bệnh lý răng miệng

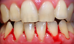
3 bệnh lý răng miệng thường gặp ở thai kỳ
Phòng mạch online - 15/09/2025 11:00SKĐS - Giai đoạn thai kỳ là thời điểm đặc biệt, cơ thể có nhiều thay đổi về nội tiết, miễn dịch và chuyển hóa. Những biến đổi này không chỉ ảnh hưởng đến sức khỏe toàn thân mà còn làm tăng nguy cơ mắc các bệnh lý răng miệng.

Răng bị ê buốt phải làm sao?
Bệnh thường gặp - 15/01/2024 15:53SKĐS - Ê buốt răng (hay còn gọi răng nhạy cảm) là hiện tượng phổ biến, biểu hiện bởi các triệu chứng chân răng bị ê buốt. Tình trạng này có thể dễ dàng được nhận biết khi ăn uống những đồ quá nóng, quá lạnh hoặc hít thở trong điều kiện không khí nhiệt độ thấp.

5 nhóm thực phẩm bạn nên ăn để răng chắc khỏe
Dinh dưỡng - 09/01/2024 06:02SKĐS - Hàm răng khỏe mạnh đóng một vai trò rất quan trọng đối với thẩm mỹ và quá trình tiêu hóa thức ăn. Một trong những cách tốt nhất để đảm bảo răng chắc khỏe là thực hiện chế độ ăn uống đầy đủ dưỡng chất thiết yếu tốt cho sức khỏe răng miệng và cơ thể.

6 bệnh răng miệng do hút thuốc gây ra ít người biết
Bệnh thường gặp - 27/09/2023 11:00SKĐS - Phần lớn những người hút thuốc lá, đặc biệt là người hút lâu năm đều gặp phải tình trạng răng bị vàng, ố, môi thâm. Thực tế, hút thuốc lá còn gây ra nhiều bệnh lý về răng miệng và làm tăng nguy cơ mắc các bệnh nguy hiểm.

Cách chăm sóc răng miệng cho trẻ trong thời gian niềng răng
Thẩm mỹ - 12/08/2023 06:51SKĐS – Trong quá trình niềng răng, nếu không chăm sóc đúng cách có thể khiến trẻ mắc một số bệnh lý răng miệng như hôi miệng, viêm nướu, sâu răng...

Bật mí những điều cha mẹ chưa biết hết về niềng răng ở trẻ
Thẩm mỹ - 10/08/2023 13:44SKĐS – Niềng răng ngày càng trở nên quen thuộc với mọi người, bởi phương pháp này đã mang lại những lợi ích thiết thực trong việc nâng cao tính thẩm mỹ cho hàm răng và cải thiện chức năng ăn nhai. Tuy nhiên, đâu mới là phương pháp niềng răng hiệu quả với trẻ em?

Cứ nghĩ lớn mới niềng được răng, nhiều người bỏ qua giai đoạn vàng niềng răng cho trẻ
Thẩm mỹ - 09/08/2023 14:23SKĐS – Phải thay hết răng sữa mới cho trẻ đi niềng răng, độ tuổi cho trẻ đi niềng năng là khoảng 12 tuổi...Đó là những lời khuyên lời mách bảo hàng của các bà mẹ với nhau khi nhà có đứa trẻ 'răng khấp khểnh, răng mọc lẫy...

5 hệ lụy khi thực hiện dán sứ veneer sai kỹ thuật
Thẩm mỹ - 04/08/2023 14:11SKĐS – Nếu được thực hiện đúng kỹ thuật, dán sứ veneer khá an toàn và không gây ảnh hưởng đến sức khỏe răng miệng, nhưng khi thực hiện sai kỹ thuật có thể kéo theo nhiều hệ lụy xấu...

Lưu ý trước và sau khi dán sứ veneer
Thẩm mỹ - 01/08/2023 10:59SKĐS – Để dán sứ veneer đạt hiệu quả, đảm bảo tuổi thọ mặt sứ và sức khỏe răng miệng cần thực hiện đúng chỉ định và hướng dẫn của nha sĩ trước và sau khi dán sứ.

8 nhược điểm của dán sứ veneer và cách khắc phục
Thẩm mỹ - 31/07/2023 06:31SKĐS – Dán sứ veneer mang đến cho bạn hàm răng trắng, đều, tăng sự tự tin trong giao tiếp. Tuy nhiên, dán sứ cũng có nhiều nhược điểm…

8 lợi ích từ dán sứ veneer
Thẩm mỹ - 29/07/2023 08:30SKĐS - Dán sứ veneer là một trong những phương pháp phục hình răng hiệu quả giúp bạn sở hữu hàm răng sáng bóng, đều đặn và thêm tự tin khi giao tiếp...

Khi nào cần dán sứ veneer?
Thẩm mỹ - 28/07/2023 06:49SKĐS – Dán sứ veneer giúp làm đẹp cho hàm răng, giúp bạn thêm tự tin trong giáo tiếp. Tuy nhiên, khi nào nên thực hiện dán sứ veneer?

Hệ lụy của niềng răng sai cách và cách khắc phục
Thẩm mỹ - 24/07/2023 10:18SKĐS – Niềng răng giúp cải thiện chức năng ăn nhai, đồng thời làm đẹp hàm răng, giúp bạn thêm tự tin trong giao tiếp. Tuy nhiên, nếu niềng răng sai cách có thể gây những hệ lụy…

11 quan niệm sai lầm về niềng răng
Thẩm mỹ - 23/07/2023 10:32SKĐS - Đến nay niềng răng (chỉnh nha) là một trong những phương pháp giúp khắc phục các khiếm khuyết về răng được nhiều người biết đến. Tuy nhiên, vẫn còn nhiều quan niệm sai về niềng răng nhiều người gặp phải…

8 sai lầm khiến niềng răng thất bại
Thẩm mỹ - 22/07/2023 13:52SKĐS – Có nhiều nguyên nhân khiến niềng răng thất bại như phương pháp điều trị chưa hợp lý, không đeo hàm duy trì, thói quen xấu ảnh hưởng tới việc chăm sóc răng sau niềng… Dưới đây là một số sai lầm thường gặp.

Bão Matmo đã vào đất liền của Trung Quốc và suy yếu thành vùng áp thấp trong chiều nay
Xã hội - 06/10/2025 06:11SKĐS - Sáng sớm nay (6/10), bão số 11 (bão Matmo) đã đi vào đất liền khu vực Phòng Thành của tỉnh Quảng Tây (Trung Quốc). Hoàn lưu của bão gây đợt mưa rất lớn cho các tỉnh miền núi phía Bắc.

Bức xúc clip nữ sinh lớp 8 bị nhóm bạn hành hung, bắt quỳ gối trong nhà vệ sinh trường
Pháp luật - 06/10/2025 06:25SKĐS - Một nữ sinh lớp 8 tại thành phố Huế bị nhóm bạn cùng trường hành hung, bắt quỳ gối trong khu vực nhà vệ sinh của trường học, gây bức xúc dư luận.

Trung Quốc kích hoạt ứng phó khẩn cấp do bão Matmo đổ bộ
Quốc tế - 06/10/2025 06:24Bộ Quản lý tình trạng khẩn cấp Trung Quốc thông báo đã kích hoạt tình trạng ứng phó khẩn cấp cứu trợ thiên tai cấp độ 4 trong ngày 5/10 sau khi bão Matmo - cơn bão thứ 21 của mùa bão Thái Bình Dương năm nay, đổ bộ vào các tỉnh Quảng Đông và Hải Nam, miền Nam nước này.

Cần lưu ý gì trước và sau khi niềng răng?
Thẩm mỹ - 19/07/2023 13:56SKĐS - Niềng răng là một trong những biện pháp chỉnh răng để có hàm răng đẹp và cải thiện chức năng ăn nhai. Vậy, trước và sau khi niềng răng cần lưu ý những gì để niềng răng an toàn và đạt hiệu quả cao?

Đánh răng trước khi đi ngủ giúp phòng ngừa bệnh tim mạch
Chữa bệnh không dùng thuốc - 19/07/2023 13:40SKĐS - Việc bỏ qua vệ sinh răng miệng vào buổi tối có thể làm tăng nguy cơ mắc bệnh tim mạch, một nghiên cứu mới đây cho biết.

Ưu và nhược điểm của các phương pháp niềng răng
Thẩm mỹ - 18/07/2023 17:46SKĐS - Hiện nay có rất nhiều phương pháp niềng răng. Mỗi phương pháp lại có ưu điểm, nhược điểm riêng bạn cần biết trước khi thực hiện...

Vi khuẩn trong miệng ảnh hưởng thế nào đến sức khỏe?
Bệnh thường gặp - 12/07/2023 15:43SKĐS - Răng miệng là môi trường có nhiều vi khuẩn có lợi tham gia chức năng tiêu hóa. Tuy nhiên răng miệng cũng là nơi có các vi khuẩn có hại gây ra nhiều bệnh liên quan đến sức khỏe toàn thân.

Bác sĩ chỉ ra nguyên nhân khiến răng sứ bị hỏng và cách khắc phục
Khỏe - Đẹp - 15/05/2023 16:12Bọc răng sứ đang là một phương pháp được rất nhiều người ưa chuộng bởi khả năng tái tạo nụ cười đẹp rạng rỡ nhanh chóng. Tuy nhiên, vì nhiều lý do khác nhau mà trong quá trình sử dụng, răng sứ có thể gặp các biến chứng, hay gọi chung là răng sứ hỏng khiến khách hàng vô cùng lo lắng.

8 loại thực phẩm là kẻ thù của răng miệng
Dinh dưỡng - 30/04/2023 14:27SKĐS - Một số thức ăn và đồ uống chúng ta ăn hàng ngày có thể thúc đẩy hình thành mảng bám chứa đầy vi khuẩn bám vào răng hoặc bào mòn men răng. Theo thời gian sẽ dẫn đến bệnh nướu răng và sâu răng.
Phòng mạch online
3 loại đồ uống đơn giản bên cạnh nước chanh ấm giúp đào thải axit uric hiệu quả mỗi ngày
SKĐS - Không chỉ có nước chanh ấm, 3 loại đồ uống quen thuộc sau cũng mang lại lợi ích trong việc hỗ trợ đào thải axit uric ra khỏi cơ thể an toàn, hiệu quả. Bổ sung chúng vào thực đơn có thể giúp bạn giảm nguy cơ gout và bảo vệ sức khỏe tốt hơn.