Cùng chuyên mục

Tràn mủ màng phổi ở trẻ em: Nguyên nhân, triệu chứng và cách điều trị

Tràn mủ màng phổi ở trẻ em: Nguyên nhân, triệu chứng và cách điều trị

Bệnh trẻ em 17/11/2021 15:31

SKĐS - Tình trạng tràn mủ màng phổi thường gặp ở trẻ em, nhất là ở trẻ bị viêm phổi. Nếu không điều trị đúng và kịp thời có thể gây tình trạng suy hô hấp, dày dính màng phổi và có thể dẫn đến sốc nhiễm trùng.

Viêm mủ màng phổi: dễ bỏ sót, nhiều tai biến

Viêm mủ màng phổi: dễ bỏ sót, nhiều tai biến

Bệnh thường gặp 10/10/2018 06:11

SKĐS - Viêm mủ màng phổi là hiện tượng viêm và ứ mủ trong khoang màng phổi. Nếu không được chẩn đoán và điều trị sớm, bệnh sẽ diễn biến xấu hoặc để lại di chứng nặng cho người bệnh và gây khó khăn cho việc điều trị.

Tác nhân gây viêm màng não mủ

Tác nhân gây viêm màng não mủ

Đời sống 27/06/2017 10:15

SKĐS - Viêm màng não mủ có nhiều nguyên nhân, thường gặp do phế cầu khuẩn, não mô cầu, tụ cầu khuẩn từ tai mũi họng, phổi theo đường máu vào trong não, cũng có thể trực tiếp đi vào não

Trẻ sốt, ho nhiều ngày, cẩn thận viêm mủ màng phổi

Trẻ sốt, ho nhiều ngày, cẩn thận viêm mủ màng phổi

Đời sống 05/04/2016 15:00

SKĐS - Các bác sĩ khuyến cáo, viêm mủ màng phổi không phải là bệnh hiếm gặp và gây ảnh hưởng nặng nề đến hệ hô hấp của trẻ sau này nếu phát hiện và điều trị muộn.

Nhận biết sớm viêm mủ màng phổi - Cách gì?

Nhận biết sớm viêm mủ màng phổi - Cách gì?

Phòng mạch online 30/07/2013 11:00

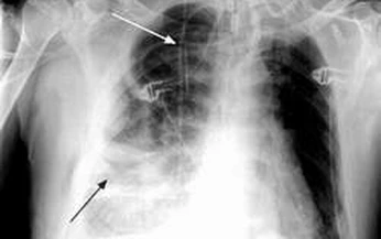
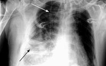
Viêm mủ màng phổi là một bệnh phức tạp, đa dạng và có thể gây nguy hiểm cho người bệnh. Viêm mủ màng phổi là hiện tượng viêm và ứ mủ trong khoang màng phổi.

Bệnh viêm mủ màng phổi cấp tính

Bệnh viêm mủ màng phổi cấp tính

Tin nóng y tế 30/05/2013 14:17

Bố tôi 62 tuổi, sốt cao, khó thở phải điều trị ở bệnh viện, bác sĩ nói bị viêm mủ màng phổi, gia đình tôi rất lo lắng. Mong quý báo tư vấn rõ hơn về bệnh này?

Mối nguy hiểm do viêm mủ màng phổi

Mối nguy hiểm do viêm mủ màng phổi

Tin nóng y tế 31/07/2011 14:10

Viêm mủ màng phổi là tình trạng viêm tràn mủ trong khoang màng phổi. Bệnh diễn tiến cấp tính, bán cấp và mạn tính, gây tổn thương màng phổi toàn thể hay khu trú. Mầm bệnh có thể là vi khuẩn thường, trực khuẩn lao hoặc ký sinh trùng như amip...

Vơi nỗi lo viêm màng não mủ do vi khuẩn Hib

Vơi nỗi lo viêm màng não mủ do vi khuẩn Hib

Đời sống 16/03/2011 07:25

Theo kết quả nghiên cứu của Tổ chức Y tế thế giới (WHO), hằng năm, ước tính khoảng 8 triệu trường hợp viêm phổi, viêm màng não mủ và khoảng 400.000 trẻ tử vong do Hib, điều đáng quan tâm là phần lớn số mắc và tử vong ở các quốc gia có thu nhập thấp.

Nguy cơ do viêm mủ màng phổi

Nguy cơ do viêm mủ màng phổi

Y học 360 11/08/2010 08:17

Viêm mủ màng phổi (VMMP) là sự tràn mủ trong khoang màng phổi. Dịch là mủ thật sự hoặc là chất dịch đục hay màu nâu, nhưng bao giờ cũng có xác bạch cầu đa nhân là thành phần chính của mủ.

PGS.TS. LÊ VĂN TRUYỀN
PGS.TS. LÊ VĂN TRUYỀN
Nguyên Thứ trưởng Bộ Y tế; Phó Chủ nhiệm Ủy ban các vấn đề xã hội của Quốc hội khóa IX (1992-1997); Chuyên gia cao cấp Dược học.
GS.TS PHẠM NHƯ HIỆP
GS.TS PHẠM NHƯ HIỆP
Giám đốc Bệnh viện Trung ương Huế; Giám đốc Bệnh viện TW Huế - Cơ sở 2; Giám đốc Trung tâm Ung bướu; Trưởng khoa Ngoại Nhi & Cấp cứu Bụng
PGS. TS. NGUYỄN VIẾT NHUNG
PGS. TS. NGUYỄN VIẾT NHUNG
Chủ tịch Hội Phổi Việt Nam; Phó chủ tịch Hội Y học Việt Nam; Trưởng khoa Y - Trường ĐH Y Dược - Đại học Quốc gia Hà Nội; nguyên Giám đốc Bệnh viện Phổi Trung ương.
PGS.TS PHẠM VŨ KHÁNH
PGS.TS PHẠM VŨ KHÁNH
Nguyên Cục trưởng Cục quản lý Y Dược cổ truyền, Bộ Y tế
PGS.TS. ĐOÀN HỮU NGHỊ
PGS.TS. ĐOÀN HỮU NGHỊ
Nguyên Giám đốc Bệnh viện E
PGS.TS.BS. NGUYỄN THỊ BÍCH ĐÀO
PGS.TS.BS. NGUYỄN THỊ BÍCH ĐÀO
Phó Giám đốc phụ trách Nội tiết - Chuyển hóa và Dinh dưỡng, Bệnh viện Tim Tâm Đức; Phó Giám đốc chuyên môn tại Bệnh viện Tim Tâm Đức TP.HCM; Phó Chủ tịch Hội Nội tiết và Đái tháo đường Việt Nam; Phó Chủ tịch Hội Đái tháo đường và Nội tiết TP.HCM.
PGS. TS NGUYỄN THANH HÀ
PGS. TS NGUYỄN THANH HÀ
Phó Hiệu trưởng Trường Đại học Y tế công cộng
BSCKII PHẠM THANH PHONG
BSCKII PHẠM THANH PHONG
Phó Giám đốc Bệnh viện Đa khoa Trung ương Cần Thơ; Giám đốc Trung tâm Tim mạch Bệnh viện Đa khoa Trung ương Cần Thơ.

Đặt câu hỏi về bệnh tại đây