BV K: Triển khai nhiều kỹ thuật cao điều trị u não, u thần kinh

17-02-2017 09:03 | Camera bệnh viện
google news

SKĐS - Mặc dù mới đi vào hoạt động từ đầu năm 2017 nhưng các bác sĩ Khoa Ngoại thần kinh, BV K Trung ương – cơ sở 3 Tân Triều đã tiếp nhận, điều trị nhiều ca bệnh phức tạp về các bệnh lý u não, u cột sống, u thần kinh cũng như nhiều bệnh lý về thần kinh khác; đồng thời có sự hợp tác chuyên sâu với các chuyên gia quốc tế.

Mới đây, đoàn chuyên gia Mỹ về u não từ Trung tâm y khoa Oschner, News Orleans đã đến làm việc tại BV. Hai bên đã chia sẻ nhiều kinh nghiệm quý báu, cập nhật các kỹ thuật hiện đại, kiến thức y khoa mới nhất trong chẩn đoán và điều trị bệnh lý u não giúp nâng cao chất lượng điều trị cho người bệnh.

Những ca bệnh thách thức phẫu thuật viên

Ca mổ sáng 16/2/2017 là một bệnh nhân (BN) mắc u não rất sâu, BN rối loạn thăng bằng, u vùng bán cầu tiểu não và liên quan đến rất nhiều dây thần kinh sọ não. ThS.BS Nguyễn Đức Liên, Phụ trách Khoa Ngoại thần kinh cho biết: Các bác sĩ đã sử dụng nhiều trang thiết bị hiện đại trong phẫu thuật như kính hiển vi phẫu thuật, dùng các máy kích thích thần kinh để dò chức năng thần kinh nhằm bảo vệ các dây thần kinh của BN sau mổ. Ngoài ra còn có thiết bị rất hiện đại máy hút u  siêu âm làm giảm thiểu các động tác hút cơ học giảm các sang chấn cho người bệnh. Với trang thiết bị hiện đại và các chuyên gia có kinh nghiệm, ca mổ diễn ra khá suôn sẻ.

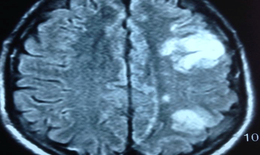
Trước đó, ngày 13/2, các bác sĩ cũng đã tiến hành phẫu thuật thành công cho BN Bùi Thị Phú, 54 tuổi, quê Hải Phòng bị bệnh u màng não ở vùng vận động. BN nhập viện trong tình trạng trí nhớ kém, liệt tay, chân yếu không đi lại được, kích thước khối u lớn khoảng 7cm nằm ở vùng vận động, vùng ngôn ngữ. Các bác sĩ đã sử dụng kỹ thuật mổ dưới kính hiển vi hiện đại, dùng hệ thống thần kinh dẫn đường để xác định cấu trúc não quan trọng và vùng ranh giới nguy hiểm. Sau 4 ngày, tình trạng BN cải thiện, BN ngồi dậy được, tay cử động khỏe hơn, trí nhớ tốt, nhận biết và nói chuyện bình thường. Hiện BN đang được các bác sĩ hướng dẫn tập thay đổi tư thế, tập đi, tập các cơ phục hồi chức năng.

u nãoBS. Liên thăm khám cho bệnh nhân Phú sau mổ u màng não ngày thứ 4.

ThS. Liên cho biết, với bệnh lý u màng não như BN Phú, thì lựa chọn số 1 là phẫu thuật. Nếu lấy toàn bộ khối u kèm theo màng não bệnh lý thì có thể chữa khỏi cho BN. “Tùy thuộc vào vị trí khối u – nếu khối u liên quan đến vùng chức năng hoặc vị trí liên quan đến cấu trúc mạch não nguy hiểm, vị trí u ở sâu thì mặc dù là u lành tính nhưng việc đề ra chiến lược điều trị là thách thức với phẫu thuật viên. Do vậy cần phải hội chẩn với nhiều chuyên gia có kinh nghiệm để đưa ra thái độ điều trị đảm bảo chất lượng cuộc sống tốt nhất so với trước điều trị”- ThS. Liên nói.

Một trường hợp khác, BN Trần Trung H, 9 tuổi, mổ u vùng giao thị giác – một trong những loại u khó nhất, là thách thức với các phẫu thuật viên và bác sĩ điều trị. Kết quả sinh thiết khối u cho thấy đây là u lành tính nhưng khối u đã chèn ép gây giãn não thất, trong khi chức năng thị lực còn tốt. Đây là ca bệnh khó đòi hỏi phải cân nhắc giữa biện pháp mổ lấy u, điều trị gamma knife, hay là điều trị hóa chất…?. Sau khi hội chẩn với các bác sĩ trong BV và đoàn chuyên gia Mỹ, các bác sĩ xác định đây là u lành, diễn biến chậm, thị lực còn tốt nên đã quyết định điều trị tình trạng giãn não thất trước, sau đó chụp lại theo dõi tiếp sự phát triển và cho hướng điều trị tốt hơn.

Đảm bảo chất lượng cuộc sống sau mổ

ThS. Liên cho biết, hiện nay, Khoa Ngoại thần kinh đã triển khai, tiếp nhận, điều trị nhiều ca bệnh khó về u não, u cột sống. Các bác sĩ ngoại thần kinh cũng phối hợp chặt chẽ với các bác sĩ ung bướu thần kinh, các bác sĩ xạ trị, xạ phẫu nhằm nâng cao chất lượng điều trị và sự hài lòng cho BN. Việc điều trị được thực hiện theo phương thức đa mô thức, phối hợp hóa chất, xạ trị, xạ phẫu để làm tăng thời gian sống cũng như giảm tỉ lệ thương tật cho BN.

u màng nãoCác bác sĩ đang phẫu thuật cho bệnh nhân u não - tại BV K cơ sở 3 Tân Triều.

“Phẫu thuật u não có rất nhiều vấn đề đặt ra, ngoài lấy khối u các nhà phẫu thuật viên cần phải quan tâm đến vấn đề về mặt chức năng của BN để đảm bảo chất lượng cuộc sống sau mổ. Bên cạnh đó, việc phẫu thuật u não phụ thuộc rất lớn vào bản chất u, do vậy điều trị u não có u lành chỉ cần một phẫu thuật; nhưng có u độ 3 độ 4 cần phối hợp các chuyên khoa về điều trị nội ung thư, điều trị hóa chất, xạ trị, tia xạ ung thư để làm tăng thời gian sống cho BN cũng như nâng cao chất lượng sống cho người bệnh”- ThS. Liên chia sẻ.

Hiện nay, BV K Trung ương đã triển khai thường quy mổ u não 100% dưới kính hiển vi, dùng hệ thống định vị thần kinh dẫn đường trong mổ để giúp nhà phẫu thuật biết chính xác bờ ranh giới u, do đó lấy tối đa được khối u. Ngoài ra giúp các nhà phẫu thuật định vị được chức năng để bảo vệ được cấu trúc trong mổ và giúp ích sau mổ BN tái hòa nhập cuộc sống sớm nhất.

Trao đổi với đoàn chuyên gia Mỹ về ung bướu thần kinh tại BV K cơ sở Tân Triều.


u thần kinhCác chuyên gia hội chẩn một ca bệnh.

Là một trong số các chuyên gia của đoàn chuyên gia Mỹ, GS.BS phẫu thuật thần kinh Bùi Quốc Cường đến từ Trung tâm y khoa Oschner cho hay, ông đã từng có nhiều năm làm việc tại Trung tâm y khoa Oschner và muốn trở về quê hương để cùng chia sẻ, học hỏi kinh nghiệm về các bệnh lý, trong đó có bệnh lý thần kinh với các bác sĩ Việt Nam. GS. Cường cho rằng, ca bệnh nào cũng rất quan trọng song đứng trước một ca bệnh khó, các bác sĩ hai bên sẽ cùng thảo luận chặt chẽ, mục tiêu là đưa ra được kết luận chuyên môn có tính chính xác nhất cho người bệnh, nâng cao chất lượng điều trị.

"Chúng tôi đã thường xuyên trao đổi qua email các ca bệnh khó với các bác sĩ Việt Nam, và chúng tôi rất hi vọng được hợp tác dài lâu với các bác sĩ ung bướu thần kinh Việt Nam trong tương lai"- GS. Cường nói.


Dương Hải
Ý kiến của bạn