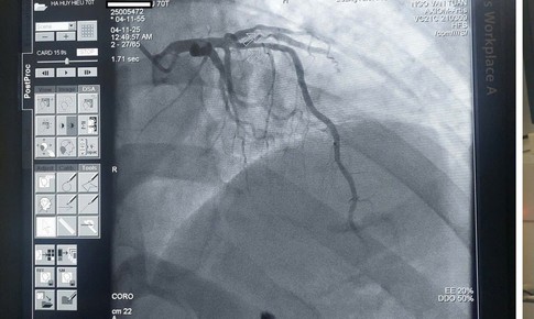
can thiệp đặt stent mạch vành

Hồi sinh sự sống cho cụ ông 70 tuổi bị nhồi máu cơ tim cấp trong đêm

Hồi sinh sự sống cho cụ ông 70 tuổi bị nhồi máu cơ tim cấp trong đêm

Y tế - 05/11/2025 13:44

SKĐS - Mới đây, vào đêm 3/11, đội ngũ y bác sĩ của Bệnh viện Đa khoa khu vực Cẩm Phả (tỉnh Quảng Ninh) đã "hồi sinh sự sống" cho cụ ông Hà Huy H (70 tuổi, trú tại phường Mông Dương) bị nhồi máu cơ tim cấp nguy kịch...