Gan
Những người cần đi khám gan sớm và thường xuyên
Bệnh thường gặp - 17/11/2025 19:14SKĐS - Trong tiến trình phát triển bệnh gan, nếu không phải do nhiễm virus hoặc do di truyền, người bệnh thường bắt đầu khởi phát bệnh với tình trạng gan nhiễm mỡ, sau đó dẫn đến viêm gan, xơ gan và cuối cùng là ung thư gan.
5 tác dụng bất ngờ của lòng mề gà, vịt
Dinh dưỡng - 05/08/2025 11:15SKĐS - Lòng mề gà, vịt là một món ăn quen thuộc được nhiều người yêu thích. Tìm hiểu giá trị dinh dưỡng bất ngờ từ lòng mề gà, vịt.
Đồ uống có lợi cho gan, hỗ trợ thải độc
Phòng mạch online - 31/07/2025 17:00SKĐS - Gan là cơ quan chính thực hiện chức năng lọc và loại bỏ độc tố ra khỏi cơ thể, trong đó nước là yếu tố thiết yếu giúp quá trình này diễn ra trơn tru. Khi cơ thể được cung cấp đủ nước, gan có thể thải độc nhanh chóng, ngăn ngừa sự tích tụ các chất thải có hại.
Thói quen mỗi ngày giúp gan khỏe mạnh
Bệnh thường gặp - 25/07/2025 05:55SKĐS - Gan giữ vai trò quan trọng đối với hệ miễn dịch, hỗ trợ quá trình lọc máu và chống lại các tác nhân hay độc tố có khả năng lây lan và gây bệnh.
Người bệnh gan nhiễm mỡ nên uống gì để cải thiện sức khỏe gan?
Dinh dưỡng - 17/07/2025 06:10SKĐS - Chế độ ăn uống khoa học và lối sống lành mạnh đóng vai trò cốt yếu trong kiểm soát bệnh gan nhiễm mỡ. Dưới đây là một số thức uống tốt cho người bệnh gan nhiễm mỡ, giúp cải thiện sức khỏe gan một cách tự nhiên.
Những thói quen buổi sáng vô tình gây hại gan
Y học cổ truyền - 08/07/2025 13:00SKĐS - Gan là cơ quan quan trọng lọc độc tố, chuyển hóa chất béo và đường, phân hủy rượu, thuốc… Một số thói quen buổi sáng có thể đang âm thầm gây hại cho gan.
Chế độ ăn uống lành mạnh để phục hồi gan nhiễm mỡ
Dinh dưỡng - 08/07/2025 06:09SKĐS - Khi bị gan nhiễm mỡ, các triệu chứng thường tiến triển trong một thời gian dài trước khi người bệnh có thể nhận biết. Một số thay đổi về lối sống giúp kiểm soát hoặc đảo ngược sự tích tụ chất béo trong gan như giảm cân, duy trì cân nặng khỏe mạnh, chế độ ăn uống cân bằng, tập thể dục,...
8 thực phẩm nên tránh để bảo vệ gan khỏe mạnh
Chế độ ăn người bệnh - 28/06/2025 06:06SKĐS - Gan đóng vai trò quan trọng trong việc duy trì sức khỏe tổng thể. Lựa chọn đúng loại thực phẩm cũng như tránh những chất có hại góp phần bảo vệ chức năng gan khỏe mạnh.
10 loại thực phẩm tốt cho gan, hỗ trợ phục hồi
Dinh dưỡng - 21/06/2025 06:05SKĐS - Gan là một phần của hệ thống giải độc tự nhiên của cơ thể. Gan hoạt động tốt giúp lọc các chất độc và chất thải ra khỏi máu.
5 loại trái cây giúp giải độc gan
Y học cổ truyền - 17/06/2025 20:00SKĐS - Giữ cho gan khỏe mạnh rất quan trọng đối với sức khỏe tổng thể. Cùng với chế độ ăn uống cân bằng và bổ dưỡng, có thể bổ sung một số loại trái cây, giúp giải độc gan và tăng cường sức khỏe gan.
5 loại rau đặc biệt tốt cho gan
Y học cổ truyền - 15/06/2025 15:00SKĐS - Các bệnh về gan ngày càng gia tăng, ảnh hưởng đến hàng triệu người trên toàn cầu. Chế độ ăn uống đóng vai trò quan trọng trong việc duy trì sức khỏe của gan.
Cô gái 16 tuổi suy gan cấp sau khi uống thuốc giảm cân mua trên mạng: Suy gan cấp có biểu hiện gì, nguy hiểm không?
Bệnh thường gặp - 14/06/2025 17:55SKĐS - Suy gan cấp là tình trạng rối loạn chức năng gan nghiêm trọng, xảy ra ở những người không có tiền sử mắc bệnh tại cơ quan này trước đó.
8 loại thực phẩm tốt cho gan
Vị thuốc quanh ta - 07/06/2025 06:00SKĐS - Gan là hệ thống giải độc tự nhiên của cơ thể và cần những thực phẩm giàu dinh dưỡng để thực hiện tốt chức năng của mình.
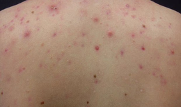
Nóng gan gây nổi mụn lưng?
Bệnh thường gặp - 22/05/2025 15:28SKĐS - Nhiều bạn trẻ bị nổi mụn ở lưng mặc dù đã vệ sinh cơ thể sạch sẽ nên lo lắng không biết có phải bị nóng gan không?
Ung thư gan có mấy giai đoạn?
Ung thư - 20/05/2025 06:25SKĐS - Ung thư gan là loại ung thư phổ biến, có tỷ lệ tử vong cao do phần lớn các trường hợp chỉ được chẩn đoán khi ung thư đã ở giai đoạn muộn nên việc điều trị hiệu quả không cao.
Miền Bắc chuyển mưa rét, bão số 15 đứng im trên Biển Đông
Xã hội - 01/12/2025 06:15SKĐS - Hôm nay (1/12), thời tiết các khu vực trên cả nước duy trì trạng thái ổn định, trời nắng về trưa và chiều. Miền Bắc tiếp tục rét vào đêm và sáng sớm, một số nơi vùng núi cao có thể xuất hiện sương muối và băng giá.
Từ mâu thuẫn trên mạng xã hội, 9 thanh thiếu niên bị tạm giam
Pháp luật - 30/11/2025 18:43SKĐS – Từ mâu thuẫn “ảo” trên TikTok, 9 thanh thiếu niên ở Đà Nẵng đã rủ nhau mang hung khí phóng xe tốc độ cao đi tìm đối thủ, khiến cả nhóm bị khởi tố và tạm giam.
Vụ cháy chung cư ở Hong Kong (Trung Quốc) khiến ít nhất 146 người tử vong
Quốc tế - 30/11/2025 18:46Theo phóng viên TTXVN tại Hong Kong, tính đến chiều 30/11 theo giờ địa phương, số người bị tử vong trong vụ hỏa hoạn tại khu tổ hợp chung cư Wang Fuk Court ở quận Tai Po của Hong Kong (Trung Quốc) đã tăng lên ít nhất 146 người. Cơ quan chức năng cho biết không loại trừ khả năng số thương vong chưa dừng lại.
Tuyệt chiêu thải độc, phục hồi gan sau khi uống rượu bia
Bệnh thường gặp - 09/05/2025 15:15SKĐS - Việc uống quá nhiều rượu bia trong thời gian dài sẽ khiến sức khỏe giảm sút do vượt quá khả năng chuyển hóa của gan từ đó gây tổn thương tế bào gan, dẫn tới gan nhiễm mỡ, viêm gan, xơ gan, xơ gan mất bù, ung thư gan. Những cách dưới đây có thể giúp thải độc, phục hồi gan sau khi uống rượu bia.
Cách hạn chế gan bị tổn thương mùa nóng
Bệnh thường gặp - 01/05/2025 18:00SKĐS - Nóng bức uống nhiều rượu bia, chất kích thích, đồ béo ngọt… khiến gan làm việc nhiều hơn để đào thải chất độc ra khỏi cơ thể dễ gây tổn thương gan.
5 câu hỏi thường gặp về hội chứng Budd-Chiari
Tra cứu bệnh - 18/04/2025 13:55SKĐS - Hội chứng Budd-Chiari (tắc tĩnh mạch gan do dòng vào nhiều hơn dòng ra) là một rối loạn hiếm gặp, trong đó các tĩnh mạch dẫn máu ra khỏi gan (tĩnh mạch gan) bị tắc nghẽn hoặc thu hẹp do cục máu đông. Tình trạng này gây ra ứ máu trong gan, dẫn đến tổn thương gan và các biến chứng nghiêm trọng.
Tiểu đường type 2 làm tăng nguy cơ ung thư gan và tuyến tụy
Quốc tế - 23/03/2025 18:18SKĐS - Một nghiên cứu mới cho thấy, những người mắc tiểu đường type 2, đặc biệt là phụ nữ, có nguy cơ cao mắc một số loại ung thư nguy hiểm, bao gồm ung thư gan và ung thư tuyến tụy.
Chế độ ăn cho người mắc Hội chứng Reye
Tra cứu bệnh - 27/02/2025 05:45SKĐS – Mặc dù không có chế độ ăn đặc biệt nào có thể chữa khỏi hội chứng Reye nhưng một chế độ ăn uống cân bằng và hỗ trợ có thể giúp ích trong quá trình phục hồi.
10 thực phẩm bảo vệ gan khỏe mạnh
Dinh dưỡng - 24/02/2025 06:06SKĐS - Sức khỏe gan rất quan trọng đối với sức khỏe tổng thể. Gan không khỏe mạnh có nguy cơ dẫn đến bệnh gan và rối loạn chuyển hóa. Lựa chọn thực phẩm tốt cho gan có thể giúp tránh được các vấn đề sức khỏe tiềm ẩn trong tương lai.
Phòng mạch online
Bác sĩ tư vấn về vi chất dinh dưỡng cần thiết đối với trẻ tiểu học
SKĐS - Vi chất dinh dưỡng đóng vai trò rất quan trọng đối với sự phát triển, tăng trưởng của trẻ. Nếu trẻ bị thiếu hụt những vi chất này, sức đề kháng sẽ suy yếu và làm trẻ dễ mắc các bệnh cấp và mạn tính, chậm phát triển.
PGS.TS. Nguyễn Trọng Hưng
Viện Dinh dưỡng Quốc gia
