Chăm sóc sau cấy ghép implant

23-09-2010 08:10 | Bệnh thường gặp
google news

Implant nha khoa (dental implant) là một chân răng nhân tạo được sử dụng để nâng đỡ phục hình (thân răng giả, hàm giả) ở trên. Implant nha khoa được chỉ định cho hầu hết các trường hợp mất răng.

Implant nha khoa ngày nay đang dần dần trở thành một khái niệm quen thuộc với các bệnh nhân bị mất răng. Tuy nhiên, nếu implant nha khoa không được chỉ định đúng, khi thực hiện kỹ thuật bị sai, đặc biệt là trong quá trình sử dụng nếu chúng ta không biết cách bảo quản đúng thì có thể dẫn đến thất bại sớm, cần phải thay thế do mô xương và niêm mạc xung quanh implant đều có khả năng bị bệnh.

Những trường hợp nên và không nên dùng implant nha khoa

Implant nha khoa (dental implant) là một chân răng nhân tạo được sử dụng để nâng đỡ phục hình (thân răng giả, hàm giả) ở trên. Implant nha khoa được chỉ định cho hầu hết các trường hợp mất răng. Mất một răng và mất các răng hàm lớn là những chỉ định implant thường gặp nhất. Thiếu lưu giữ cho hàm tháo lắp. Tăng ổn định cho hàm tháo lắp. Bệnh nhân vì lí do tâm lý không muốn đeo hàm tháo lắp mặc dù có chỉ định đeo hàm tháo lắp. Những rối loạn cận chức năng làm mất ổn định hàm tháo lắp. Vì lí do tại chỗ hoặc số lượng mất răng không thích hợp để làm cầu. Mất một răng và các răng bên cạnh không bị tổn thương. Thiếu răng. Mục đích điều trị bảo tồn không muốn mài các răng bên cạnh.

Implant nha khoa tuyệt đối không áp dụng cho những bệnh nhân có rối loạn tâm thần không thể phẫu thuật cấy ghép implant; bệnh tim mạch có nguy cơ: xơ vữa động mạnh, hở van tim...; bệnh toàn thân không kiểm soát: đái tháo đường không được kiểm soát, thiểu năng tuyến yên, tuyến thượng thận, loạn sản xơ, bệnh Paget...;  bệnh nhân trong giai đoạn đang tăng trưởng, nghiện rượu. Cần cân nhắc khi người bệnh bị thiếu thể tích hoặc chất lượng xương, thiếu khoảng liên hàm, đang điều trị tia xạ, nghiện thuốc lá.

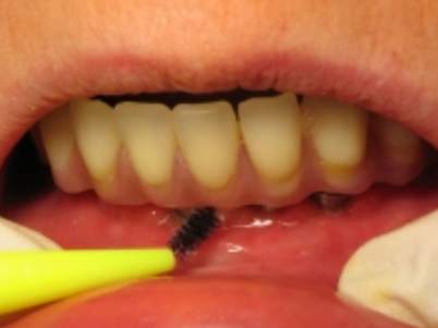
 Sử dụng bàn chải kẽ để vệ sinh hàm giả trên implant nha khoa.

Những việc cần làm sau cấy ghép implant

Vệ sinh răng miệng: Mục đích của vệ sinh răng miệng là để loại bỏ mảng bám vi khuẩn. Nha sĩ cần hướng dẫn cho bệnh nhân phương pháp chải răng đúng, lựa chọn bàn chải và thuốc chải răng phù hợp.

Đối với các răng giả có thể sử dụng các dụng cụ vệ sinh răng miệng thông thường như bàn chải, chỉ tơ nha khoa, bàn chải kẽ răng...

Đối với vùng tiếp xúc giữa implant và niêm mạc, cần sử dụng các dụng cụ chuyên biệt để loại bỏ mảng bám vi khuẩn dưới lợi như bàn chải mềm, bàn chải điện, bàn chải kẽ răng, chỉ tơ nha khoa.

Cần phải sử dụng kem chải răng ít mài mòn, không được sử dụng kem chải răng có chứa acid fluor vì acid này có thể gây mòn bề mặt implant bằng titan. Kem chải răng có chứa Na fluor hoặc fluor trung tính thì có thể được sử dụng.

Thuốc súc miệng có chứa kháng sinh như chlorhexidin có thể được sử dụng trong thời gian ngắn ở các vùng khó thâm nhập và/hoặc có dấu hiệu viêm.

Tăm nước (máy rửa răng) với các thuốc chống mảng bám hoặc kháng khuẩn có thể khuyên được sử dụng ở các bệnh nhân có kỹ năng chải răng bằng tay kém hoặc có túi quanh implant hoặc mặt bên của implant.

Tránh hút thuốc lá. Đối với các bệnh nhân có thói quen hút thuốc lá trước khi tiến hành cấy ghép implant, cần có chương trình ngừng hút thuốc lá cho bệnh nhân. Những bệnh nhân bị nghiện thuốc lá không thể cai nghiện được đôi khi không nên cấy ghép implant vì khả năng thất bại cao.

Theo dõi kết quả điều trị tại các phòng nha: Việc bảo quản implant nha khoa cần có sự phối hợp giữa nha sĩ và bệnh nhân. Vệ sinh răng miệng tại nhà của bệnh nhân thì chưa đủ. Cần phải có sự phối hợp giữa nha sĩ và bệnh nhân ngay từ lúc vừa cấy ghép implant và suốt trong quá trình sử dụng implant.

Bảo quản tức thì ngay sau phẫu thuật: Nhằm mục đích tránh tích tụ mảng bám xung quanh trụ implant và mũ liền thương. Trong tuần đầu tiên sau phẫu thuật cần sử dụng nước súc miệng có chứa kháng sinh. Sau 8-10 ngày liền thương, cắt chỉ, bệnh nhân có thể bắt đầu chải trụ implant và niêm mạc quanh implant với các bàn chải mềm sau phẫu thuật. Sau 15 ngày cần được kiểm tra lại tại phòng khám và sau đó định kỳ hằng tháng cho đến khi lắp răng giả.

Bảo quản lâu dài sau khi đã có răng giả: Sau khi đã lắp phục hình (răng giả) cần đi thăm khám định kì để đánh giá tình trạng sức khỏe và chất lượng mô quanh implant và phục hình. Thăm khám định kì để nha sĩ kiểm tra kết quả bằng phim Xquang, kiểm soát kết quả vệ sinh răng miệng, lấy cao răng và mảng bám răng.

Khám định kỳ sau cấy ghép implant như thế nào?

Năm đầu tiên, khám định kỳ 1 lần/3 tháng. Những năm tiếp theo, 1 lần/6 tháng khám định kì đối với bệnh nhân có khoang miệng khỏe mạnh, 1 lần/3 tháng đối với bệnh nhân có bệnh nha chu hoặc tổn thương quanh implant. Số lần đi khám định kì phụ thuộc vào tình trạng sức khỏe nha chu, tình trạng mô quanh implant, hiệu quả kiểm soát mảng bám, mức độ cao răng và mảng bám răng, loại phục hình.

Phim Xquang cần được chụp ngay sau cấy ghép trụ implant và đặt phục hình. Sau đó, sau 6 tháng chụp kiểm tra lại và định kỳ 1 lần/năm (hoặc 2 năm) sau 1 năm thực hiện chức năng. So sánh phim Xquang trước và sau cho phép chúng ta xác định được mức xương quanh implant. Tiêu xương 1-1,5mm năm đầu tiên, sau đó 0,1-0,2mm mỗi năm tiếp theo được coi như là bình thường.

Bảo quản implant nha khoa trong miệng tốt là một yêu cầu cần thiết khi điều trị mất răng bằng implant. Giữ gìn vệ sinh răng miệng tốt, khám theo dõi định kì đầy đủ là cần thiết để tạo ra một môi trường miệng sạch, giúp đạt được kết quả lâu dài.

ThS. Võ Trương Như Ngọc


Ý kiến của bạn