hố

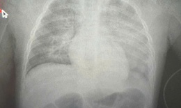
Nguyên nhân khiến viêm phổi ở trẻ dai dẳng, hay tái phát
Bệnh trẻ em - 21/10/2025 14:34SKĐS - Viêm phổi là bệnh lý nhiễm trùng phổ biến, gây tổn thương nhu mô phổi và đi kèm các triệu chứng như ho, khó thở, nhịp thở nhanh, đau ngực…Bệnh có tỷ lệ mắc và tử vong cao, đặc biệt ở trẻ dưới 5 tuổi.

Cảnh báo nguy cơ nhiễm khuẩn huyết do bệnh Whitmore
Bệnh thường gặp - 16/09/2025 10:43SKĐS - Bệnh Whitmore là bệnh truyền nhiễm do vi khuẩn Burkholderia Pseudomallei gây ra. Vi khuẩn này tồn tại trong đất và nước tại các vùng nhiệt đới, đặc biệt phổ biến ở khu vực Đông Nam Á. Do đó người dân cần được trang bị thông tin đầy đủ để phòng tránh căn bệnh nguy hiểm này.

Bảo vệ sức khỏe trong mùa mưa cần chú ý những điều này
Bệnh thường gặp - 28/08/2025 13:18SKĐS - Trong mùa mưa, nhiệt độ giảm và độ ẩm tăng cao, tạo điều kiện thuận lợi cho virus cúm và cảm lạnh phát triển. Các triệu chứng như sốt, ho, sổ mũi và đau họng trở nên phổ biến hơn. Làm gì để bảo vệ sức khỏe trong mùa mưa?

Ô tô bất ngờ ‘sụt hố’ trên phố Đội Cấn, Hà Nội
Xã hội - 28/08/2025 12:45SKĐS – Sáng nay (28/8), một chiếc ô tô đang di chuyển trên phố Đội Cấn, Hà Nội bất ngờ bị “sụt hố”, giao thông ùn tắc cục bộ.

Số phận 9 con hổ nuôi trong trang trại suốt nhiều năm sẽ ra sao khi giấy phép nuôi nhốt hết hạn?
Thời sự - 21/08/2025 10:51SKĐS - Tám năm sau khi giấy phép hết hạn, 9 con hổ vẫn bị mắc kẹt trong một trang trại. Người chăm sóc đang gánh chịu khoản chi phí lớn, trong khi các bên liên quan chưa tìm được tiếng nói chung để chuyển giao.

Đau họng kéo dài do viêm amidan hốc mủ
Bệnh thường gặp - 20/08/2025 08:33SKĐS - Viêm amidan hốc mủ là một bệnh lý về đường hô hấp thường gặp, xảy ra khi amidan bị viêm mạn tính. Nếu không được điều trị kịp thời, bệnh có thể gây đau đớn và ảnh hưởng nghiêm trọng đến sức khỏe cũng như cuộc sống của người bệnh.

Bệnh hô hấp ở trẻ em gia tăng do nắng nóng kéo dài
Bệnh trẻ em - 11/08/2025 18:00SKĐS - Thời tiết oi bức, nóng nực kéo dài gây ảnh hưởng không nhỏ đến sức khỏe, đặc biệt là trẻ em. Nhiều trẻ mắc các bệnh hô hấp như viêm tiểu phế quản cấp, viêm phổi, hen suyễn…

9 loại thuốc có thể gây ho cần lưu ý
An toàn dùng thuốc - 04/08/2025 06:00SKĐS - Một số loại thuốc điều trị bệnh có thể gây ra tác dụng phụ là ho. Dưới đây là những loại thuốc phổ biến nhất gây ra tình trạng này.

Vì sao trẻ em dễ bị viêm mũi họng?
Bệnh trẻ em - 02/08/2025 10:51SKĐS - Viêm mũi họng ở trẻ em là một bệnh lý nhiễm trùng đường hô hấp trên rất phổ biến, thường xuất hiện với các triệu chứng như chảy nước mũi, hắt hơi và ho nhẹ.

Ho, đau họng có nên uống alphachymotrypsin?
An toàn dùng thuốc - 02/08/2025 06:00SKĐS - Ho và đau họng là những triệu chứng rất phổ biến. Người bệnh thường được khuyên dùng thêm alphachymotrypsin (thường được biết đến với tên biệt dược alphachoay) với lý do 'giúp giảm viêm, tiêu sưng nhanh chóng'. Tuy nhiên, việc sử dụng thuốc này trong điều trị các bệnh viêm họng, viêm đường hô hấp có thực sự cần thiết và hiệu quả?

Trẻ bị ho gà bao lâu thì khỏi?
Phòng mạch online - 22/07/2025 12:52SKĐS - Ho gà là một bệnh nhiễm khuẩn cấp tính đường hô hấp do vi khuẩn Bordetella pertussis gây nên, bệnh thường xảy ra ở trẻ nhỏ dưới 5 tuổi.

Triệu chứng viêm phổi ở trẻ sơ sinh
Bệnh trẻ em - 06/07/2025 17:24SKĐS - Viêm phổi là một bệnh truyền nhiễm, tấn công trực tiếp vào phổi và gây viêm. Đây là bệnh hô hấp nguy hiểm, đặc biệt là với trẻ sơ sinh. Việc nhận biết sớm và phát hiện mức độ nguy hiểm của bệnh để đưa trẻ đi viện điều trị kịp thời là vô cùng quan trọng.

Nguyên nhân gây ợ nóng và cách khắc phục
Bệnh thường gặp - 24/06/2025 12:13SKĐS - Ợ nóng là triệu chứng tiêu hóa thường gặp, bệnh nhân sẽ có cảm giác nóng rát ở họng, dạ dày và ngực, hơi đẩy lên thực quản cũng mang theo cảm giác nóng rát rất khó chịu. Ợ nóng không chỉ ảnh hưởng đến sức khỏe hệ tiêu hóa mà còn đi kèm mùi hôi khó chịu, gây mất tự tin cho người bệnh.

Yếu tố làm tăng nguy cơ mắc viêm phổi và thức uống bổ phổi
Bệnh thường gặp - 10/06/2025 10:31SKĐS - Viêm phổi là vấn đề thường gặp, bệnh có nguy cơ diễn tiến nghiêm trọng nếu không được điều trị kịp thời, đặc biệt là ở người cao tuổi, người bệnh nặng, trẻ sơ sinh và trẻ nhỏ.

Những lưu ý quan trọng cho người bệnh hen phế quản
Bệnh thường gặp - 01/06/2025 20:16SKĐS - Trước thông tin phát hiện thuốc chữa hen phế quản giả vừa được Cục Quản lý Dược – Bộ Y tế công bố khiến nhiều người lo lắng. Nếu bệnh hen suyễn không được điều trị và kiểm soát bệnh tốt sẽ gây khó thở và nguy hiểm đến sức khỏe của người bệnh.

Tìm thấy thi thể nạn nhân cuối cùng trong xe bán tải bị đất đá vùi lấp ở Lào Cai
Xã hội - 23/10/2025 21:10SKĐS - Sau 25 ngày nỗ lực tìm kiếm, lực lượng cứu hộ đã tìm thấy thi thể anh Phùng Văn Tuấn, nạn nhân cuối cùng trong vụ sạt lở đất vùi lấp xe bán tải chở 3 người mất tích nhiều ngày tại Lào Cai.

Công an Hà Nội tìm hai cô gái bị đánh tại quán ăn trên phố Cầu Giấy
Pháp luật - 23/10/2025 21:05SKĐS - Công an TP Hà Nội phát thông báo tìm 2 cô gái liên quan vụ án hình sự gây rối trật tự công cộng xảy ra tại số 18 Cầu Giấy, phường Láng.

Nga mô phỏng 'đòn đáp trả hạt nhân' trong cuộc tập trận quy mô lớn
Quốc tế - 23/10/2025 09:15SKĐS - Nga đã tiến hành một loạt vụ phóng tên lửa có khả năng mang đầu đạn hạt nhân, trong khuôn khổ cuộc tập trận chiến lược quy mô lớn, do Tổng thống Vladimir Putin trực tiếp giám sát.

Nhận biết các viêm nhiễm đường hô hấp dưới thường gặp
Bệnh thường gặp - 31/05/2025 05:36SKĐS - Khi người bệnh ho, hắt hơi thì những giọt bắn chứa vi khuẩn hoặc virus có thể bám trên các bề mặt tiếp xúc gây bệnh viêm nhiễm đường hô hấp dưới. Đây là một trong những bệnh lý hô hấp nguy hiểm, dẫn đến nhiều trường hợp phải nhập viện cấp cứu, thậm chí tử vong, đặc biệt ở trẻ em và người lớn tuổi.

Ho, đau rát họng là bệnh gì và cách chữa hiệu quả
Phòng mạch online - 24/05/2025 16:56SKĐS - Ho, đau rát họng là tình trạng phổ biến, không chỉ do viêm họng gây nên mà có nhiều nguyên nhân khác. Các cách dưới đây có thể giúp giảm ho, đau rát họng hiệu quả.

Tiêm vaccine cho 'chúa sơn lâm'
Thời sự - 22/05/2025 15:46SKĐS - Những cá thể hổ Đông Dương đang nuôi nhốt, chăm sóc tại Vườn Quốc gia Phong Nha - Kẻ Bàng được các chuyên gia nước ngoài kiểm tra sức khỏe và tiêm vaccine.

Cấp cứu thành công trẻ 8 tháng tuổi bị sởi biến chứng nghiêm trọng
Y tế - 12/05/2025 06:48SKĐS - Mới đây, Bệnh viện Sản Nhi Vĩnh Phúc đã cứu sống trẻ bị sởi biến chứng rất nặng gây viêm phổi, suy hô hấp, ARDS, sốc nhiễm khuẩn...

Khám phá đấu trường sinh tử giữa voi và hổ duy nhất trên đất Cố đô
Văn hóa – Giải trí - 02/05/2025 09:05SKĐS - Hổ Quyền là đấu trường duy nhất ở Việt Nam từng tổ chức các cuộc đấu sinh tử giữa voi và hổ, mang đậm dấu ấn đặc biệt của triều Nguyễn. Di tích hiện là địa điểm thu hút nhiều du khách tham quan, khám phá.

Ho kéo dài, cụ bà 75 tuổi ở Quảng Ninh vào viện mới phát hạt hồng xiêm trong phế quản
Y tế - 17/04/2025 14:04SKĐS - Ho kéo dài, mệt mỏi, tức ngực, một cụ bà 75 tuổi ở Quảng Ninh được phát hiện có dị vật là hạt hồng xiêm nằm sâu trong phế quản. Các bác sĩ Bệnh viện Bãi Cháy đã nội soi và lấy dị vật ra thành công, tránh nguy cơ biến chứng nguy hiểm.
Phòng mạch online
Trẻ viêm mũi xoang nghiêm trọng do nhét dây thun vào mũi lâu ngày
SKĐS - Nhiều trẻ vô tình nhét hạt, đồ chơi nhỏ vào mũi khiến cha mẹ không hay biết. Dị vật mũi có thể gây viêm, nhiễm trùng nặng, thậm chí tổn thương não nếu không xử lý sớm.