Người nhà bệnh nhi N.C.K. (14 tuổi, trú tại Hà Đông) cho biết, em đã thấy nuốt vướng một bên họng, khó chịu trong thời gian dài nhưng không nói với gia đình.
Trong một lần đi khám răng, bác sĩ nha khoa đã phát hiện khối bất thường ở vùng amiđan trái. Gia đình sau đó đã đưa em đi khám chuyên khoa Tai Mũi Họng.
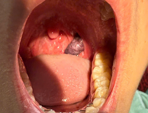
Tại Bệnh viện Đa khoa Hà Đông, các bác sĩ ghi nhận ở hốc amiđan trái có khối màu tím sẫm, mềm, có cuống, di động. Khối này không sùi loét, ấn không đau. Amiđan phải hoàn toàn bình thường.

Hốc mổ sau khi cắt khối u và amiđan bên trái bằng dao Ligasure.
Các bác sĩ chẩn đoán ban đầu đây là khối u dạng u máu ở amidan trái. Kết quả chụp cắt lớp vi tính (CLVT) hệ thống mạch cảnh cho thấy khối u này nghi là u máu, được cấp máu từ tĩnh mạch cảnh trong bên trái.
Do khối u có thể to dần và chảy máu bất kỳ lúc nào, bệnh viện đã hội chẩn với chuyên gia từ Bệnh viện K. Kết luận xác định đây là u máu amiđan trái, thuộc dạng dị dạng mạch máu lành tính nhưng có thể gây biến chứng nguy hiểm nếu không xử trí sớm.
Các bác sĩ Khoa Tai Mũi Họng nhanh chóng lên kế hoạch phẫu thuật cắt amiđan trái cùng khối u bằng dao Ligasure. Đây là thiết bị tiên tiến giúp giảm tổn thương mô và hạn chế chảy máu trong và sau mổ. Khối u cùng amiđan được gửi đi làm giải phẫu bệnh để xác định chính xác bản chất.

Hình ảnh khối u của bệnh nhi.
Sau phẫu thuật, bệnh nhi được theo dõi sát sao. Vết mổ tiến triển tốt, không chảy máu, ít đau, bệnh nhân ăn uống được và hồi phục nhanh.
Sau 5 ngày điều trị, bệnh nhi được ra viện trong tình trạng ổn định, sinh hoạt bình thường.
BSCKII Nguyễn Anh Dũng – Trưởng khoa Tai Mũi Họng, Bệnh viện Đa khoa Hà Đông chia sẻ, u máu amiđan là một dạng dị dạng mạch máu lành tính, không phải u ác tính. Bệnh thường phát triển chậm, ít triệu chứng ở giai đoạn đầu và dễ bị bỏ qua.
Tuy nhiên, khi khối u lớn, người bệnh có thể gặp các biến chứng nguy hiểm như: Chảy máu tái diễn hoặc chảy máu nhiều gây thiếu máu; Khó nuốt, khó thở do khối u chèn ép; Khối u lan rộng, làm phẫu thuật phức tạp hơn.
Bác sĩ Dũng khuyến cáo:
Khi có các biểu hiện như nuốt vướng, nuốt đau, khạc ra máu, ngủ ngáy to bất thường hoặc cảm giác nghẹn họng kéo dài, người dân cần đi khám Tai Mũi Họng sớm để được chẩn đoán và điều trị kịp thời. Phát hiện sớm giúp điều trị đơn giản, ít biến chứng và hạn chế nguy cơ chảy máu nguy hiểm.

