Cách giữ răng luôn trong tình trạng tốt nhất

15-06-2020 15:01 | Bệnh người cao tuổi
google news

SKĐS - Sức khỏe răng miệng rất quan trọng đối với cơ thể và liên quan tuổi thọ của một cá nhân. Vậy người cao tuổi cần lưu ý những gì trong việc chăm sóc răng miệng?

Các bệnh răng miệng ở người cao tuổi

Nếu ở giai đoạn trẻ nhỏ và thiếu niên nguy cơ cao nhất là sâu răng thì đối với người cao tuổi lại cần đề phòng mắc các bệnh về nướu (nha chu), mòn cổ răng, sâu chân răng, ung thư miệng. Nhiều yếu tố có thể tạo điều kiện thuận lợi cho bệnh răng miệng ở người cao tuổi như:

Khô miệng

Khô miệng là một vấn đề không hề nhỏ ở người cao niên, có thể liên quan đến thuốc và bệnh mạn tính. Nước bọt chứa các khoáng chất và tế bào miễn dịch giúp bảo vệ răng miệng, tránh sâu răng và nhiễm trùng. Vì vậy với xu hướng giảm lượng nước bọt, người cao tuổi sẽ dễ gặp các vấn đề về răng miệng. Thiếu nước bọt không chỉ có hại hơn cho răng mà còn ảnh hưởng tới tiêu hóa. Để khắc phục, người cao tuổi cần chú ý uống nhiều nước, không bao giờ đợi cảm thấy khát mới uống và trao đổi với bác sĩ nha khoa về các biện pháp  kiểm soát khô miệng khác.

Bệnh tật

Một số bệnh có liên quan hoặc ảnh hưởng đến sức khỏe răng miệng của bệnh nhân lớn tuổi như: ung thư, tiểu đường và bệnh tim mạch. Sức khỏe răng miệng kém ngược lại sẽ làm cho bệnh trầm trọng hơn. Do đó, điều quan trọng khi đi khám nha khoa là phải thông báo cho nha sĩ biết bệnh nền, để có giải pháp điều trị phù hợp.

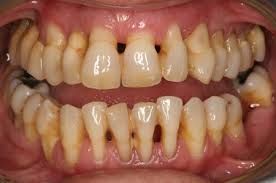
Cách giữ răng luôn trong tình trạng tốt nhấtTụt nướu gây ê buốt và sâu chân răng.

Tác dụng của thuốc

Người cao tuổi thường phải dùng nhiều loại thuốc cùng một lúc. Một số loại thuốc có thể tác động đến khoang miệng, gây khô miệng như thuốc chống trầm cảm, thuốc trị Parkinson, thuốc kierm soát huyết áp, thuốc trị tiểu đường, bisphosphonates...

Thay đổi nướu

Khi già đi, nướu cũng bị thoái hóa dẫn tới dễ mắc các bệnh về nướu, tụt nướu dẫn tới tăng độ nhạy cảm của răng, sâu chân răng. Do đó, điều quan trọng hơn là phải điều chỉnh cách chăm sóc răng miệng để giữ cho răng luôn ở tình trạng tốt nhất.

Lời khuyên hữu ích để giữ cho răng ở tình trạng tốt nhất

Hạn chế đồ ăn chứa nhiều tinh bột và thức uống ngọt, đặc biệt tránh chất tạo ngọt nhân tạo.

Vệ sinh răng miệng mỗi ngày bằng bàn chải (2 lần/ngày), dùng chỉ nha khoa để ngừa mảng bám và bệnh sâu răng, nha chu.

Khám răng miệng thường xuyên để phát hiện và điều trị bất kỳ vấn đề nha khoa tiềm ẩn nào ở giai đoạn sớm nhất.

Nếu hút thuốc, hãy bỏ thuốc lá. Những người hút thuốc đặc biệt dễ mắc bệnh nướu răng, ung thư miệng.

Chăm sóc các vấn đề răng miệng: Cần để ý tới các miếng trám răng cũ để đến nha sĩ kịp thời nếu bị bong. Nếu đeo răng giả, phải đảm bảo giữ răng giả sạch sẽ và làm theo hướng dẫn chăm sóc răng giả của nha sĩ.

Chế độ ăn uống cân bằng với thực phẩm tăng cường miễn dịch: Một chế độ ăn uống cân bằng, lành mạnh sẽ tốt cho sức khỏe tổng thể và giúp răng luôn trong tình trạng tốt hơn. Các thực phẩm lên men giúp cân bằng vi khuẩn miệng, bao gồm phô mai, bơ, sữa chua, các loại rau muối chua. Một số thực phẩm có thể giúp tăng cường hệ miễn dịch bao gồm tỏi (tươi, sống), dầu dừa, rau xanh và tảo xoắn. Vitamin D3 cũng có ích cho hệ miễn dịch, nhưng nhiều người bị thiếu hụt một cách đáng ngạc nhiên. Hãy thường xuyên ra ngoài đi bộ dưới ánh mặt trời mỗi ngày để giúp củng cố khả năng phòng vệ tự nhiên của cơ thể.


BS. Lê Trinh
Ý kiến của bạn