Đại diện Bệnh viện Bãi Cháy (Quảng Ninh) cho biết, mới đây các bác sĩ của đơn vị kịp thời cứu sống bệnh nhân nhồi máu cơ tim cấp trong tình trạng đặc biệt hiếm gặp. Đáng chú ý, động mạch vành phải của người bệnh xuất phát bất thường từ bên trái và xuất hiện biến chứng trong quá trình can thiệp mạch vành.
Theo thông tin, trước khi nhập viện cấp cứu, bệnh nhân nam P.V.T (66 tuổi, trú tại phường Bãi Cháy, tỉnh Quảng Ninh) bị ngã đập thành ngực xuống đất. Khi đi khám, bệnh nhân được phát hiện rạn xương sườn và dùng thuốc giảm đau, nhưng tình trạng đau ngực không thuyên giảm.

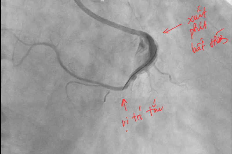
Hình ảnh trước khi can thiệp.
Sau 3 ngày điều trị, cơn đau ngực trái của bệnh nhân ngày càng tăng nên gia đình người bệnh đến Bệnh viện Bãi Cháy cấp cứu.
Thời điểm nhập viện, bệnh nhân trong tình trạng đau ngực dữ dội. Kết quả xét nghiệm cho thấy men tim tăng cao gấp hơn 100 lần so với bình thường – dấu hiệu điển hình của nhồi máu cơ tim cấp.
Ngay lập tức, bệnh nhân được kích hoạt quy trình cấp cứu tim mạch và chuyển đến phòng can thiệp mạch vành khẩn cấp. Kết quả chụp mạch vành cho thấy, bệnh nhân bị tắc hoàn toàn động mạch vành phải đoạn 2. Đáng chú ý, động mạch vành phải của người bệnh có vị trí xuất phát bất thường từ xoang vành trái của động mạch chủ – một dạng dị dạng hiếm gặp khiến việc tiếp cận và can thiệp trở nên phức tạp hơn nhiều so với các trường hợp thông thường.
Ê kíp can thiệp do Ths.BS Đinh Danh Trình – Trưởng khoa Tim mạch, Bệnh viện Bãi Cháy cùng các bác sĩ đã thực hiện nhiều thao tác kỹ thuật phức tạp để lái ống thông, đưa dây dẫn và bóng qua vị trí tổn thương. Sau khi tiếp cận được vị trí tắc nghẽn, các bác sĩ tiến hành đặt stent phủ thuốc nhằm tái thông dòng máu nuôi cơ tim.

Ths.BS Đinh Danh Trình – Trưởng khoa Tim mạch, Bệnh viện Bãi Cháy cùng các bác sĩ đang tiến hành can thiệp cho bệnh nhân.
Tuy nhiên, ngay sau khi đặt stent, bệnh nhân xuất hiện tình trạng No-Reflow (lòng mạch đã được mở nhưng dòng máu vẫn không lưu thông hiệu quả do co thắt vi mạch hoặc tổn thương vi tuần hoàn). Đây là một biến chứng nguy hiểm trong can thiệp mạch vành, có thể khiến cơ tim tiếp tục bị thiếu máu và làm tăng nguy cơ tử vong nếu không xử trí kịp thời.
Lúc này ê kíp can thiệp đã nhanh chóng triển khai nhiều biện pháp xử trí, trong đó có tiêm trực tiếp thuốc giãn mạch vào lòng động mạch vành nhằm giảm co thắt và cải thiện vi tuần hoàn. Sau khi xử trí tích cực, dòng chảy mạch vành đã được khôi phục, giúp ổn định tình trạng cho người bệnh.
Đến hôm sau, tình trạng sức khỏe bệnh nhân ổn định, tỉnh táo, giảm đau ngực, các chỉ số sinh tồn ổn định: mạch 69 lần/phút, huyết áp 120/80 mmHg, SpO₂ 99%, lượng nước tiểu đạt 3 lít trong 13h.

Bệnh nhân P.V.T được cứu sống nhờ can thiệp mạch kịp thời.
Chia sẻ về ca bệnh, Ths.BS Đinh Danh Trình cho hay, trường hợp nhồi máu cơ tim cấp có nhiều yếu tố phức tạp. Bệnh nhân vừa có dị dạng động mạch vành hiếm gặp, vừa xuất hiện biến chứng sau đặt stent. Dị dạng động mạch vành khiến việc tiếp cận tổn thương khó khăn hơn so với các ca can thiệp thông thường, đòi hỏi bác sĩ phải lựa chọn loại ống thông phù hợp và thao tác rất chính xác.
Nếu không xử trí kịp thời biến chứng, bệnh nhân có thể tiếp tục thiếu máu cơ tim, dẫn đến suy tim, rối loạn nhịp nguy hiểm hoặc tử vong.
Các bác sĩ khuyến cáo, các triệu chứng như: đau thắt ngực kéo dài, khó thở, vã mồ hôi lạnh, mệt lả… có thể là dấu hiệu cảnh báo nhồi máu cơ tim cấp. Khi xuất hiện các biểu hiện nghi ngờ, người dân cần đến cơ sở y tế sớm nhất để được thăm khám và điều trị kịp thời, tránh những biến chứng nguy hiểm có thể xảy ra.
