Sáng 15/11, Bệnh viện Đa khoa tỉnh Quảng Trị cho biết, các bác sĩ vừa cấp cứu và gắp thành công dị vật trong đường thở cho bệnh nhi 3 tuổi N.Q.T.Đ. (trú tại xã Cửa Việt, Quảng Trị).

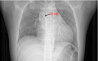
Dị vật trong đường thở cháu bé.
Trước đó, bé nhập viện trong tình trạng ho nhiều, ho sặc. Qua thăm khám và chụp phim, các bác sĩ xác định bé bị sặc kim chọc tủy dài khoảng 22mm, vị trí mắc tại góc carina, nơi chia đôi khí quản. Đây được đánh giá là ca cấp cứu nguy hiểm.
Bệnh viện kích hoạt hội chẩn liên khoa và quyết định tiến hành nội soi phế quản cấp cứu. Dị vật được phát hiện với một đầu nhọn cắm vào đoạn dưới khí quản, đầu còn lại nằm trong phế quản gốc trái.
Sau khoảng 15 phút xử trí, các bác sĩ lấy thành công dị vật. Bé cải thiện ngay triệu chứng, được theo dõi 48 giờ và xuất viện trong tình trạng ổn định.

Bác sĩ tiến hành gắp dị vật.
Theo gia đình, bé Đ. đang được làm răng thì kim chọc tủy bất ngờ rơi vào đường thở. Đây là tình huống hy hữu nếu không cấp cứu kịp thời có thể dẫn đến xẹp phổi, viêm phổi, tràn khí màng phổi hoặc tử vong.
Bệnh viện khuyến cáo phụ huynh không để trẻ ngậm vật sắc nhọn, hạn chế các loại hạt cứng, luôn quan sát trẻ khi ăn uống, vui chơi và đưa ngay đến bệnh viện khi trẻ có dấu hiệu nghi ngờ hóc dị vật như ho sặc, thở rít, tím tái.
