di vật

Hai bệnh viện phối hợp gắp mảnh xương cá, giúp cụ bà 84 tuổi cai máy thở
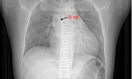
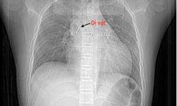
Y tế - 02/10/2025 15:54SKĐS - Mảnh xương cá mắc sâu trong phế quản khiến cụ bà 84 tuổi suy hô hấp phải thở máy. Nhờ sự phối hợp nhịp nhàng giữa hai bệnh viện, dị vật được lấy ra an toàn, giúp người bệnh hồi phục và cai máy thở.

Xương cá kích thước 'khủng' găm chặt vào thực quản cụ ông 99 tuổi
Camera bệnh viện - 31/08/2025 09:02SKĐS - Cụ ông 99 tuổi ở Quảng Trị vừa được các bác sĩ xử trí kịp thời sau khi xương cá dài 4cm găm chặt vào hạ họng và thực quản cổ.

Hy hữu cụ ông nuốt cả nắp chai khi uống nước
Camera bệnh viện - 20/08/2025 15:45SKĐS - Sự việc hy hữu xảy ra tại xã Đại Huệ, Nghệ An khi một cụ ông 70 tuổi vô tình nuốt cả chiếc nắp chai trong lúc uống nước. May mắn, các bác sĩ đã nhanh chóng nội soi, gắp dị vật ra ngoài.

Nuốt 4 viên nam châm, bé trai 6 tuổi ở Cần Thơ thủng ruột, suýt mất mạng
Sức khỏe TV - 19/08/2025 19:21SKĐS - Ngày 19/8, lãnh đạo Bệnh viện Chuyên khoa Sản Nhi Sóc Trăng cho biết, các bác sĩ của đơn vị vừa thực hiện thành công ca phẫu thuật cấp cứu cho một bệnh nhi 6 tuổi bị thủng ruột do nuốt phải bốn viên nam châm nhỏ.

Bệnh viện Nhi Hải Phòng cảnh báo gia tăng trẻ nuốt dị vật đường tiêu hóa
Y tế - 04/08/2025 14:40SKĐS - Trong tháng 6/2025, Bệnh viện Nhi Hải Phòng tiếp nhận nhiều trường hợp trẻ nhập viện vì nuốt dị vật đường tiêu hóa – một con số đáng lo ngại, phản ánh tình trạng tai nạn sinh hoạt gia tăng trong dịp nghỉ hè.

Ăn quất hồng bì, người phụ nữ bị sặc dị vật ở phế quản phổi
Y tế - 01/08/2025 15:48SKĐS - Trong lúc ăn quất hồng bì, người bệnh bị sặc nhưng không thấy khó thở nên không đi khám. Sau đó vài ngày, người bệnh bắt đầu xuất hiện các triệu chứng ho khan kéo dài, đau tức ngực nên đã đến bệnh viện để kiểm tra.

Bé trai 5 tuổi nhập viện cấp cứu vì đồng xu mắc ở thực quản
Camera bệnh viện - 01/08/2025 09:44SKĐS - Dị vật đường ăn ở trẻ nhỏ luôn tiềm ẩn nguy cơ cao và có thể gây biến chứng nguy hiểm nếu không được xử trí kịp thời.

Tìm lại ký ức - di vật lưu dấu cuộc đời liệt sĩ Trần Văn Dần
Xã hội - 25/07/2025 07:29SKĐS - Di vật của người lính sau nhiều năm thất lạc đã trở về với gia đình, mang theo những câu chuyện xúc động về một thời khói lửa chiến tranh. Những kỷ vật này không chỉ là hiện vật vô tri, mà còn là cầu nối giữa quá khứ và hiện tại, nhắc nhở mỗi người về giá trị của hòa bình và sự hy sinh.

Thông tin thêm về suất cơm có 'dị vật': Nguyên nhân do quả ổi?
Xã hội - 23/07/2025 19:50SKĐS - Phía đơn vị cung cấp suất ăn cho rằng, nguồn gốc con côn trùng trong khay cơm được xác định từ quả ổi, chưa gây ảnh hưởng đến sức khỏe công nhân.

Một ngày, cấp cứu hai ca thủng ruột do dị vật sắc nhọn
Y tế - 18/07/2025 10:36SKĐS - Khoa Ngoại Tiêu hóa - Gan mật, Bệnh viện Đa khoa tỉnh Phú Thọ vừa phẫu thuật liên tiếp 2 ca thủng ruột do dị vật trong cùng một ngày.

Bệnh nhi 8 tuổi bị tăm tre đâm xuyên thành dạ dày
Y tế - 12/07/2025 21:42SKĐS - Bệnh viện Việt Nam – Thụy Điển Uông Bí (Quảng Ninh) vừa xử trí thành công gắp bỏ dị vật là tăm tre đâm xuyên thành dạ dày bệnh nhi 8 tuổi.

Hải Phòng: Xử trí thành công ca chấn thương mắt nguy kịch do dị vật kim loại
Y tế - 10/07/2025 18:08SKĐS - Bị dị vật kim loại cắm xuyên qua hốc mắt, đe dọa trực tiếp đến cấu trúc nhãn cầu, người đàn ông ở Hải Phòng đứng trước nguy cơ mất thị lực hoàn toàn đã được các bác sĩ Bệnh viện Hữu nghị Việt Tiệp phẫu thuật thành công.

Cứu bé trai 4 tuổi bị cá rô đồng sống chui vào họng khi đang chơi với cá
Sức khỏe TV - 04/07/2025 15:14SKĐS - Bé 4 tuổi khi đang chơi thì bất ngờ bị một con cá rô đồng còn sống chui tọt vào hầu họng, dẫn đến tình trạng nghẹt thở, ho sặc sụa và nguy cơ đe dọa tính mạng.

Hy hữu: ‘Bỏ quên’ hai đoạn đũa trong hốc mũi hơn một năm
Tin nóng y tế - 02/07/2025 13:41SKĐS - Ngày 2/7, Bệnh viện Tai Mũi Họng TPHCM cho hay, các bác sĩ nơi đây vừa xử trí thành công ca “trục xuất” dị vật hy hữu là 2 đoạn đũa bị bỏ quên trong hốc mũi nam bệnh nhân hơn một năm.

Cúc áo gãy đôi nằm trong đường thở bé gái 5 tuổi
Camera bệnh viện - 27/06/2025 19:24SKĐS - Bố mẹ đều đi làm, trẻ ở nhà chơi một mình nên không ai biết cháu đã nuốt phải dị vật từ lúc nào.

Chuyện về loài cây quý hiếm bậc nhất Việt Nam
Xã hội - 08/10/2025 11:51SKĐS - Huê mộc được xem là một trong những loài cây quý hiếm bậc nhất Việt Nam. Loài cây thân gỗ này được xem là biểu tượng của sự trường tồn nơi rừng núi đá vôi.

Sáng 8/10: Mức án mà kẻ sát nhân máu lạnh bắn tử vong 3 người ở Đồng Nai có thể phải đối mặt
Pháp luật - 08/10/2025 06:33SKĐS - Với hành vi man rợ, sát hại nhiều người, cướp tài sản, dùng súng nguy hiểm, hung thủ vụ thảm sát 3 người ở Đồng Nai gây rúng động dư luận có thể phải đối diện với mức án cao nhất.

Mỹ cân nhắc cung cấp loại vũ khí uy lực mà Ukraine khao khát nhất?
Quốc tế - 08/10/2025 10:37SKĐS - Mỹ đang cân nhắc khả năng cung cấp tên lửa hành trình Tomahawk cho Ukraine, một trong những loại vũ khí tấn công tầm xa uy lực nhất của Washington.

Kinh hoàng: Phẫu thuật lấy đinh vít dài 3cm trong dạ dày bé trai 29 tháng tuổi
Sức khỏe TV - 27/06/2025 05:46SKĐS - Mới đây, các bác sĩ Bệnh viện Sản - Nhi tỉnh Quảng Ngãi đã gắp thành công chiếc đinh vít nhọn, dài khoảng 3cm nằm trong dạ dày bé trai 29 tháng tuổi.

Cấp cứu thành công bé 18 tháng tuổi ở Hải Phòng nuốt pin cúc
Y tế - 18/06/2025 18:35SKĐS - Các bác sĩ Bệnh viện Trẻ em (Hải Phòng) vừa cấp cứu thành công một bệnh nhi 18 tháng tuổi nuốt phải dị vật là pin cúc, gây tổn thương nghiêm trọng thực quản.

Bé gái nguy kịch vì nuốt phải đồng xu
Camera bệnh viện - 12/06/2025 11:41SKĐS - Chơi một mình trong lúc người lớn không để ý, bé gái hơn 5 tuổi tại Cao Bằng đã nuốt phải đồng xu đường kính 2,5 cm.

Gắp chiếc răng của cụ ông bị đột quỵ não rơi vào đường thở
Camera bệnh viện - 07/06/2025 09:44SKĐS - Cụ ông 81 tuổi đột qụy não, liệt vận động, nằm một chỗ, liệt cơ hầu họng làm rối loạn quá trình nuốt, phản xạ ho kém nên nuốt phải chiếc răng vào đường thở. Rất may được các y bác sĩ cấp cứu kịp thời.

Dị vật gai góc kẹt trong phế quản khiến người phụ nữ khó thở kéo dài
Sức khỏe TV - 03/06/2025 10:58SKĐS - Thường xuyên ho kéo dài, khó thở, nữ bệnh nhân đến Bệnh viện Đa khoa Xuyên Á thăm khám và được các bác sĩ thực hiện nội soi phế quản gắp ra dị vật hình đa giác với đường kính gần 5 mm.

Đi khám vì chảy máu mũi, bé trai khiến bác sĩ rùng mình khi gắp ra “dị vật”
Sức khỏe TV - 24/05/2025 20:48SKĐS - Một trường hợp bé trai xuất hiện tình trạng khó thở và chảy máu mũi kéo dài gia đình đưa đến bệnh viện thì phát hiện một con đỉa đang ký sinh trong hốc mũi em.
Phòng mạch online
Những bệnh về mắt 'thầm lặng' ở trẻ mà cha mẹ thường bỏ qua
SKĐS - Nhiều bậc phụ huynh thường chỉ đưa con đi khám khi mắt trẻ có các biểu hiện bất thường rõ rệt như lác, sụp mi. Tuy nhiên, có những bệnh lý về mắt nguy hiểm lại diễn tiến âm thầm, không có dấu hiệu bên ngoài, đặc biệt là các tật khúc xạ và bệnh lý đáy mắt.