Viện Đào tạo Răng Hàm Mặt vừa phối hợp với Bệnh viện Đại học Y Hà Nội tiến hành điều trị răng cho trẻ em bằng phương pháp gây mê. Thông thường, việc điều trị răng được thực hiện tại ghế nha khoa, bệnh nhân hợp tác theo hướng dẫn của bác sĩ. Tuy nhiên, trong một số trường hợp nếu bệnh nhân không hợp tác, nhất là bệnh nhi nhỏ tuổi thì biện pháp gây mê sẽ được thực hiện để điều trị sâu răng.
Trường hợp điển hình
Chị Nguyễn Thị Minh, quê Lào Cai cho biết, bé Trịnh Ngọc Mai là con thứ 2 trong gia đình, sau khi con mọc răng khoảng 5-6 tháng, chị phát hiện bé bị răng sâu nên đưa đi khám nhiều nơi nhưng bé không hợp tác. Hậu quả là hiện nay bé 4 tuổi đã bị sâu 20 răng: hàm trên các răng hàm, thân răng sâu, vỡ gần hết, các răng cửa mất hết thân còn chân. Hàm dưới tất cả các răng đều sâu, mất gần hết thân răng... Tình trạng đau răng khiến bé quấy khóc, khó ăn uống. Tình cờ chị được giới thiệu đến Viện Đào tạo Răng Hàm Mặt, Đại học Y Hà Nội. Tại đây, sau khi các bác sĩ khám, có chỉ định điều trị răng gây mê cho cháu. Sau 4 giờ điều trị tủy cho 12 răng, chụp thép 8 răng hàm sữa bảo vệ thân răng, đảm bảo bệnh nhân ăn nhai. Ngày thứ hai sau điều trị, bé không đau, không sưng, ăn uống bình thường. Đặc biệt, bé rất vui vẻ khi gặp lại các bác sĩ, y tá đã điều trị cho bé và không hề có chút sợ hãi.
Hình ảnh răng của bé Mai trước khi điều trị.
Giúp trẻ an toàn khi điều trị răng
TS. Trần Mỹ Hạnh, Phó Trưởng bộ môn Răng trẻ em, Viện Đào tạo Răng Hàm Mặt, bác sĩ chính điều trị cho bé Mai cho biết, phương pháp này đã được nhiều nước trên thế giới thực hiện, nhưng Viện Đào tạo Răng Hàm Mặt hiện là một trong những cơ sở đầu tiên trong cả nước tiến hành điều trị răng dưới gây mê cho trẻ em.
Gây mê có ảnh hưởng ít nhiều đến sức khoẻ, nhưng chỉ là ảnh hưởng tạm thời trong thời gian ngắn các bé sẽ phục hồi. Đây là phương pháp chữa răng cho các bé mà các nước tiên tiến trên thế giới đã áp dụng. Các bé ngay sau khi được sinh ra, nếu cần thiết, đã có thể tiến hành gây mê. Tuy nhiên, gây mê cho các các bé rất khó, đòi hỏi bác sĩ gây mê phải có trình độ chuyên môn cao, trang thiết bị hiện đại. Nếu bé có chỉ định điều trị răng gây mê, bé sẽ được tiến hành điều trị gây mê tại các Bệnh viện có uy tín đầy đủ trang thiết bị và các bác sĩ có đầy đủ chuyên môn.
Đối với trẻ bị sâu răng, thông thường tùy theo mức độ nặng nhẹ mà bác sĩ sẽ chỉ định cách điều trị khác nhau như: trám kiểm soát sâu răng, trám răng, làm chụp bảo vệ thân răng... Nếu sâu răng lan đến tủy thì phải điều trị tủy nếu không trẻ sẽ đau đớn, ảnh hưởng đến ăn uống, sức khoẻ của trẻ, nhiễm trùng từ tủy lan rộng có thể ảnh hưởng đến mầm răng vĩnh viễn bên dưới hoặc đôi khi có trường hợp gây ra các áp-xe tại chỗ, thậm chí có thể gây nhiễm trùng máu.
Điều trị răng cho các bé, điều quan trọng nhất là làm sao để các bé hợp tác, tiếp nhận điều trị vui vẻ. Để điều trị tốt cho bé, trước hết các bác sĩ phải làm cho bé tin tưởng, dành nhiều thời gian nói chuyện với bé, thậm chí có thể làm mẫu cho các bé, cho bé quen dần với quá trình điều trị, kiên nhẫn giải đáp các thắc mắc của bé. Điều quan trọng nhất: Không làm bé sợ!
Với trẻ quá nhỏ hoặc trẻ không chịu hợp tác thì việc điều trị răng miệng được thực hiện tại ghế nha khoa tiềm ẩn những nguy cơ gây nguy hiểm cho trẻ: các dụng cụ (trâm gai, trâm dũa, dụng cụ quay...) có thể gây tổn thương niêm mạc miệng của trẻ - nếu bác sĩ và điều dưỡng không quản lý trẻ tốt, nhất là những trẻ đang quấy khóc. Đặc biệt việc giữ bé để điều trị có thể gây sang chấn tâm lý cho bé, sẽ để lại những ấn tượng khủng khiếp khó phai mờ trong tâm trí trẻ. Do đó phương pháp điều trị răng dưới gây mê là giải pháp tối ưu.
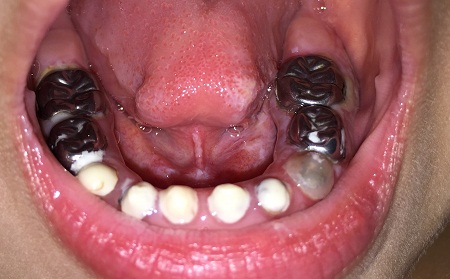
Hình ảnh răng sau 4 giờ được các bác sĩ điều trị.
Cùng lúc giải quyết tất cả các vấn đề răng - miệng
TS. Nguyễn Thị Châu, Phó Giám đốc Trung tâm kỹ thuật cao khám chữa bệnh răng hàm mặt (Viện Đào tạo Răng Hàm Mặt) cho biết, nếu không được điều trị kịp thời, bệnh sâu răng tiến triển sẽ gây ảnh hưởng lớn đến việc ăn nhai, phát âm của trẻ. Để điều trị phục hồi chức năng và thẩm mỹ cho bộ răng của trẻ phải tốn nhiều thời gian, chi phí và cần sự hợp tác tốt giữa bác sĩ với bệnh nhi cũng như gia đình. Điều này lại không dễ đối với trẻ nhỏ dưới 5 tuổi.
Điều trị răng dưới gây mê còn thường được thực hiện cho những đối tượng bệnh nhân có các bệnh nội khoa nghiêm trọng: bệnh tim mạch, bệnh máu... bệnh nhân nhỏ tuổi, sâu nhiều răng, thiếu hợp tác với bác sĩ dù đã trải qua các biện pháp tâm lý cần thiết.
TS. Trần Mỹ Hạnh chia sẻ, điều trị răng dưới gây mê giúp trẻ em tránh được những tác động xấu về tâm lý, còn các bậc cha mẹ thì đỡ mất nhiều thời gian và tiền bạc. Đặc biệt, phương pháp này sẽ giúp bác sĩ thao tác tốt, thoải mái, chủ động kiểm soát cầm máu và chống nhiễm khuẩn, hơn nữa có thể theo dõi chặt chẽ các yếu tố sinh tồn của bệnh nhân trong suốt quá trình điều trị.