Mới đây, các bác sĩ khoa Ngoại, Bệnh viện Đa khoa tỉnh Quảng Ninh vừa tiến hành phẫu thuật cấp cứu thành công cho một trường hợp nam bệnh nhân bị thoát vị bẹn trái nghẹt đại tràng sigma gây hoại tử, viêm phúc mạc.
Theo đó, ông B.C.C (63 tuổi, trú tại phường Cẩm Phả, tỉnh Quảng Ninh) nhập viện trong tình trạng khối phồng vùng bẹn trái đau tức, không thể đẩy lên được kèm theo đau bụng và chướng hơi.

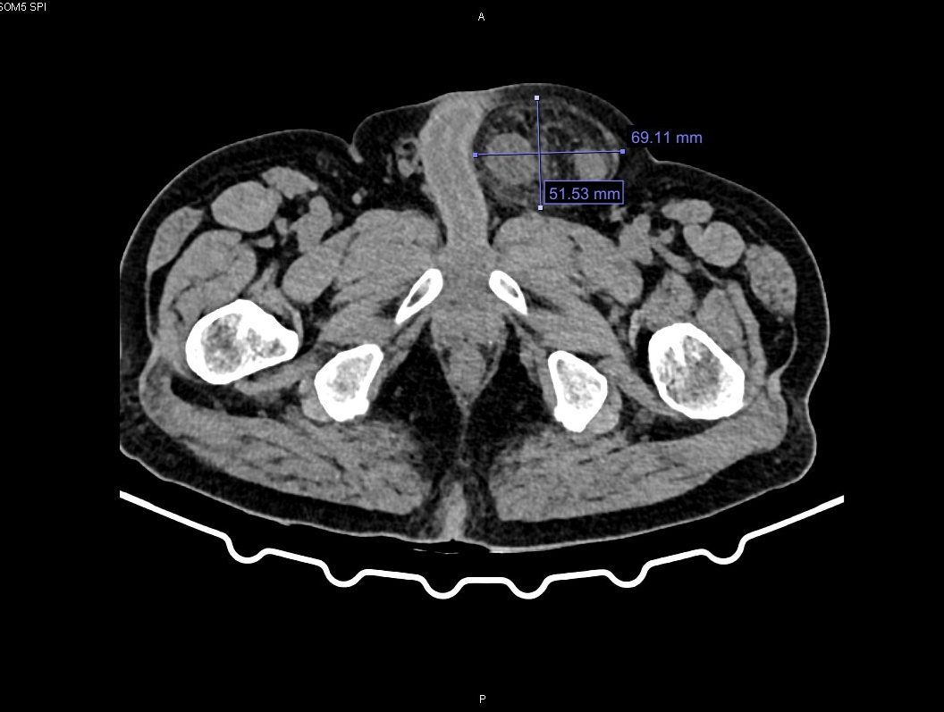
Hình ảnh khối thoát vị bẹn trái nghẹt qua phim chụp cắt lớp vi tính.
Khai thác tiền sử từ bệnh nhân được biết, ông C. phát hiện vùng bẹn của bản thân có khối phồng từ lâu, khối to lên khi gắng sức, lúc nằm nghỉ ấn thì xẹp. Do chủ quan nghĩ không sao nên bệnh nhân không đi khám. Tuy nhiên, gần đây ông C. tự nhiên đau nhiều, ấn cứng không xẹp và đau không chịu nổi nên vào viện thăm khám.
Sau khi thăm khám và chụp cắt lớp vi tính, các bác sĩ chẩn đoán bệnh nhân bị thoát vị bẹn trái nghẹt. Quá trình hội chẩn bác sĩ đánh giá, đây là biến chứng phức tạp, nguy hiểm của thoát vị bẹn do ruột bị chui xuống lỗ thoát vị và kẹt lại gây tắc nghẽn, thiếu máu nuôi. Sau đó, bệnh nhân được chỉ định mổ cấp cứu bằng phương pháp nội soi, nhằm giải phóng khối thoát vị và xử trí tổn thương.

Kíp mổ cấp cứu khoa Ngoại, Bệnh viện Đa khoa tỉnh Quảng Ninh xử trí khối thoát vị bẹn trái bị nghẹt cho bệnh nhân.
Qua đường rạch nhỏ 1cm ở thành bụng, phẫu thuật viên đưa camera vào kiểm tra phát hiện trong ổ bụng có nhiều dịch tiêu hóa lẫn nhiều giả mạc. Biểu hiện tình trạng viêm nhiễm nặng, lỗ bẹn phải bình thường, lỗ bẹn trái có đại tràng chui vào gây nghẹt. Khi giải phóng khối thoát vị, ekip nhận thấy đoạn đại tràng sigma đã bị hoại tử đen.
Trước biến chứng phức tạp, kíp mổ nhanh chóng rửa sạch ổ bụng, xử lý bao thoát vị, khâu phục hồi thành bụng và đưa đoạn đại tràng hoại tử ra ngoài làm hậu môn nhân tạo tạm thời, giúp đảm bảo lưu thông tiêu hóa, cứu sống người bệnh.
Hiện, người bệnh đã thoát khỏi nguy kịch, mạch, huyết áp ổn định, đau nhẹ vết mổ, hậu môn nhân tạo hoạt động tốt và tiếp tục được theo dõi sát, điều trị kháng sinh toàn thân, chống viêm, giảm đau, dinh dưỡng.

Bác sĩ chuyên khoa I Nguyễn Đình Quế thăm khám lại cho bệnh nhân sau mổ.
Thoát vị bẹn là bệnh lý phổ biến, chủ yếu gặp ở nam giới mọi lứa tuổi, đa số người mắc có tâm lý chủ quan, không điều trị sớm. Thông thường, bệnh chỉ gây cảm giác tức nhẹ, xuất hiện khối phồng vùng bẹn khi ho hoặc vận động mạnh và có thể tự biến mất hoặc ấn lên được khi nằm nghỉ. Tuy nhiên, khi khối thoát vị bị nghẹt, bệnh nhân sẽ thấy đau, nôn, bí trung đại tiện, khối phồng không thể đẩy lên được. Đây là dấu hiệu cảnh báo tình trạng cấp cứu ngoại khoa.
Bác sĩ khuyến cáo: Những người có khối phồng vùng bẹn nên đi khám sớm để được chẩn đoán xác định, tư vấn từ bác sĩ chuyên khoa và phẫu thuật sớm khi cần thiết. Bệnh thoát vị bẹn nếu chần chừ, trì hoãn gây khó chịu trong sinh hoạt hàng ngày, tự ti trong giao tiếp. đặc biệt có thể có biến chứng nghẹt và dẫn đến những hậu quả nặng nề, nghiêm trọng, thậm chí đe dọa tới tính mạng.