lấy dị vật

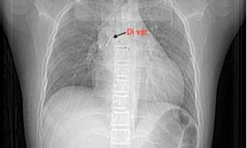
Vừa xem tivi vừa chơi, bé 13 tuổi nuốt đinh ghim vào đường thở
Camera bệnh viện - 22/10/2025 16:04SKĐS - Trong lúc vừa xem tivi vừa ngậm chiếc đinh ghim bảng, bé P (13 tuổi ở Hà Nội) không may mắc luôn dị vật này trong đường thở. Gia đình lập tức dưa trẻ tới cơ sở y tế để lấy dị vật.

Nam thanh niên tự nhét ống cao su dài khoảng 1m vào bàng quang
Y tế - 09/09/2025 11:02SKĐS - Các bác sĩ Khoa Ngoại Tiết niệu, Bệnh viện Đa khoa tỉnh Thanh Hóa vừa xử trí thành công một trường hợp hi hữu nhét dị vật vào niệu đạo trôi xuống bàng quang.

Uống viên thuốc còn nguyên vỏ cứng, người đàn ông bị tổn thương thực quản
Y tế - 12/08/2025 18:49SKĐS - Do sơ suất trong khi uống thuốc, bệnh nhân đã vô tình uống cả viên thuốc còn vỏ cứng được cắt ra từ vỉ thuốc. Ngay sau đó, người bệnh xuất hiện nuốt đau, nuốt nghẹn, nuốt vướng nhiều ở vùng ngực.

Phát hoảng đỉa rừng dài 4cm chui sâu trong hốc mũi bé gái 9 tuổi
Y tế - 07/08/2025 10:25SKĐS - Thấy khó thở nhẹ, chảy máu mũi trái kéo dài nhiều ngày, bé gái 9 tuổi được người nhà đưa đến bệnh viện thăm khám. Quá trình khám lâm sàng, bác sĩ phát hiện một con đỉa rừng đang cư trú sâu, bám chặt vào niêm mạc gây tổn thương...

Năm con ve chó ký sinh nhiều ngày trong tai bé 9 tuổi
Camera bệnh viện - 24/07/2025 17:50SKĐS - Cháu bé được đưa đến viện thăm khám sau nhiều ngày có triệu chứng bất thường ở vùng tai. Quá trình thăm khám, bác sĩ phát hiện nhiều ve chó sống ký sinh trong tai bệnh nhi.

Cô gái 25 tuổi bị kéo nhọn đâm xuyên não
Y tế - 22/06/2025 13:50SKĐS - Mới đây, một cô gái 25 tuổi ở Quảng Ninh không may bị kéo nhọn đâm xuyên não, sau đó người nhà chuyển đến bệnh viện cấp cứu và may mắn được bác sĩ cứu sống.

Người phụ nữ bị biến chứng sau phẫu thuật thẩm mỹ tạo má lúm đồng tiền
Y tế - 02/06/2025 19:42SKĐS - Trung tâm Phẫu thuật Tạo hình Thẩm mỹ - Chăm sóc da, Bệnh viện Đa khoa tỉnh Thanh Hóa vừa tiếp nhận, điều trị thành công cho bệnh nhân nữ bị biến chứng nhiễm trùng áp xe sau khi phẫu thuật tạo má lúm đồng tiền tại cơ sở làm đẹp không uy tín.

Hải Phòng: Bệnh viện Trẻ em gắp thành công dị vật kim loại dài 3cm ở bé gái 12 tháng tuổi
Y tế - 31/05/2025 14:57Các bác sĩ Bệnh viện Trẻ em Hải Phòng vừa xử lý thành công một trường hợp hóc dị vật hiếm gặp ở trẻ nhỏ. Một đoạn dây kim loại dài khoảng 3cm cắm sâu trong vùng đáy lưỡi của bệnh nhi 12 tháng tuổi.

Cứu sống bệnh nhân bị xương cá đâm thủng ruột thừa hiếm gặp
Camera bệnh viện - 22/05/2025 13:30SKĐS - Nam bệnh nhân 46 tuổi, trú tại huyện Đô Lương (Nghệ An), nhập viện trong tình trạng đau bụng dữ dội. Các bác sĩ đã nhanh chóng phẫu thuật, phát hiện dị vật nghi là xương cá đâm xuyên ruột thừa, gây viêm phúc mạc — một trường hợp hiếm gặp, có thể đe dọa tính mạng nếu không xử lý kịp thời.

Nhiều bệnh nhân bị thủng nội tạng do nuốt dị vật
Y tế - 22/05/2025 13:29SKĐS - Trong 3 ngày qua (19, 20, 21/5) các bác sĩ khoa Ngoại Tổng hợp - Bệnh viện Bãi Cháy (Quảng Ninh) liên tiếp phẫu thuật cấp cứu, điều trị cho những trường hợp bị thủng nội tạng do nuốt phải dị vật. Những dị vật này có hình dạng giống xương cá.

Sơ ý uống luôn vỏ thuốc, bệnh nhân được nội soi khẩn cấp tại Bệnh viện Thuận Mỹ ITO Đồng Nai
Y tế - 14/05/2025 15:40Vừa qua, Bệnh viện Thuận Mỹ ITO Đồng Nai – Thành viên Tập đoàn Y Khoa Hoàn Mỹ đã tiếp nhận và xử trí thành công trường hợp một nam bệnh nhân tên Đ.H.M. (37 tuổi, ngụ tại Biên Hòa, Đồng Nai) vô tình nuốt luôn cả vỏ thuốc sau khi uống thuốc.

Thực hiện ca mổ khó lấy dị vật trong ruột non bệnh nhân
Camera bệnh viện - 23/04/2025 17:23SKĐS - Bệnh viện Hữu nghị Việt Nam - Cuba Đồng Hới vừa phẫu thuật cấp cứu thành công cho nữ bệnh nhân có dị vật trong đường tiêu hóa gây xuất huyết thời gian dài.

Hy hữu: Đau người, nhập viện mới biết hộp sọ bị đóng đinh
Y tế - 22/04/2025 17:11SKĐS - Bệnh nhân nhập viện trong tình trạng chảy máu vùng đầu, đau nhiều. Qua chẩn đoán, các bác sĩ và cả bệnh nhân đều vô cùng kinh ngạc khi thấy một dị vật nghi là đinh, đâm xuyên hộp sọ.

Hóc xương cá vào đường thở, bé 16 tháng tuổi nhập viện khẩn cấp
Camera bệnh viện - 21/04/2025 16:47SKĐS - Hóc dị vật là tai nạn phổ biến và đặc biệt nguy hiểm đối với trẻ nhỏ, nhất là khi ăn uống không đúng cách hoặc thiếu sự giám sát.

Nam sinh ở Quảng Bình mất bàn tay vĩnh viễn vì tự chế pháo nổ
Camera bệnh viện - 24/03/2025 15:10SKĐS - Bệnh nhân nhập viện trong tình trạng nguy kịch vì pháo nổ tự chế gây ra nhiều vết thương. Các y bác sĩ liên chuyên khoa của Bệnh viện Hữu nghị Việt Nam – Cuba Đồng Hới đã nỗ lực cứu sống bệnh nhân.

Huế kiểm tra các điểm sạt lở, di dời dân vùng xung yếu đến nơi an toàn
Xã hội - 22/10/2025 21:37SKĐS - Trước diễn biến của mưa bão, lãnh đạo TP Huế trực tiếp kiểm tra các điểm sạt lở, yêu cầu rà soát phương án di dời dân và tăng cường lực lượng ứng trực để đảm bảo an toàn cho nhân dân.

Cảnh báo lừa đảo giả mạo cơ quan thuế
Pháp luật - 22/10/2025 21:19Thời gian gần đây, trên địa bàn tỉnh Gia Lai liên tiếp xảy ra nhiều vụ việc người dân bị kẻ gian lừa đảo chiếm đoạt tài sản thông qua hình thức giả mạo cơ quan thuế, ngân hàng hoặc các tổ chức tài chính.

Ấn Độ chi hơn 1 tỷ USD tăng hỏa lực cho 'lá chắn thép' S-400
Quốc tế - 22/10/2025 16:44SKĐS - Ấn Độ đang lên kế hoạch chi khoảng 100 tỷ rupee (khoảng 1,1 tỷ USD) để mua thêm các loại tên lửa đất đối không, trang bị cho hệ thống phòng không tầm xa S-400 Triumf do Nga sản xuất.

Kỳ tích cứu sống người đàn ông bị mảnh gỗ nhọn cắm thẳng vào cổ
Y tế - 13/03/2025 19:29SKĐS – Khi đang vận hành máy cắt, người đàn ông bị mảnh gỗ nhọn văng thẳng vào cổ nguy hiểm tới tính mạng.

Cấp cứu nam học sinh bị chìa khóa cắm sâu vào đầu
Camera bệnh viện - 12/03/2025 16:09SKĐS - Nam học sinh được đưa đến Bệnh viện trong tình trạng chìa khóa cắm sâu vào đầu ngay sau vành tai. Bác sĩ xác định, chìa khóa xuyên qua xương sọ, vào nhu mô não khoảng 3cm.

Cứu cháu bé nuốt phải xương khi ăn cháo
Y tế - 20/02/2025 15:25SKĐS - Cháu bé có biểu hiện ho, tím tái sau khi ăn cháo, các bác sĩ xác định nguyên nhân do mảnh xương cắm vào niêm mạc khí quản. May mắn dị vật được lấy ra an toàn nhờ nội soi.

Hi hữu xương cá 'đi lạc' vào trong tụy và bàng quang
Y tế - 18/02/2025 11:18SKĐS - Mới đây 2 trường hợp ở Quảng Ninh bị biến chứng do xương cá 'đi lạc' xuyên thành bàng quang và mắc kẹt ở đầu tụy. Rất may những bệnh nhân này đã được bác sĩ kịp thời phẫu thuật lấy dị vật ra ngoài và xử lý triệt để khối áp xe.

Bé trai 8 tuổi bị móc câu móc vào mi mắt khi đi câu cá cùng gia đình
Y tế - 05/02/2025 11:39SKĐS - Khoa Răng Hàm Mặt (RHM) – Mắt, Bệnh viện Trẻ em (Hải Phòng) đã tiếp nhận một trường hợp tai nạn hy hữu khi bị móc câu cá, móc vào mi mắt.

Cứu sống thiếu niên bị chuôi dao găm xuyên sọ não
Y tế - 23/01/2025 22:20SKĐS - Các bác sĩ đánh giá đây là vết thương xuyên sọ sâu khoảng 2,5cm xâm lấn nhu mô não. Vị trí chỉ cách xoang tĩnh mạch dọc trên 0,5cm, nguy cơ chảy máu sâu bên trong não kèm nguy cơ nhiễm trùng lan rộng...
Phòng mạch online
Bác sĩ tư vấn dinh dưỡng ở trẻ 3 - 5 tuổi để phát triển toàn diện
SKĐS - Dinh dưỡng ở trẻ 3 - 5 tuổi rất quan trọng vì nó cung cấp năng lượng và các dưỡng chất thiết yếu, giúp trẻ phát triển thể chất và hệ miễn dịch khỏe mạnh, phòng ngừa bệnh tật, hình thành thói quen ăn uống lành mạnh cho tương lai.
PGS.TS. Nguyễn Trọng Hưng
