Bệnh Sán lợn (lợn gạo)

Ăn tiết canh, nem chua, nem chạo có nhiễm bệnh sán lợn gạo?

Ăn tiết canh, nem chua, nem chạo có nhiễm bệnh sán lợn gạo?

Bệnh thường gặp - 23/01/2024 11:31

SKĐS - Bệnh lợn gạo là bệnh gây ra bởi ấu trùng sán dây lợn, đây là bệnh ký sinh trùng lây truyền giữa động vật và người. Khi người ăn phải trứng hoặc ấu trùng sán lợn sẽ mắc bệnh và có thể gây biến chứng nguy hiểm.

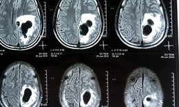
Ăn tiết canh, người đàn ông bị sán làm tổ trong não

Ăn tiết canh, người đàn ông bị sán làm tổ trong não

Camera bệnh viện - 04/07/2019 09:45

SKĐS - Các bác sĩ Bệnh viện Hữu nghị Đa khoa Nghệ An vừa tiếp nhận nam bệnh nhân phát hiện có sán trong não do thói quen ăn tiết canh.

Phân biệt sán dây lợn và sán dây bò

Phân biệt sán dây lợn và sán dây bò

Y học 360 - 07/06/2019 11:14

SKĐS - Thời gian gần đây, sán dây lợn đã được đề cập nhiều qua việc phát hiện nhiều học sinh bị nhiễm bệnh ở tỉnh Bắc Ninh.

Sán dây lợn gây bệnh ở người như thế nào?

Sán dây lợn gây bệnh ở người như thế nào?

Bệnh thường gặp - 23/04/2019 10:49

SKĐS - Bệnh sán dây phổ biến ở nhiều nơi trên thế giới và phụ thuộc vào tập quán ăn uống, quản lý và xử lý nguồn phân thải...

Bệnh sán heo – bệnh sán dải heo có gì đáng lo?

Bệnh sán heo – bệnh sán dải heo có gì đáng lo?

Phòng mạch online - 18/04/2019 11:47

SKĐS - Xin cho hỏi bênh sán dải heo có nguy hiểm không? Cách phòng và trị bệnh sán heo?

Điều trị bệnh sán lợn như thế nào

Điều trị bệnh sán lợn như thế nào

Bệnh thường gặp - 04/04/2019 11:01

SKĐS - Trong thời gian qua, việc phát hiện tình trạng nhiễm sán dây lợn ở học sinh tại tỉnh Bắc Ninh đã làm cho dư luận xã hội nhiều lo lắng.

Thực hư về bệnh sán dây!

Thực hư về bệnh sán dây!

Bệnh thường gặp - 03/04/2019 10:42

SKĐS - Từ một bếp ăn bị phát hiện chế biến thức ăn từ thịt lợn bẩn ở Bắc Ninh, nhiều phụ huynh đã đưa con đi xét nghiệm ký sinh trùng.

Infographic: Tẩy giun đúng cách cho bé

Infographic: Tẩy giun đúng cách cho bé

Đời sống - 31/03/2019 11:42

SKĐS - Bệnh kí sinh trùng giun sán luôn là mối lo ngại đối với các bé. Nhưng không phải bố mẹ nào cũng biết tẩy giun đúng cách cho con. Bộ Y tế đã ban hành quyết định số 6437 về việc hướng dẫn Tẩy giun tại cộng đồng, chỉ dẫn các bậc phụ huynh cách tẩy giun cho bé đạt hiệu quả và dứt điểm.

Nhiễm sán dây lợn: Đừng quá lo lắng, nhưng phải chủ động phòng bệnh

Nhiễm sán dây lợn: Đừng quá lo lắng, nhưng phải chủ động phòng bệnh

Bệnh thường gặp - 30/03/2019 22:39

SKĐS - Nhiễm sán dây lợn là một bệnh gặp chủ yếu ở các nước đang phát triển như ở châu Mỹ la tinh, châu Á (trong đó có nước ta) do điều kiện vệ sinh kém, thói quen ăn thịt lợn chưa nấu chín, trong khi bệnh lây theo đường ăn uống.

Những dấu hiệu cho thấy bạn đã bị nhiễm sán dây

Những dấu hiệu cho thấy bạn đã bị nhiễm sán dây

Đời sống - 27/03/2019 06:40

SKĐS - Thói quen ăn đồ tái, nem, đồ chưa được nấu chín có thể làm tăng nguy cơ bị nhiễm sán dây của bạn. Bệnh sán dây có 2 loại là sán dây lợn và sán dây bò. Bện sán dây có thể ký sinh ở người dưới hình thức sán trưởng thành và ký sinh trùng.

Nhiễm sán dây dài hơn 1m có màu vàng nâu vì thói quen ăn thịt tái

Nhiễm sán dây dài hơn 1m có màu vàng nâu vì thói quen ăn thịt tái

Camera bệnh viện - 25/03/2019 16:04

SKĐS - Viện Sốt rét - Ký sinh trùng - Côn trùng TP. Hồ Chí Minh đã điều trị và tẩy xổ ra sán dây từ bệnh bệnh nhân ở Quận Gò Vấp TP. HCM, người có thói quen hay ăn thịt bò tái.

Làm thế nào để phòng tránh nhiễm ấu trùng sán lợn?

Làm thế nào để phòng tránh nhiễm ấu trùng sán lợn?

Đời sống - 25/03/2019 09:35

SKĐS - Bệnh sán lợn đến nay vẫn còn là nỗi lo lắng của rất nhiều người, nhất là các bậc phụ huynh có con nhỏ. Cùng điểm qua một số lưu ý để phòng tránh nhiễm ấu trùng sán lợn cho bé, đảm bảo sức khỏe gia đình mình nhé.

Bác sĩ tư vấn cách nhận biết và phòng bệnh sán lợn, ai cũng cần đọc

Bác sĩ tư vấn cách nhận biết và phòng bệnh sán lợn, ai cũng cần đọc

Camera bệnh viện - 22/03/2019 07:00

SKĐS - Theo TS. Nguyễn Văn Lâm – Trưởng khoa Truyền nhiễm, BV Nhi Trung ương, sán làm tổ trong não sẽ gây ra hiện tượng co giật và kéo theo nhiều biến chứng nghiêm trọng về sau. Còn với trẻ em sẽ làm ảnh hưởng tới vấn đề học tập và khả năng phát triển của não bộ, đồng thời cũng có thể gây ra những cơn co giật, ngất xỉu đột ngột.

Điểm một số ca bệnh ký sinh trùng ở người cần lưu ý

Điểm một số ca bệnh ký sinh trùng ở người cần lưu ý

Tin nóng y tế - 21/03/2019 13:17

SKĐS - Những ngày qua, các gia đình ở Bắc Ninh đã đổ xô đưa con đi Hà Nội xét nghiệm sán lợn. Tuy nhiên, trên thực tế lâm sàng có nhiều cơ sở y tế đã tiếp nhận và điều trị khá nhiều ca bệnh do ký sinh trùng, có ca bệnh nhiễm ký sinh trùng lan truyền từ động vật lây sang người, có loại ký sinh trùng mà người lại là vật chủ chính.

Phòng và chữa bệnh sán lợn thế nào?

Phòng và chữa bệnh sán lợn thế nào?

Bệnh thường gặp - 20/03/2019 06:12

SKĐS - Bệnh ấu trùng sán lợn là bệnh truyền nhiễm ở mô gây ra bởi ấu trùng (Cysticercus) sán dây lợn (Taeniasolium).

Có bị mất tin nhắn khi trang web Messenger ngừng hoạt động từ ngày 16/4?

Có bị mất tin nhắn khi trang web Messenger ngừng hoạt động từ ngày 16/4?

Xã hội - 04/04/2026 16:37

Meta (công ty mẹ của Facebook, Instagram) xác nhận sẽ ngừng hoạt động trang web Messenger từ ngày 16/4/2026. Sau thời điểm này, người dùng truy cập web Messenger sẽ được chuyển đến mục nhắn tin trên Facebook để tiếp tục sử dụng.

Khởi tố Chu Thị Hòa vì sản xuất giá đỗ chứa chất cấm, tuồn ra thị trường khoảng 510 tấn

Khởi tố Chu Thị Hòa vì sản xuất giá đỗ chứa chất cấm, tuồn ra thị trường khoảng 510 tấn

Pháp luật - 04/04/2026 15:33

SKĐS - Quá trình điều tra xác định, từ đầu năm 2024 đến tháng 3/2026, cơ sở của Chu Thị Hòa đã sản xuất và đưa ra thị trường khoảng 510 tấn giá đỗ chứa chất cấm 6-BAP.

Cục trưởng Cục ATTP: Chưa thể khẳng định thịt lợn gạo gây sán lợn ở trẻ em Bắc Ninh

Cục trưởng Cục ATTP: Chưa thể khẳng định thịt lợn gạo gây sán lợn ở trẻ em Bắc Ninh

Thời sự - 19/03/2019 15:33

SKĐS - Chiều 19/3, tại Bắc Ninh đã diễn ra buổi làm việc của Đoàn Công tác Bộ Y tế với UBND tỉnh Bắc Ninh về vụ việc hàng trăm trẻ em nhiễm sán lợn gây nhiều lo lắng cho dư luận những ngày qua.

Chấn chỉnh bữa ăn trường học sau vụ hàng loạt học sinh Bắc Ninh nhiễm sán lợn

Chấn chỉnh bữa ăn trường học sau vụ hàng loạt học sinh Bắc Ninh nhiễm sán lợn

Thời sự - 19/03/2019 14:36

SKĐS - Ngày 19/3, Bộ GD&ĐT đã có công văn gửi UBND các tỉnh, thành phố về tăng cường chỉ đạo công tác đảm bảo vệ sinh, an toàn thực phẩm trong các cơ sở giáo dục.

Xét nghiệm sán lợn - Hiểu thế nào cho đúng?

Xét nghiệm sán lợn - Hiểu thế nào cho đúng?

Phòng mạch online - 19/03/2019 11:36

SKĐS - Sự việc nhiều trẻ ở Bắc Ninh được phát hiện dương tính với sán lợn khiến nhiều phụ huynh lo lắng, tuy nhiên, PGS.TS. Đỗ Duy Cường - Giám đốc Trung tâm Bệnh Nhiệt đới (BV Bạch Mai) cho rằng, việc điều trị căn bệnh này không quá khó khăn, do đó cha mẹ cần bình tĩnh. Để phòng bệnh, biện pháp tốt nhất hiện nay là ăn thức ăn chín và uống sôi, thì cả trứng lẫn ấu trùng sán sẽ bị tiêu diệt và không bị bệnh.

669 cháu được lấy máu xét nghiệm sán lợn tại Thuận Thành, phụ huynh nói gì?

669 cháu được lấy máu xét nghiệm sán lợn tại Thuận Thành, phụ huynh nói gì?

Tin nóng y tế - 18/03/2019 21:10

SKĐS - Sáng nay 18/3, Thanh Khương và Mão Điền là 2 địa phương đầu tiên của huyện Thuận Thành thực hiện lấy máu xét nghiệm sán lợn. Theo đó, trong ngày hôm nay đã có 669 trẻ được lấy mẫu máu xét nghiệm tại hai địa phương này.

Ấu trùng sán lợn sẽ chết khi đun sôi trong vòng 2 phút

Ấu trùng sán lợn sẽ chết khi đun sôi trong vòng 2 phút

Tin nóng y tế - 18/03/2019 15:52

SKĐS - Thông thường, ấu trùng sán lợn sẽ chết khi được đun nấu ở nhiệt độ 75 độ C trong vòng 5 phút hoặc đun sôi trong vòng 2 phút. Chính vì thế, Bộ Y tế khuyến cáo người dân thực hiện ăn chín, uống chín, ăn các thức ăn đã được nấu chín kỹ, chế biến hợp vệ sinh.

Vụ học sinh nhiễm sán ở Bắc Ninh: Thủ tướng giao Bộ Công an điều tra

Vụ học sinh nhiễm sán ở Bắc Ninh: Thủ tướng giao Bộ Công an điều tra

Tin nóng y tế - 18/03/2019 15:28

SKĐS - Tại cuộc họp sáng 18/3, Thủ tướng Nguyễn Xuân Phúc yêu cầu Bộ trưởng Bộ Y tế điều động ngay các bác sỹ và lực lượng chuyên môn cùng với thiết bị về Bắc Ninh để xét nghiệm sán lợn cho học sinh các trường học ở huyện Thuận Thành tỉnh Bắc Ninh, không để lặp lại tình trạng hàng trăm gia đình phải đưa các em về Hà Nội xếp hàng làm xét nghiệm từ 3 giờ sáng.

Ngày Sức khỏe toàn dân 7/4: Lan toả tinh thần chủ động phòng bệnh, chăm sóc sức khỏe liên tục theo vòng đời ĐƯA NGHỊ QUYẾT SỐ 72-NQ/TW CỦA BỘ CHÍNH TRỊ VÀO CUỘC SỐNG

Ngày Sức khỏe toàn dân 7/4: Lan toả tinh thần chủ động phòng bệnh, chăm sóc sức khỏe liên tục theo vòng đời

SKĐS - Việc lựa chọn chủ đề "Chủ động phòng bệnh – Vì một Việt Nam khỏe mạnh" của Ngày Sức khoẻ toàn dân 7/4 đầu tiên của Việt Nam cho thấy rõ ưu tiên của ngành y tế trong giai đoạn hiện nay: chuyển từ tư duy tập trung vào điều trị sang chủ động phòng bệnh, chăm sóc sức khỏe liên tục theo vòng đời...

Ngày Sức khỏe toàn dân 7/4: Lưu ý chăm sóc dinh dưỡng cho người cao tuổi Việt Nam NGÀY SỨC KHỎE TOÀN DÂN 7/4

Ngày Sức khỏe toàn dân 7/4: Lưu ý chăm sóc dinh dưỡng cho người cao tuổi Việt Nam

SKĐS - Già hóa dân số đang làm gia tăng gánh nặng bệnh không lây nhiễm tại Việt Nam. Hưởng ứng Ngày Sức khỏe toàn dân 7/4, các chuyên gia nhấn mạnh, dinh dưỡng hợp lý không chỉ là nhu cầu cơ bản mà còn là “liệu pháp nền” giúp người cao tuổi kiểm soát bệnh tật, hạn chế suy giảm chức năng và nâng cao chất lượng sống.

Du lịch y tế Việt Nam: Đẩy nhanh xây dựng đề án, phát huy lợi thế cạnh tranh CHỈ ĐẠO, ĐIỀU HÀNH CỦA LÃNH ĐẠO BỘ Y TẾ

Du lịch y tế Việt Nam: Đẩy nhanh xây dựng đề án, phát huy lợi thế cạnh tranh

SKĐS - Với nhiều lợi thế về chuyên môn kỹ thuật, chi phí hợp lý và hệ thống y tế ngày càng phát triển, Việt Nam đang đứng trước cơ hội thúc đẩy du lịch y tế trở thành lĩnh vực dịch vụ có giá trị. Tuy nhiên, để phát triển bền vững, cần hoàn thiện đề án với định hướng rõ ràng, đồng bộ về chính sách...

Người nữ chiến sĩ quân y và những câu chuyện xẻ dọc Trường Sơn đi cứu nước Cuộc thi SỰ HY SINH THẦM LẶNG Lần thứ VII

Người nữ chiến sĩ quân y và những câu chuyện xẻ dọc Trường Sơn đi cứu nước

SKĐS - Qua những buổi gặp mặt Nữ chiến sĩ quân y B3 - Tây Nguyên, tôi có dịp được lắng nghe trung tá, bác sĩ Trần Thị Thục Oanh cùng đồng đội ôn lại ký ức thời chiến. Đó là những kỷ niệm khó quên về một thời trận mạc, xẻ dọc Trường Sơn...

Ngày Sức khỏe toàn dân 7/4: Cà Mau đưa y tế đến gần dân, phát hiện sớm bệnh tật Thông tin y tế 34 tỉnh, thành

Ngày Sức khỏe toàn dân 7/4: Cà Mau đưa y tế đến gần dân, phát hiện sớm bệnh tật

SKĐS - Từ ngày 4/4, Cà Mau triển khai nhiều hoạt động hưởng ứng Ngày Sức khỏe toàn dân 7/4, qua đó lan tỏa tinh thần chủ động phòng bệnh, nâng cao ý thức chăm sóc sức khỏe trong cộng đồng.

Phòng mạch online

Cơ thể bạn sẽ thay đổi ra sao khi uống nước chanh ấm mỗi sáng

SKĐS - Uống nước chanh ấm mỗi sáng là thói quen được nhiều người áp dụng với kỳ vọng cải thiện sức khỏe. Theo các chuyên gia, thức uống này có thể hỗ trợ tiêu hóa, bổ sung vitamin C và góp phần thúc đẩy quá trình trao đổi chất nếu sử dụng đúng cách.