Bệnh viện Ung bướu Hà Nội

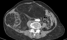
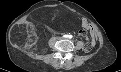
Khối u tuyến thượng thận: Khi nào cần mổ, khi nào chỉ theo dõi?
Y tế - 17/10/2025 09:35Tuyến thượng thận là hai tuyến nội tiết nhỏ nằm trên mỗi quả thận, kích thước khoảng 4-6cm chiều dài, bề dày chỉ 0,2-0,6cm nhưng lại đóng vai trò vô cùng quan trọng trong việc sản xuất hormon điều hòa huyết áp, cân bằng nước – điện giải, chuyển hóa và phản ứng stress của cơ thể.

Bệnh nhân ung thư đường tiêu hóa được điều trị bằng giải pháp mới
Y tế - 04/09/2025 15:34SKĐS - Thông tin từ Bệnh viện Ung bướu Hà Nội ngày 4/9 cho biết các bác sĩ Khoa Ngoại Tổng hợp của bệnh viện vừa thực hiện thành công ca phẫu thuật cắt bỏ toàn bộ ống dạ dày và tái tạo lại thực quản bằng đoạn đại tràng cho một bệnh nhân có tiền sử phẫu thuật cắt thực quản do ung thư.

Bệnh nhân 'nửa nằm, nửa ngồi' trong ca phẫu thuật ung thư dạ dày
Y tế - 21/08/2025 13:58SKĐS - Một ca phẫu thuật đặc biệt vừa được thực hiện thành công tại Bệnh viện Ung Bướu Hà Nội, mang lại cơ hội sống cho bệnh nhân cao tuổi mắc ung thư dạ dày trong tình trạng gù vẹo cột sống nặng.

Đau tức vùng bụng trái, tiểu ra máu, đi khám phát hiện khối u thận 'khủng'
Y tế - 15/08/2025 12:03SKĐS - Sáng 15/8, thông tin từ Bệnh viện Ung bướu Hà Nội cho biết, các bác sĩ của bệnh viện vừa thực hiện thành công ca phẫu thuật loại bỏ khối u thận trái kích thước lớn kèm huyết khối xâm lấn tĩnh mạch chủ dưới cho bệnh nhân nữ 68 tuổi.

Suýt mất mạng vì chủ quan với bướu giáp lành tính
Y tế - 08/08/2025 17:31SKĐS - Bệnh nhân N.T.G. (70 tuổi) được chẩn đoán có khối u tuyến giáp từ trước nhưng không điều trị do u phát triển chậm và không gây đau. Tuy nhiên, gần đây, khối u tăng kích thước nhanh, gây khó thở, khàn giọng, nuốt vướng và ho kéo dài, bệnh nhân phải nhập viện gấp...

Cắt khối u hiếm gặp, cứu bệnh nhân suy tim độ III, phải ngủ ngồi
Y tế - 11/07/2025 16:44SKĐS - Nữ bệnh nhân 72 tuổi ở Hà Nội có khối u hiếm gặp, đang điều trị suy tim độ III. Trước khi vào viện 2 ngày, bệnh nhân nuốt vướng, khó thở rít nhiều, tăng dần, phải ngủ ở tư thế ngồi...

Phó Chủ tịch Quốc hội thăm, chúc mừng Viện Vệ sinh dịch tễ Trung ương và BV Ung bướu Hà Nội
Y tế - 26/02/2025 15:19SKĐS - Sáng 26/2, nhân dịp kỷ niệm 70 năm Ngày Thầy thuốc Việt Nam (27/2/1955 - 27/2/2025), Phó Chủ tịch Quốc hội Nguyễn Thị Thanh đã đến thăm, chúc mừng đội ngũ cán bộ, bác sĩ, nhân viên y tế tại Viện Vệ sinh dịch tễ Trung ương và Bệnh viện Ung bướu Hà Nội.

Những bệnh ung thư nào mắc phổ biến ở nước ta?
Y tế - 08/11/2024 15:18SKĐS - Tại Việt Nam, theo báo cáo từ GLOBOCAN năm 2022, mỗi năm có 180.480 ca ung thư mới được phát hiện. Đồng thời, số trường hợp tử vong vì ung thư lên đến 120.184 ca. Đây là một tỷ lệ đáng báo động, đặt Việt Nam ở vị trí thứ 20 về tỷ lệ mắc mới tại châu Á, và thứ 101 trên toàn cầu.

Nữ bệnh nhân khó thở nhưng không đi khám, khi đến viện bác sĩ 'lấy ra' khối u hơn 2 kg
Y tế - 30/09/2024 15:57SKĐS - Nữ bệnh nhân ở Thái Nguyên có triệu chứng khó thở tăng dần nhưng vẫn chần chừ đi khám, đến khi sức khỏe giảm sút nghiêm trọng, sụt 5 kg thì mới đến viện. Kết quả thăm khám cho thấy bệnh nhân có khối u đặc đè xẹp phổi, thâm nhiễm trung thất, thành ngực.

Cứu sống bệnh nhân có khối ung thư buồng trứng 'khủng' hơn 7kg, đối diện nguy cơ tử vong
Y tế - 30/08/2024 21:55SKĐS - Nữ bệnh nhân tên H., 53 tuổi, trú tại quận Hoàng Mai, Hà Nội "mang" khối ung thư buồng trứng "khổng lồ", nặng hơn 7 kg, đường kính lên tới 40 cm, choán hết ổ bụng khiến bệnh nhân khó thở, tràn dịch màng phổi, đối diện nguy cơ tử vong nếu không được phẫu thuật kịp thời.

Đeo khối u 'khủng' trên mặt 14 năm, người phụ nữ đối mặt nhiều nguy cơ
Y tế - 14/08/2024 10:16SKĐS - Khối u trên má phải đã xuất hiện trên mặt từ cách đây 14 năm nhưng người phụ nữ chưa từng đi khám hay điều trị. Gần đây thấy khối u to quá nhanh gây đau, khó há miệng, cơ thể suy nhược, sút cân nhanh nên bà mới đi khám thì khối u đã bị vỡ, chảy máu trong...

Từ chối phẫu thuật sớm, nữ bệnh nhân khi nhập viện đã suy kiệt, bác sĩ 'lấy ra' khối u buồng trứng nặng 3kg
Y tế - 14/05/2024 15:09SKĐS - Hơn một năm trước, nữ bệnh nhân 63 tuổi ở Hà Nội phát khối u buồng trứng kèm theo polyp lớn buồng tử cung gây chảy máu nhiều, nhưng khi bác sỹ khuyên phẫu thuật sớm, bệnh nhân đã từ chối và về nhà tự uống thuốc theo những lời mách bảo truyền miệng...

Phó Thủ tướng Trần Hồng Hà thăm, động viên bệnh nhân ung thư không thể về quê đón Tết
Y tế - 08/02/2024 22:17SKĐS - Chiều 8/2 (tức 29 Tết Giáp Thìn), Phó Thủ tướng Chính phủ Trần Hồng Hà đã thăm, chúc Tết y bác sĩ và bệnh nhân Bệnh viện Ung bướu Hà Nội. Phó Thủ tướng cũng đến thăm, chúc Tết tại nhiều đơn vị chức năng khác.

Phẫu thuật nội soi cắt gan, đại trực tràng bằng kỹ thuật mới
Y tế - 27/12/2023 20:39SKĐS - Chiều 27/12, thông tin từ Bệnh viện Ung bướu Hà Nội cho biết, tại đây bệnh nhân ung thư đại trực tràng di căn có thể được tiến hành phẫu thuật bằng phương pháp mổ nội soi không đường rạch da giúp hậu phẫu nhẹ nhàng, nâng cao tính thẩm mỹ và chất lượng cuộc sống sau phẫu thuật cho người bệnh.

Cụ ông phải trải qua cuộc đại phẫu vì để khối u góc hàm vỡ chảy máu mới đến bệnh viện
Y tế - 21/12/2023 15:09SKĐS - Chiều 21/12, Bệnh viện Ung bướu Hà Nội thông tin các bác sĩ của bệnh viện đã thực hiện thành công ca phẫu thuật lấy khối u vùng cổ nặng gần 1kg, nhưng cũng cảm thấy tiếc nuối bởi nếu người bệnh đến khám, điều trị sớm sẽ không phải chịu đựng những đau đớn, mặc cảm vì mang khối u này suốt nhiều năm...

Huế kiểm tra các điểm sạt lở, di dời dân vùng xung yếu đến nơi an toàn
Xã hội - 22/10/2025 21:37SKĐS - Trước diễn biến của mưa bão, lãnh đạo TP Huế trực tiếp kiểm tra các điểm sạt lở, yêu cầu rà soát phương án di dời dân và tăng cường lực lượng ứng trực để đảm bảo an toàn cho nhân dân.

Cảnh báo lừa đảo giả mạo cơ quan thuế
Pháp luật - 22/10/2025 21:19Thời gian gần đây, trên địa bàn tỉnh Gia Lai liên tiếp xảy ra nhiều vụ việc người dân bị kẻ gian lừa đảo chiếm đoạt tài sản thông qua hình thức giả mạo cơ quan thuế, ngân hàng hoặc các tổ chức tài chính.

Ấn Độ chi hơn 1 tỷ USD tăng hỏa lực cho 'lá chắn thép' S-400
Quốc tế - 22/10/2025 16:44SKĐS - Ấn Độ đang lên kế hoạch chi khoảng 100 tỷ rupee (khoảng 1,1 tỷ USD) để mua thêm các loại tên lửa đất đối không, trang bị cho hệ thống phòng không tầm xa S-400 Triumf do Nga sản xuất.

Thiếu nữ Hà Nội vỡ oà niềm vui vì được bác sĩ 'hoá giải' khối u thần kinh 'đeo' 7 năm ở vị trí cực kỳ nguy hiểm
Y tế - 07/09/2023 17:28SKĐS - 18 tuổi, thiếu nữ ở Hà Nội có thâm niên 'đeo' khối u ở vùng cổ đã 7 năm. Khối u khiến cô luôn để tóc dài để che đi và tránh ánh mắt tò mò của mọi người; khối u khiến cổ cô bị sưng phồng, khó cử động, đôi khi xuất hiện cơn đau vùng gáy như điện giật.

Sức khoẻ bình thường, đi mổ ruột thừa, bác sĩ phát hiện có khối ung thư chèn ép phổi
Y tế - 22/06/2023 11:43SKĐS - Ngày 22/6, thông tin từ Bệnh viện Ung Bướu Hà Nội cho biết các bác sĩ tại đây vừa thực hiện thành công ca phẫu thuật cho một bệnh nhân mang khối u trung thất lớn, đẩy xẹp phổi trái. Đáng nói, khối u chỉ được phát hiện khi bệnh nhân đi mổ ruột thừa nên kích thước đã khá lớn, phẫu thuật khó khăn hơn.

Tự đắp lá, uống thuốc nam chữa ung thư vú, nữ bệnh nhân ở Hà Nội bị loét da, chảy dịch, suy kiệt
Y tế - 11/05/2023 07:32SKĐS - Nữ bệnh nhân 52 tuổi ở Hà Nội được chẩn đoán ung thư biểu mô tuyến vú phải thể tiểu thùy xâm nhập. Tuy nhiên bệnh nhân không điều trị, tự về uống thuốc nam, đắp thuốc lá... Hậu quả là khối u vú phải có kích thước lên đến 20-25cm, loét da, chảy dịch...

Ca đại phẫu sinh tử suốt 3 giờ đồng hồ căng thẳng cắt khối u tuyến giáp 'khủng' cứu người bệnh
Y tế - 15/03/2023 07:22SKĐS - Ngày 14/3, Bệnh viện Ung bướu Hà Nội thông tin các bác sĩ tại bệnh viện vừa tiến hành ca đại phẫu sinh tử suốt 3 giờ đồng hồ liên tục cắt khối u tuyến giáp khổng lồ đẩy xẹp đường thở, giữ tính mạng cho người phụ nữ 60 tuổi dân tộc Nùng...

Bộ trưởng Bộ Y tế Đào Hồng Lan thăm, tặng quà bệnh nhân ung thư dịp Xuân Quý Mão
Y tế - 12/01/2023 15:14SKĐS - Nhân dịp Xuân Quý Mão sắp đến, sáng 12/1, Bộ trưởng Bộ Y tế Đào Hồng Lan đã đến thăm, tặng quà và động viên các bệnh nhân ung thư đang điều trị tại Bệnh viện Ung bướu Hà Nội.

Bệnh nhân ung thư gói bánh chưng đón Tết về
Xã hội - 10/01/2023 14:14SKĐS - Chương trình "Bánh chưng xanh – Tết an lành" đã mang tới cho người bệnh, người nhà và cả nhân viên y tế của Bệnh viện Ung bướu Hà Nội một không khí Tết rộn ràng. Tiếp thêm động lực để người bệnh ung thư kiên cường chiến đấu với bệnh tật, sớm được trở về nhà đón Tết bên gia đình và những người thân yêu.
Phòng mạch online
Bác sĩ tư vấn dinh dưỡng ở trẻ 3 - 5 tuổi để phát triển toàn diện
SKĐS - Dinh dưỡng ở trẻ 3 - 5 tuổi rất quan trọng vì nó cung cấp năng lượng và các dưỡng chất thiết yếu, giúp trẻ phát triển thể chất và hệ miễn dịch khỏe mạnh, phòng ngừa bệnh tật, hình thành thói quen ăn uống lành mạnh cho tương lai.
PGS.TS. Nguyễn Trọng Hưng
