quen ăn uống và cách vệ sinh răng miệng của mỗi người mà tốc độ hình thành cao răng có thể khác nhau. Một số người nên lấy cao răng thường xuyên hơn gồm:
- Người thường xuyên sử dụng chất kích thích như thuốc lá, bia rượu, cà phê... khiến cao răng hình thành nhanh và nhiều.
- Người có men răng sần sùi, tạo điều kiện cho cao răng dễ bám và tích tụ ở thân răng, nướu răng.
Khi nào không nên lấy cao răng?
Mặc dù việc lấy cao răng mang lại nhiều lợi ích, song không nên lạm dụng thực hiện quá thường xuyên. Việc sử dụng sóng siêu âm và lực cơ học mạnh có thể gây tổn thương răng và nướu, đặc biệt nếu các lần lấy cao răng diễn ra quá gần nhau, khiến răng không có thời gian "nghỉ".
Người bệnh có thể gặp các triệu chứng như đau nhức, ê buốt, răng nhạy cảm hoặc thậm chí lung lay răng. Ngoài ra, một số trường hợp không nên hoặc cần tạm hoãn việc lấy cao răng, bao gồm:
- Người đang bị viêm nướu, viêm nha chu cấp, viêm nướu hoại tử lở loét cấp tính.
- Người không há miệng được, há miệng quá nhỏ hoặc đau nhiều khi há miệng lớn.
- Người không hợp tác, có thói quen thở miệng hoặc không thể thở bằng mũi.
- Người mắc bệnh lý tắc nghẽn đường hô hấp trên, không thể thở qua mũi.
- Người bị viêm tủy cấp, không thể chịu được nước lạnh hoặc độ rung của đầu lấy cao răng.
- Người bị đái tháo đường có biến chứng nha chu nặng, hoặc người mắc bệnh lây truyền qua đường nước bọt như quai bị cũng không nên lấy cao răng.
- Người bị rối loạn đông máu, hoặc mắc các bệnh lý thần kinh cơ không kiểm soát được (như động kinh, co giật cơ...) ... những trường hợp này việc lấy cao răng có thể tiềm ẩn nguy cơ cho sức khỏe.
Chăm sóc răng miệng đúng cách để phòng ngừa cao răng
Mặc dù cao răng không phải là vấn đề quá nghiêm trọng, song nó không chỉ làm giảm tính thẩm mỹ mà còn gây hôi miệng, khiến người bệnh mất tự tin khi giao tiếp. Hơn nữa, cao răng còn là "nơi trú ngụ" của vi khuẩn, làm tăng nguy cơ mắc các bệnh răng miệng.

Việc lấy cao răng được khuyến cáo nên thực hiện định kỳ 3 – 6 tháng/lần để tránh những tác hại do cao răng gây ra.
Để bảo vệ sức khỏe răng miệng và hạn chế hình thành cao răng, cần lưu ý:
- Chọn bàn chải lông mềm, kích thước phù hợp và kem đánh răng có chứa Fluor.
- Hạn chế sử dụng tăm xỉa răng vì dễ gây tổn thương nướu; nên dùng chỉ tơ nha khoa để loại bỏ thức ăn thừa.
- Chải răng ít nhất 2 lần/ngày và kết hợp sử dụng nước súc miệng hoặc nước muối loãng.
- Thăm khám và kiểm tra răng định kỳ 6 tháng/lần, đồng thời lấy cao răng ít nhất 2 lần/năm. Khi có dấu hiệu bất thường như đau, sưng nướu hoặc chảy máu, cần đi khám bác sĩ sớm để được xử lý kịp thời.
Ngoài việc vệ sinh răng miệng, chế độ ăn uống cũng đóng vai trò quan trọng trong việc phòng ngừa cao răng:
- Hạn chế thức uống có gas, đồ ăn nhiều dầu mỡ.
- Tránh ăn thực phẩm quá nóng hoặc quá lạnh, đặc biệt với người có răng nhạy cảm hoặc men răng yếu.
- Hạn chế thực phẩm có chất tạo màu, dễ bám răng như kẹo dẻo, socola, bánh quy...
- Duy trì chế độ ăn uống khoa học, hạn chế đường và tinh bột – hai yếu tố dễ tạo mảng bám.
Tóm lại, lấy cao răng đúng cách và đúng thời điểm là biện pháp quan trọng để bảo vệ sức khỏe răng miệng. Tuy nhiên, cần lưu ý không lạm dụng, tuân thủ hướng dẫn của bác sĩ nha khoa và kết hợp với chế độ chăm sóc – ăn uống hợp lý để duy trì hàm răng khỏe đẹp lâu dài.
