Ngay khi nhập viện, bệnh nhân được thăm khám khẩn trương, chỉ định siêu âm ổ bụng, chụp CT sọ não và CT bụng có tiêm thuốc cản quang.
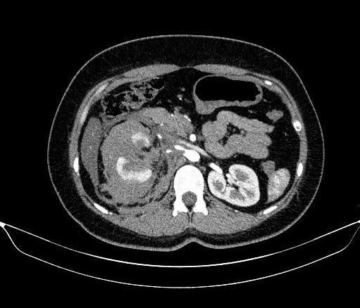
Kết quả cho thấy bệnh nhân bị vỡ thận phải độ IV theo phân loại AAST 2018 là mức độ tổn thương nặng, nguy cơ cao phải cắt thận nếu xử trí không kịp thời.
Trước tình huống cấp cứu phức tạp trong thời điểm đầu kỳ nghỉ Tết, kíp trực đã tổ chức hội chẩn khẩn giữa Khoa Chẩn đoán hình ảnh & Y học hạt nhân và Khoa Ngoại tiết niệu.
Sau khi đánh giá lâm sàng và hình ảnh học, các bác sĩ quyết định lựa chọn phương pháp can thiệp nội mạch chọn lọc để cầm máu và bảo tồn tối đa nhu mô thận, thay vì phẫu thuật cắt thận như trước đây.

Hình ảnh chụp CT bụng của bệnh nhân. Ảnh: BVCC
Ca can thiệp do ThS.BSCKII Lê Hồng Kỳ, Trưởng khoa Chẩn đoán hình ảnh & Y học hạt nhân, trực tiếp thực hiện. Chụp động mạch thận phải ghi nhận tình trạng thoát thuốc từ các nhánh động mạch cực dưới. Ê kíp tiến hành can thiệp siêu chọn lọc bằng microcatheter, nút mạch bằng hỗn dịch Histoacryl – Lipiodol kết hợp Spongel.
Video ghi lại hình ảnh can thiệp nút mạch cho bệnh nhân.
Chụp kiểm tra sau can thiệp cho thấy các nhánh mạch tổn thương được tắc hoàn toàn, phần nhu mô thận còn lại được bảo tồn tốt. Thủ thuật diễn ra an toàn, không ghi nhận biến chứng trong và ngay sau can thiệp.
Hiện bệnh nhân được theo dõi và điều trị tại Khoa Ngoại tiết niệu, tình trạng ổn định song vẫn cần giám sát chặt chẽ diễn biến tiếp theo. Theo đại diện bệnh viện, việc triển khai thành công kỹ thuật can thiệp mạch trong trường hợp chấn thương thận nặng góp phần hạn chế chỉ định cắt thận, bảo tồn chức năng cơ quan và giảm xâm lấn cho người bệnh, ngay cả trong thời điểm trực Tết.
