dễ viêm nang lông

Điều trị viêm nang lông bằng thuốc - Khi nào cần sử dụng?
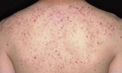
Dược - 08/09/2025 09:00SKĐS - Viêm nang lông là bệnh lý về da liễu, gây ngứa, khó chịu, đặc biệt làm mất thẩm mỹ. Việc điều trị viêm nang lông tùy thuộc vào mức độ và vị trí mắc...